验证数据展示
经过测试的应用
| Positive WB detected in | HEK-293T cells, HeLa cells, Jurkat cells, Raji cells |
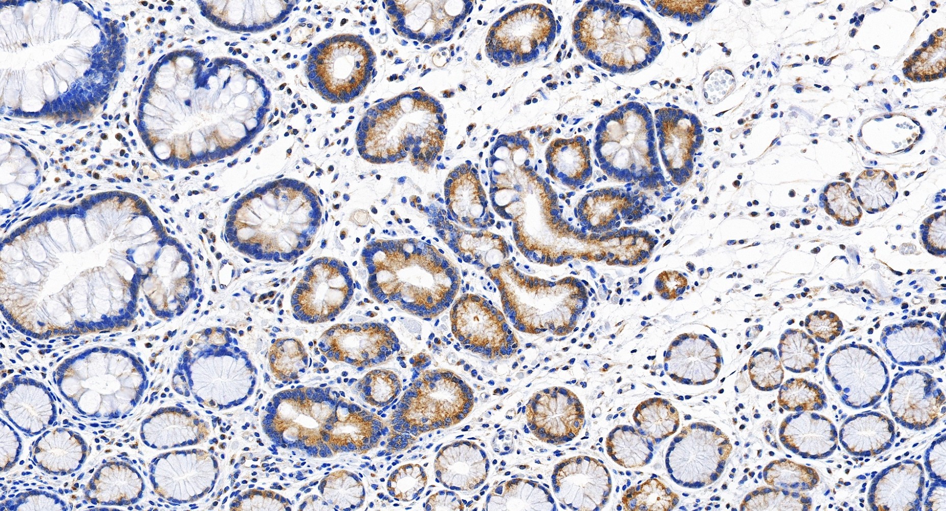
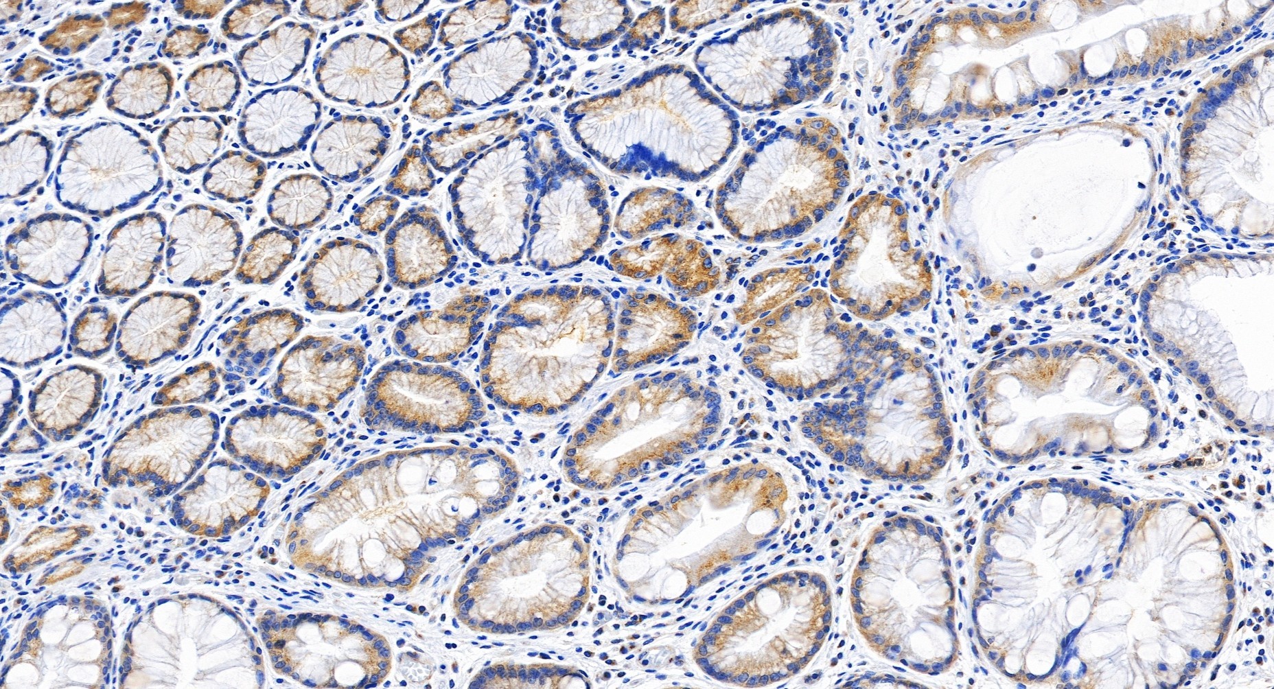
| Positive IHC detected in | human stomach cancer tissue Note: suggested antigen retrieval with TE buffer pH 9.0; (*) Alternatively, antigen retrieval may be performed with citrate buffer pH 6.0 |
推荐稀释比
| 应用 | 推荐稀释比 |
|---|---|
| Western Blot (WB) | WB : 1:5000-1:50000 |
| Immunohistochemistry (IHC) | IHC : 1:2000-1:8000 |
| It is recommended that this reagent should be titrated in each testing system to obtain optimal results. | |
| Sample-dependent, Check data in validation data gallery. | |
产品信息
32217-1-AP targets GCC2 in WB, IHC, ELISA applications and shows reactivity with human samples.
