验证数据展示
经过测试的应用
| Positive WB detected in | human stomach tissue, mouse stomach tissue, rat stomach tissue |
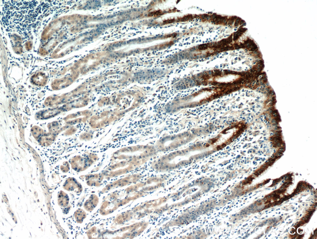
| Positive IHC detected in | human stomach tissue, human stomach cancer tissue Note: suggested antigen retrieval with TE buffer pH 9.0; (*) Alternatively, antigen retrieval may be performed with citrate buffer pH 6.0 |
推荐稀释比
| 应用 | 推荐稀释比 |
|---|---|
| Western Blot (WB) | WB : 1:1000-1:4000 |
| Immunohistochemistry (IHC) | IHC : 1:50-1:500 |
| It is recommended that this reagent should be titrated in each testing system to obtain optimal results. | |
| Sample-dependent, Check data in validation data gallery. | |
产品信息
14494-1-AP targets Gastrokine 1 in WB, IHC, ELISA applications and shows reactivity with human, mouse, rat samples.
| 经测试应用 | WB, IHC, ELISA Application Description |
| 经测试反应性 | human, mouse, rat |
| 免疫原 |
CatNo: Ag5898 Product name: Recombinant human GKN1 protein Source: e coli.-derived, PGEX-4T Tag: GST Domain: 35-196 aa of BC059778 Sequence: NVNDDNNNAGSGQQSVSVNNEHNVANVDNNNGWDSWNSIWDYGNGFAATRLFQKKTCIVHKMNKEVMPSIQSLDALVKEKKLQGKGPGGPPPKGLMYSVNPNKVDDLSKFGKNIANMCRGIPTYMAEEMQEASLFFYSGTCYTTSVLWIVDISFCGDTVEN 种属同源性预测 |
| 宿主/亚型 | Rabbit / IgG |
| 抗体类别 | Polyclonal |
| 产品类型 | Antibody |
| 全称 | gastrokine 1 |
| 别名 | 18 kDa antrum mucosa protein, AMP 18, AMP18, BRICD1, CA11, FOV, foveolin, gastrokine 1, GKN1, Protein CA11 |
| 计算分子量 | 22 kDa |
| 观测分子量 | 20-22 kDa |
| GenBank蛋白编号 | BC059778 |
| 基因名称 | Gastrokine 1 |
| Gene ID (NCBI) | 56287 |
| RRID | AB_10863653 |
| 偶联类型 | Unconjugated |
| 形式 | Liquid |
| 纯化方式 | Antigen affinity purification |
| UNIPROT ID | Q9NS71 |
| 储存缓冲液 | PBS with 0.02% sodium azide and 50% glycerol, pH 7.3. |
| 储存条件 | Store at -20°C. Stable for one year after shipment. Aliquoting is unnecessary for -20oC storage. |
背景介绍
Gastrokine 1 (GKN1), a stomach-specific protein also known as 18 kDa antrum mucosa protein (AMP-18) or foveolin, belongs to the gastrokine family of gastric mucus cell-secreted proteins. The human GKN1 gene has been localized in a region of chromosome 2p13 of about 6 kb and contains 6 exons. GKN1 is expressed only in normal human stomach, but is absent from gastric adenocarcinomas, gastro-esophageal adenocarcinoma cell lines, and other normal and tumor gastro-intestinal tissues. GKN1 may play an important role in normal gastric function and may be a gastric tumour suppressor.
实验方案
| Product Specific Protocols | |
|---|---|
| IHC protocol for Gastrokine 1 antibody 14494-1-AP | Download protocol |
| WB protocol for Gastrokine 1 antibody 14494-1-AP | Download protocol |
| Standard Protocols | |
|---|---|
| Click here to view our Standard Protocols |













