验证数据展示
经过测试的应用
| Positive WB detected in | Jurkat cells |
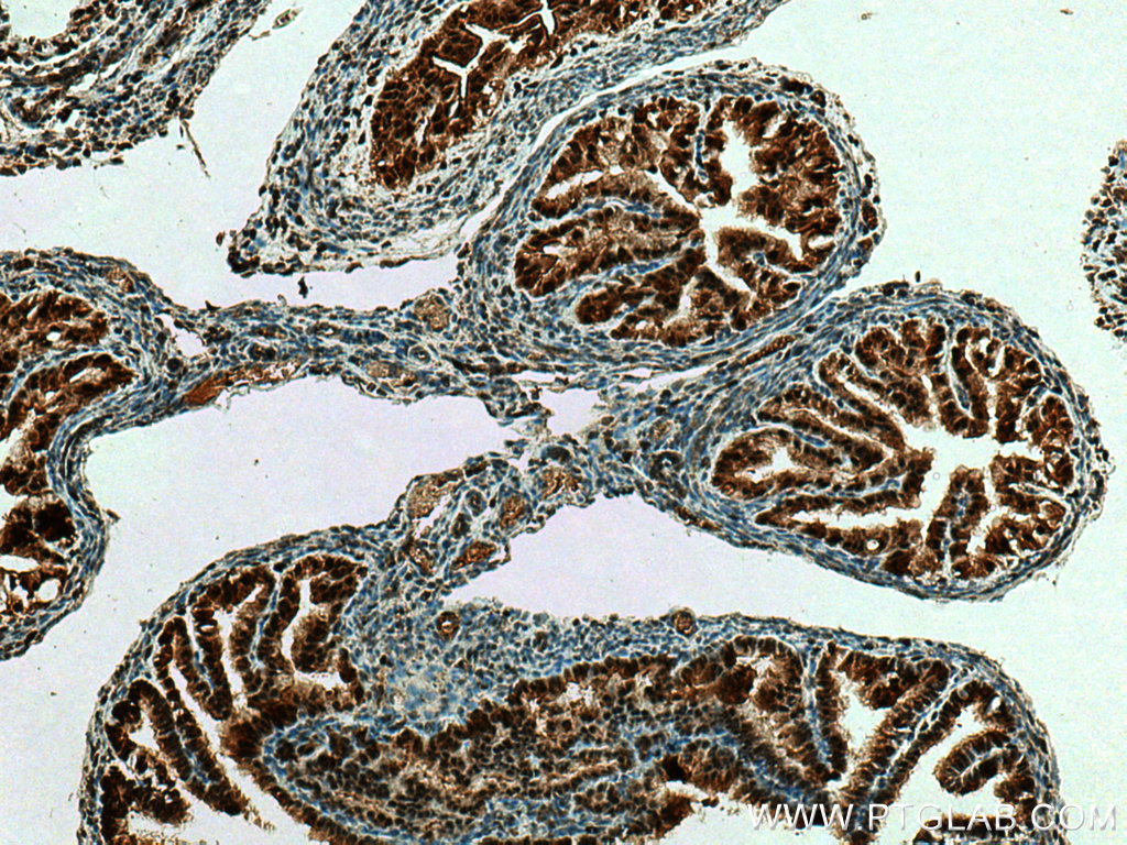
| Positive IHC detected in | mouse ovary tissue Note: suggested antigen retrieval with TE buffer pH 9.0; (*) Alternatively, antigen retrieval may be performed with citrate buffer pH 6.0 |
推荐稀释比
| 应用 | 推荐稀释比 |
|---|---|
| Western Blot (WB) | WB : 1:200-1:1000 |
| Immunohistochemistry (IHC) | IHC : 1:50-1:500 |
| It is recommended that this reagent should be titrated in each testing system to obtain optimal results. | |
| Sample-dependent, Check data in validation data gallery. | |
发表文章中的应用
| WB | See 2 publications below |
| IHC | See 1 publications below |
产品信息
23138-1-AP targets GLIS1 in WB, IHC, ELISA applications and shows reactivity with human, mouse samples.
| 经测试应用 | WB, IHC, ELISA Application Description |
| 文献引用应用 | WB, IHC |
| 经测试反应性 | human, mouse |
| 文献引用反应性 | human |
| 免疫原 |
CatNo: Ag19214 Product name: Recombinant human GLIS1 protein Source: e coli.-derived, PGEX-4T Tag: GST Domain: 360-620 aa of BC101799 Sequence: GPDTEADVLTECLVLQQLHTSTQLAASDGKGGCGLGQELLPGVYPGSITPHNGLASGLLPPAHDVPSRHHPLDATTSSHHHLSPLPMAESTRDGLGPGLLSPIVSPLKGLGPPPLPPSSQSHSPGGQPFPTLPSKPSYPPFQSPPPPPLPSPQGYQGSFHSIQSCFPYGDCYRMAEPAAGGDGLVGETHGFNPLRPNGYHSLSTPLPATGYEALAEASCPTALPQQPSEDVVSSGPEDCGFFPNGAFDHCLGHIPSIYTDT 种属同源性预测 |
| 宿主/亚型 | Rabbit / IgG |
| 抗体类别 | Polyclonal |
| 产品类型 | Antibody |
| 全称 | GLIS family zinc finger 1 |
| 别名 | GLI similar 1, GLIS family zinc finger 1, GLI-similar 1, Zinc finger protein GLIS1 |
| 计算分子量 | 620 aa, 66 kDa |
| 观测分子量 | 66 kDa |
| GenBank蛋白编号 | BC101799 |
| 基因名称 | GLIS1 |
| Gene ID (NCBI) | 148979 |
| RRID | AB_2879216 |
| 偶联类型 | Unconjugated |
| 形式 | Liquid |
| 纯化方式 | Antigen Affinity purified |
| UNIPROT ID | Q8NBF1 |
| 储存缓冲液 | PBS with 0.02% sodium azide and 50% glycerol, pH 7.3. |
| 储存条件 | Store at -20°C. Stable for one year after shipment. Aliquoting is unnecessary for -20oC storage. |
背景介绍
GLIS1 is a nuclear zinc finger transcription factor that integrates developmental signaling and transcriptional control during neural and epithelial differentiation. It enhances cellular reprogramming efficiency and modulates pathways linked to Hedgehog and Wnt signaling. Dysregulated GLIS1 expression contributes to cardiac malformations, cancer progression, and stemness reactivation, highlighting its dual role in developmental regulation and disease pathogenesis.
实验方案
| Product Specific Protocols | |
|---|---|
| IHC protocol for GLIS1 antibody 23138-1-AP | Download protocol |
| WB protocol for GLIS1 antibody 23138-1-AP | Download protocol |
| Standard Protocols | |
|---|---|
| Click here to view our Standard Protocols |
发表文章
| Species | Application | Title |
|---|---|---|
Reprod Sci Effect of GLIS1 on the Lymph Node Metastasis of Cervical Squamous Carcinoma Based on Transcriptome Analysis | ||
BMC Biol N6-methyladenosine regulates metabolic remodeling in kidney aging through transcriptional regulator GLIS1 |



