验证数据展示
经过测试的应用
| Positive WB detected in | 4T1 cells, HSC-T6 cells, HeLa cells, HepG2 cells |
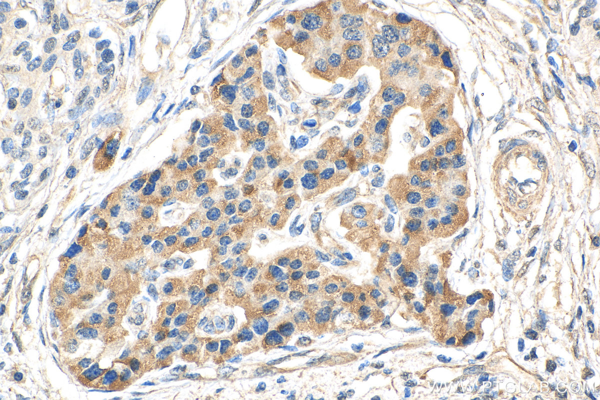
| Positive IHC detected in | human pancreas cancer tissue Note: suggested antigen retrieval with TE buffer pH 9.0; (*) Alternatively, antigen retrieval may be performed with citrate buffer pH 6.0 |
推荐稀释比
| 应用 | 推荐稀释比 |
|---|---|
| Western Blot (WB) | WB : 1:5000-1:50000 |
| Immunohistochemistry (IHC) | IHC : 1:500-1:2000 |
| It is recommended that this reagent should be titrated in each testing system to obtain optimal results. | |
| Sample-dependent, Check data in validation data gallery. | |
产品信息
66889-1-Ig targets GLUT2 in WB, IHC, IF, ELISA applications and shows reactivity with Human, rat, mouse samples.
| 经测试应用 | WB, IHC, ELISA Application Description |
| 文献引用应用 | WB, IHC, IF |
| 经测试反应性 | Human, rat, mouse |
| 文献引用反应性 | human, mouse, rat |
| 免疫原 |
CatNo: Ag14551 Product name: Recombinant human SLC2A2 protein Source: e coli.-derived, PET28a Tag: 6*His Domain: 69-128 aa of BC060041 Sequence: SPRYLYIKLDEEVKAKQSLKRLRGYDDVTKDINEMRKEREEASSEQKVSIIQLFTNSSYR 种属同源性预测 |
| 宿主/亚型 | Mouse / IgG1 |
| 抗体类别 | Monoclonal |
| 产品类型 | Antibody |
| 全称 | solute carrier family 2 (facilitated glucose transporter), member 2 |
| 别名 | GLUT 2, GLUT2, SLC2A2 |
| 计算分子量 | 57 kDa |
| 观测分子量 | 55-60 kDa |
| GenBank蛋白编号 | BC060041 |
| 基因名称 | GLUT2 |
| Gene ID (NCBI) | 6514 |
| RRID | AB_2918478 |
| 偶联类型 | Unconjugated |
| 形式 | Liquid |
| 纯化方式 | Protein G purification |
| UNIPROT ID | P11168 |
| 储存缓冲液 | PBS with 0.02% sodium azide and 50% glycerol, pH 7.3. |
| 储存条件 | Store at -20°C. Stable for one year after shipment. Aliquoting is unnecessary for -20oC storage. |
背景介绍
GLUT2 is a member of glucose transporters or GLUTs which catalyze the glucose transport across plasma membrane. GLUT2 is selectively expressed in hepatocytes, pancreatic beta cells, and absorptive renal and intestinal epithelial cells. GLUT2 is required to maintain normal glucose homeostasis and normal function and development of the endocrine pancreas. Its absence leads to symptoms characteristic of non-insulin-dependent diabetes mellitus.
实验方案
| Product Specific Protocols | |
|---|---|
| IHC protocol for GLUT2 antibody 66889-1-Ig | Download protocol |
| WB protocol for GLUT2 antibody 66889-1-Ig | Download protocol |
| Standard Protocols | |
|---|---|
| Click here to view our Standard Protocols |
发表文章
| Species | Application | Title |
|---|---|---|
J Diabetes Res Duodenal-Jejunal Bypass Restores Sweet Taste Receptor-Mediated Glucose Sensing and Absorption in Diabetic Rats | ||
Food Res Int Non-starch polysaccharides from Castanea mollissima Bl. ameliorate metabolic syndrome by remodeling barrier function, microbial community, and metabolites in high-fat-diet/streptozotocin-induced diabetic mice | ||
Nat Commun Metabolomics and proteomics reveal blocking argininosuccinate synthetase 1 alleviates colitis in mice | ||
Biochem Pharmacol A novel covalent inhibitor alleviates type 2 diabetes mellitus by restraining GSK-3β | ||
Foods An Extensive Analysis of Artemisia integrifolia Linn. on T2DM: Investigating Glycolipid Metabolism, Metabolic Profiling, and Molecular Docking for Potential Functional Food Applications. | ||
Tissue Cell Farrerol ameliorates hepatic insulin resistance via AMPKα1/mTOR/SREBP-1 pathway: A study in T2DM rat models and palmitic acid-induced BRL 3 A hepatocytes. |





