验证数据展示
经过测试的应用
| Positive WB detected in | mouse brain tissue, rat brain tissue |
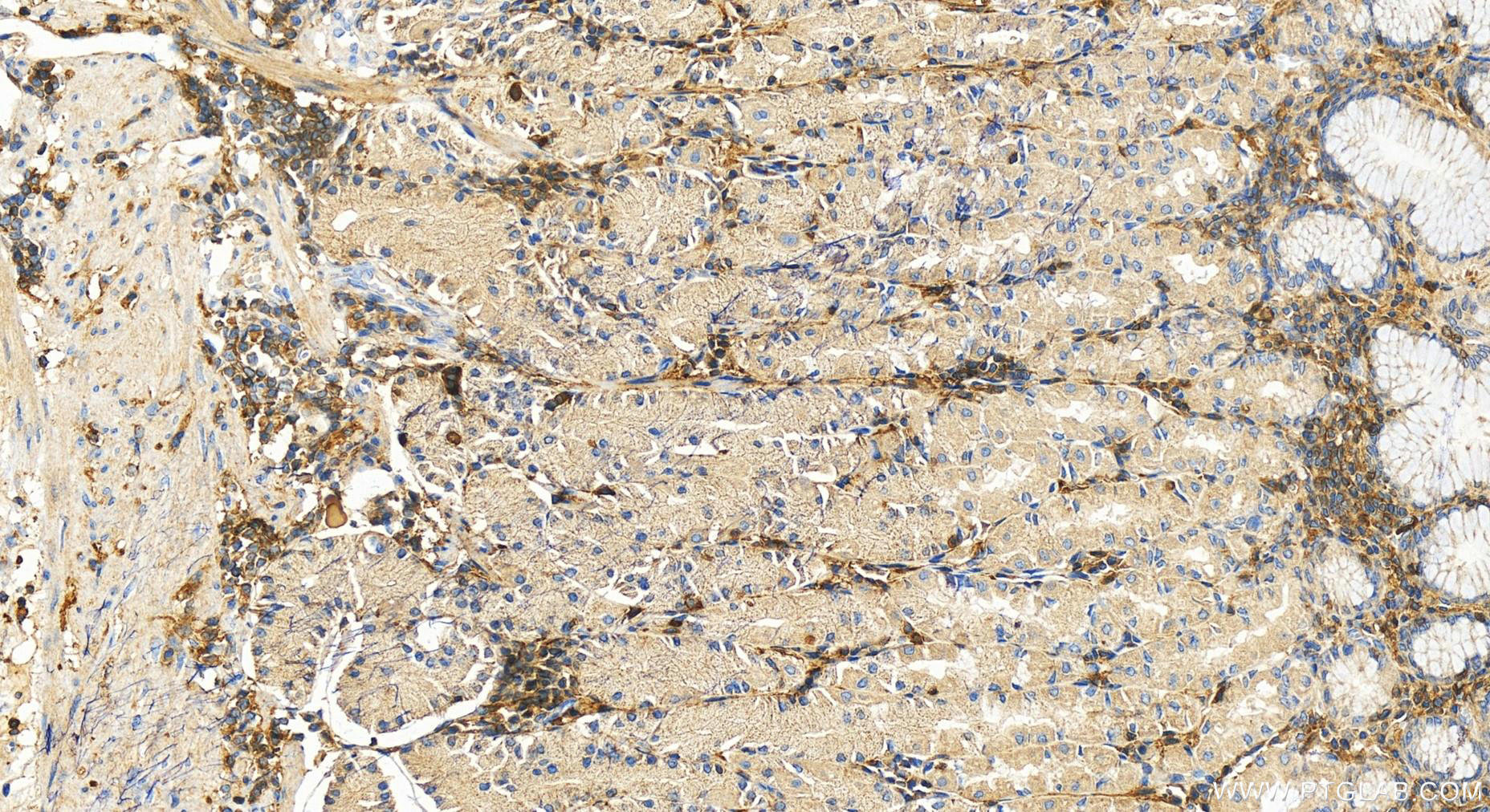
| Positive IHC detected in | human stomach tissue Note: suggested antigen retrieval with TE buffer pH 9.0; (*) Alternatively, antigen retrieval may be performed with citrate buffer pH 6.0 |
推荐稀释比
| 应用 | 推荐稀释比 |
|---|---|
| Western Blot (WB) | WB : 1:1000-1:6000 |
| Immunohistochemistry (IHC) | IHC : 1:200-1:800 |
| It is recommended that this reagent should be titrated in each testing system to obtain optimal results. | |
| Sample-dependent, Check data in validation data gallery. | |
产品信息
11693-1-AP targets GNG2 in WB, IHC, CoIP, ELISA applications and shows reactivity with human, mouse, rat samples.
| 经测试应用 | WB, IHC, ELISA Application Description |
| 文献引用应用 | WB, IHC, CoIP |
| 经测试反应性 | human, mouse, rat |
| 文献引用反应性 | human, mouse |
| 免疫原 |
CatNo: Ag2307 Product name: Recombinant human GNG2 protein Source: e coli.-derived, PGEX-4T Tag: GST Domain: 1-71 aa of BC020774 Sequence: MASNNTASIAQARKLVEQLKMEANIDRIKVSKAAADLMAYCEAHAKEDPLLTPVPASENPFREKKFFCAIL 种属同源性预测 |
| 宿主/亚型 | Rabbit / IgG |
| 抗体类别 | Polyclonal |
| 产品类型 | Antibody |
| 全称 | guanine nucleotide binding protein (G protein), gamma 2 |
| 别名 | HG3F1, Guanine nucleotide-binding protein G(I)/G(S)/G(O) subunit gamma-2, G gamma-I |
| 计算分子量 | 71 aa, 8 kDa |
| 观测分子量 | 8 kDa |
| GenBank蛋白编号 | BC020774 |
| 基因名称 | GNG2 |
| Gene ID (NCBI) | 54331 |
| RRID | AB_2263277 |
| 偶联类型 | Unconjugated |
| 形式 | Liquid |
| 纯化方式 | Antigen affinity purification |
| UNIPROT ID | P59768 |
| 储存缓冲液 | PBS with 0.02% sodium azide and 50% glycerol, pH 7.3. |
| 储存条件 | Store at -20°C. Stable for one year after shipment. Aliquoting is unnecessary for -20oC storage. |
背景介绍
Gγ2 subunit (Gng2/GNG2) is one of subunits of the Gβγ-dimer composing heterotrimeric G protein with a Gα-subunit. Heterotrimeric G protein has been reported to be involved in various biological activities including cell proliferation, differentiation, invasion and angiogenesis. It is expressed in a range of foetal tissues as well as adult testis, adrenal gland, brain, white blood cells and lung.
实验方案
| Product Specific Protocols | |
|---|---|
| IHC protocol for GNG2 antibody 11693-1-AP | Download protocol |
| WB protocol for GNG2 antibody 11693-1-AP | Download protocol |
| Standard Protocols | |
|---|---|
| Click here to view our Standard Protocols |
发表文章
| Species | Application | Title |
|---|---|---|
ACS Pharmacol Transl Sci Critical Residues in the Gβ Subunit Mediate Selective Recruitment of the Gαq Heterotrimer to Activated G Protein-Coupled Receptors. | ||
Am J Cancer Res Reduced GNG2 expression levels in mouse malignant melanomas and human melanoma cell lines. | ||
Am J Cancer Res GNG2 inhibits invasion of human malignant melanoma cells with decreased FAK activity.
| ||
iScience Identification of antimalarial drugs and bradykinin as ligands of the Plasmodium membrane protein PfSR10. |

