验证数据展示
经过测试的应用
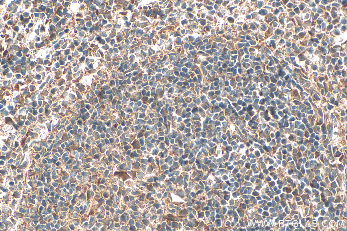
| Positive IHC detected in | mouse spleen tissue, human tonsillitis tissue Note: suggested antigen retrieval with TE buffer pH 9.0; (*) Alternatively, antigen retrieval may be performed with citrate buffer pH 6.0 |
| Positive FC (Intra) detected in | RAW 264.7 cells |
推荐稀释比
| 应用 | 推荐稀释比 |
|---|---|
| Immunohistochemistry (IHC) | IHC : 1:50-1:500 |
| Flow Cytometry (FC) (INTRA) | FC (INTRA) : 0.5 ug per 10^6 cells in a 100 µl suspension |
| It is recommended that this reagent should be titrated in each testing system to obtain optimal results. | |
| Sample-dependent, Check data in validation data gallery. | |
发表文章中的应用
| IHC | See 1 publications below |
| IF | See 1 publications below |
产品信息
20306-1-AP targets GPR65 in IHC, IF, ELISA applications and shows reactivity with human samples.
| 经测试应用 | IHC, ELISA Application Description |
| 文献引用应用 | IHC, IF |
| 经测试反应性 | human |
| 文献引用反应性 | human |
| 免疫原 |
CatNo: Ag14139 Product name: Recombinant human GPR65 protein Source: e coli.-derived, PGEX-4T Tag: GST Domain: 238-337 aa of BC035633 Sequence: CFTPFHVMLLIRCILEHAVNFEDHSNSGKRTYTMYRITVALTSLNCVADPILYCFVTETGRYDMWNILKFCTGRCNTSQRQRKRILSVSTKDTMELEVLE 种属同源性预测 |
| 宿主/亚型 | Rabbit / IgG |
| 抗体类别 | Polyclonal |
| 产品类型 | Antibody |
| 全称 | G protein-coupled receptor 65 |
| 别名 | G protein coupled receptor 65, G-protein coupled receptor 65, hTDAG8, Psychosine receptor, T-cell death-associated gene 8 protein |
| 计算分子量 | 337 aa, 39 kDa |
| GenBank蛋白编号 | BC035633 |
| 基因名称 | GPR65 |
| Gene ID (NCBI) | 8477 |
| RRID | AB_2878668 |
| 偶联类型 | Unconjugated |
| 形式 | Liquid |
| 纯化方式 | Antigen affinity purification |
| UNIPROT ID | Q8IYL9 |
| 储存缓冲液 | PBS with 0.02% sodium azide and 50% glycerol, pH 7.3. |
| 储存条件 | Store at -20°C. Stable for one year after shipment. Aliquoting is unnecessary for -20oC storage. |
背景介绍
GPR65 (G protein-coupled receptor 65) was defined originally as T-cell death-associated gene 8 (TDAG8), functions as a proton-sensing receptor, and is also sensitive to psychosine (PMID: 35343079). GPR65 promotes adaptation to an acidic environment to enhance cell survival and proliferation, thereby promoting tumor development (PMID: 36852075).
实验方案
| Product Specific Protocols | |
|---|---|
| FC protocol for GPR65 antibody 20306-1-AP | Download protocol |
| IHC protocol for GPR65 antibody 20306-1-AP | Download protocol |
| Standard Protocols | |
|---|---|
| Click here to view our Standard Protocols |