| 经测试应用 | WB, IHC, ELISA Application Description |
| 经测试反应性 | human |
| 免疫原 |
CatNo: Ag17535 Product name: Recombinant human GCC2 protein Source: e coli.-derived, PGEX-4T Tag: GST Domain: 1-343 aa of BC146789 Sequence: MKQEVEDSVTKMGDAHKELEQSHINYVKEIENLKNELMAVRSKYSEDKANLQKQLEEAMNTQLELSEQLKFQNNSEDNVKKLQEEIEKIRPGFEEQILYLQKQLDATTDEKKETVTQLQNIIEANSQHYQKNINSLQEELLQLKAIHQEEVKELMCQIEASAKEHEAEINKLNELKENLVKQCEASEKNIQKKYECELENLRKATSNANQDNQICSILLQENTFVEQVVNEKVKHLEDTLKELESQHSILKDEVTYMNNLKLKLEMDAQHIKDEFFHEREDLEFKINELLLAKEEQGCVIEKLKSELAGLNKQFCYTVEQHNREVQSLKEQHQKEISELNETF 种属同源性预测 |
| 宿主/亚型 | Rabbit / IgG |
| 抗体类别 | Polyclonal |
| 产品类型 | Antibody |
| 全称 | GRIP and coiled-coil domain containing 2 |
| 别名 | 185 kDa Golgi coiled-coil protein, CLL-associated antigen KW-11, CTCL tumor antigen se1-1, GCC185, GRIP And Coiled-Coil Domain Containing 2 |
| 计算分子量 | 1583 aa, 185 kDa |
| 观测分子量 | 200 kDa |
| GenBank蛋白编号 | BC146789 |
| 基因名称 | GCC2 |
| Gene ID (NCBI) | 9648 |
| 偶联类型 | Unconjugated |
| 形式 | Liquid |
| 纯化方式 | Antigen affinity Purification |
| UNIPROT ID | Q8IWJ2 |
| 储存缓冲液 | PBS with 0.02% sodium azide and 50% glycerol, pH 7.3. |
| 储存条件 | Store at -20°C. Stable for one year after shipment. Aliquoting is unnecessary for -20oC storage. |
背景介绍
The GCC2 protein, fully named GRIP and Coiled-Coil Domain-Containing Protein 2, is a key adaptor protein in the intracellular Golgi-endosomal membrane transport system. It specifically anchors to the Golgi membrane via its GRIP domain and is primarily responsible for mediating retrograde vesicular transport from endosomes to the Golgi apparatus, participating in the recycling and sorting of various cargo proteins, such as the mannose-6-phosphate receptor. Recent studies have revealed that GCC2 regulates the subcellular localization of the GATOR complex, thereby acting as an important upstream regulator of the mTORC1 signaling pathway, which influences cell growth, metabolism, and autophagy. Dysfunction of GCC2 is closely associated with neurodevelopmental disorders and tumorigenesis, underscoring its significance in cell biology and disease research.
实验方案
| Product Specific Protocols | |
|---|---|
| IHC protocol for GCC2 antibody 32217-1-AP | Download protocol |
| WB protocol for GCC2 antibody 32217-1-AP | Download protocol |
| Standard Protocols | |
|---|---|
| Click here to view our Standard Protocols |



