验证数据展示
经过测试的应用
| Positive WB detected in | U-251 cells, mouse brain tissue, rat brain tissue |
| Positive IP detected in | mouse brain tissue |
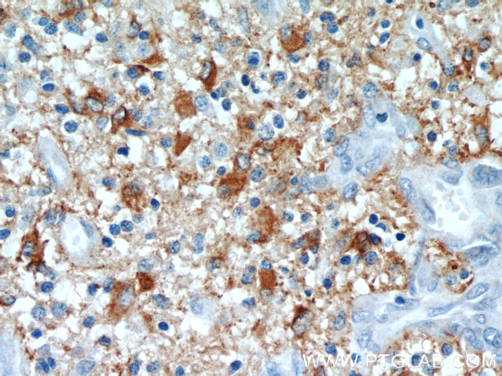
| Positive IHC detected in | mouse brain tissue, human gliomas tissue Note: suggested antigen retrieval with TE buffer pH 9.0; (*) Alternatively, antigen retrieval may be performed with citrate buffer pH 6.0 |
| Positive IF-P detected in | rat brain tissue |
| Positive IF-Fro detected in | mouse brain tissue |
推荐稀释比
| 应用 | 推荐稀释比 |
|---|---|
| Western Blot (WB) | WB : 1:5000-1:50000 |
| Immunoprecipitation (IP) | IP : 0.5-4.0 ug for 1.0-3.0 mg of total protein lysate |
| Immunohistochemistry (IHC) | IHC : 1:200-1:800 |
| Immunofluorescence (IF)-P | IF-P : 1:500-1:2000 |
| Immunofluorescence (IF)-FRO | IF-FRO : 1:50-1:500 |
| It is recommended that this reagent should be titrated in each testing system to obtain optimal results. | |
| Sample-dependent, Check data in validation data gallery. | |
产品信息
23935-1-AP targets GFAP in WB, IHC, IF-P, IF-Fro, IP, ELISA applications and shows reactivity with human, mouse, rat samples.
| 经测试应用 | WB, IHC, IF-P, IF-Fro, IP, ELISA Application Description |
| 文献引用应用 | WB, IHC, IF |
| 经测试反应性 | human, mouse, rat |
| 文献引用反应性 | human, mouse, rat, macaque |
| 免疫原 |
CatNo: Ag20853 Product name: Recombinant human GFAP protein Source: e coli.-derived, PET30a Tag: 6*His Domain: 1-432 aa of BC013596 Sequence: MERRRITSAARRSYVSSGEMMVGGLAPGRRLGPGTRLSLARMPPPLPTRVDFSLAGALNAGFKETRASERAEMMELNDRFASYIEKVRFLEQQNKALAAELNQLRAKEPTKLADVYQAELRELRLRLDQLTANSARLEVERDNLAQDLATVRQKLQDETNLRLEAENNLAAYRQEADEATLARLDLERKIESLEEEIRFLRKIHEEEVRELQEQLARQQVHVELDVAKPDLTAALKEIRTQYEAMASSNMHEAEEWYRSKFADLTDAAARNAELLRQAKHEANDYRRQLQSLTCDLESLRGTNESLERQMREQEERHVREAASYQEALARLEEEGQSLKDEMARHLQEYQDLLNVKLALDIEIATYRKLLEGEENRITIPVQTFSNLQIRETSLDTKSVSEGHLKRNIVVKTVEMRDGEVIKESKQEHKDVM 种属同源性预测 |
| 宿主/亚型 | Rabbit / IgG |
| 抗体类别 | Polyclonal |
| 产品类型 | Antibody |
| 全称 | glial fibrillary acidic protein |
| 别名 | glial fibrillary acidic protein |
| 计算分子量 | 432 aa, 50 kDa |
| 观测分子量 | 45-50 kDa |
| GenBank蛋白编号 | BC013596 |
| 基因名称 | GFAP |
| Gene ID (NCBI) | 2670 |
| RRID | AB_2879367 |
| 偶联类型 | Unconjugated |
| 形式 | Liquid |
| 纯化方式 | Antigen affinity purification |
| UNIPROT ID | P14136 |
| 储存缓冲液 | PBS with 0.02% sodium azide and 50% glycerol, pH 7.3. |
| 储存条件 | Store at -20°C. Stable for one year after shipment. Aliquoting is unnecessary for -20oC storage. |
背景介绍
Function
GFAP (Glial fibrillary acidic protein) is a type III intermediate filament (IF) protein specific to the central nervous system (CNS). GFAP is one of the main components of the intermediate filament network in astrocytes and has been proposed as playing a role in cell migration, cell motility, maintaining mechanical strength, and in mitosis.
Tissue specificity
GFAP is expressed in central nervous system cells, predominantly in astrocytes. GFAP is commonly used as an astrocyte marker. However, GFAP is also present in peripheral glia and in non-CNS cells, including fibroblasts, chondrocytes, lymphocytes, and liver stellate cells (PMID: 21219963).
Involvement in disease
Mutations in GFAP lead to Alexander disease (OMIM: 203450), an autosomal dominant CNS disorder. The mutations present in affected individuals are thought to be gain-of-function.
Upregulation of GFAP is a hallmark of reactive astrocytes, in which GFAP is present in hypertrophic cellular processes. Reactive astrogliosis is present in many neurological disorders, such as stroke, various neurodegenerative diseases (including Alzheimer's and Parkinson's disease), and neurotrauma.
Isoforms
Astrocytes express 10 different isoforms of GFAP that differ in the rod and tail domains (PMID: 25726916), which means that they differ in molecular size. Isoform expression varies during the development and across different subtypes of astrocytes. Not all isoforms are upregulated in reactive astrocytes.
Post-translational modifications
Intermediate filament proteins are regulated by phosphorylation. Six phosphorylation sites have been identified in GFAP protein, at least some of which are reported to control filament assembly (PMID: 21219963).
Cellular localization
GFAP localizes to intermediate filaments and stains well in astrocyte cellular processes.
实验方案
| Product Specific Protocols | |
|---|---|
| IF protocol for GFAP antibody 23935-1-AP | Download protocol |
| IHC protocol for GFAP antibody 23935-1-AP | Download protocol |
| IP protocol for GFAP antibody 23935-1-AP | Download protocol |
| WB protocol for GFAP antibody 23935-1-AP | Download protocol |
| Standard Protocols | |
|---|---|
| Click here to view our Standard Protocols |
发表文章
| Species | Application | Title |
|---|---|---|
Sci Adv CGG repeat RNA G-quadruplexes interact with FMRpolyG to cause neuronal dysfunction in fragile X-related tremor/ataxia syndrome. | ||
Aging (Albany NY) Maternal high sugar and fat diet benefits offspring brain function via targeting on the gut-brain axis. | ||
Int J Oncol Effects of three-dimensional collagen scaffolds on the expression profiles and biological functions of glioma cells. | ||
Eur J Pharmacol Vitamin D3 analogue calcipotriol inhibits the profibrotic effects of transforming growth factor- β1 on pancreatic stellate cells | ||
Sci Rep Administration of molecular hydrogen during pregnancy improves behavioral abnormalities of offspring in a maternal immune activation model. | ||
Invest Ophthalmol Vis Sci High Intraocular Concentration of Fibrinogen Regulates Retinal Function Via the ICAM-1 Pathway |








