验证数据展示
经过测试的应用
| Positive WB detected in | mouse brain tissue, HepG2 cells, MCF-7 cells |
| Positive IP detected in | MCF-7 cells |
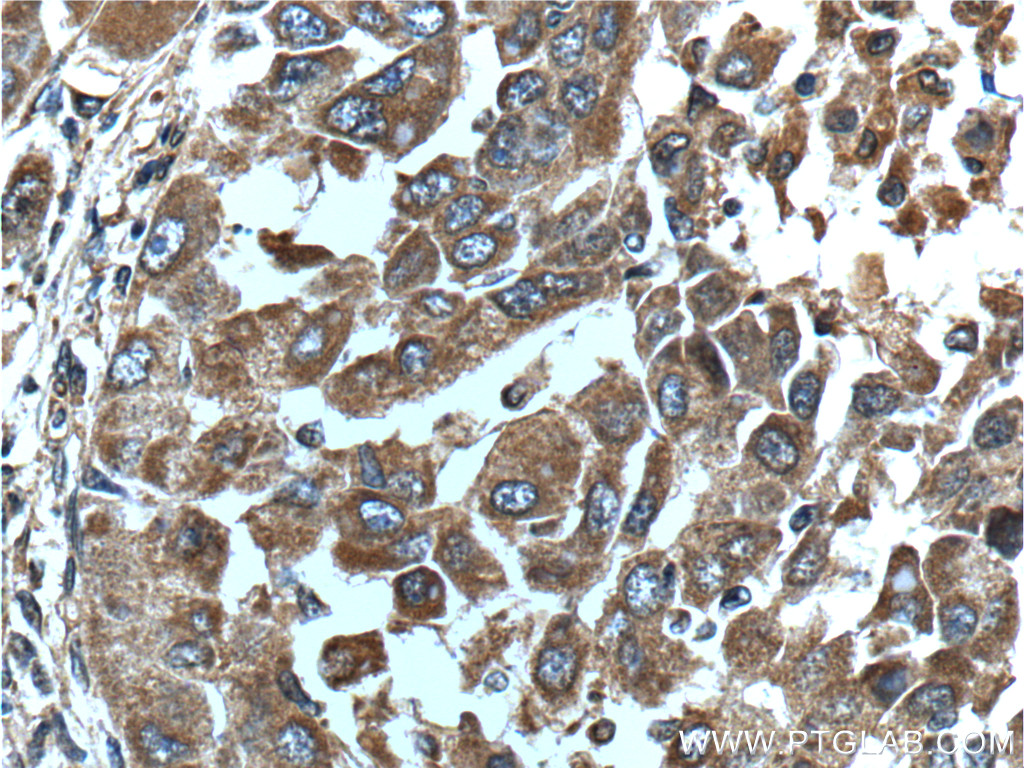
| Positive IHC detected in | human liver cancer tissue Note: suggested antigen retrieval with TE buffer pH 9.0; (*) Alternatively, antigen retrieval may be performed with citrate buffer pH 6.0 |
| Positive IF/ICC detected in | MCF-7 cells |
推荐稀释比
| 应用 | 推荐稀释比 |
|---|---|
| Western Blot (WB) | WB : 1:500-1:1000 |
| Immunoprecipitation (IP) | IP : 0.5-4.0 ug for 1.0-3.0 mg of total protein lysate |
| Immunohistochemistry (IHC) | IHC : 1:50-1:500 |
| Immunofluorescence (IF)/ICC | IF/ICC : 1:50-1:500 |
| It is recommended that this reagent should be titrated in each testing system to obtain optimal results. | |
| Sample-dependent, Check data in validation data gallery. | |
产品信息
20089-1-AP targets GAB3-Specific in WB, IHC, IF/ICC, IP, ELISA applications and shows reactivity with human, mouse, rat samples.
| 经测试应用 | WB, IHC, IF/ICC, IP, ELISA Application Description |
| 经测试反应性 | human, mouse, rat |
| 免疫原 |
Peptide 种属同源性预测 |
| 宿主/亚型 | Rabbit / IgG |
| 抗体类别 | Polyclonal |
| 产品类型 | Antibody |
| 全称 | GRB2-associated binding protein 3 |
| 别名 | GAB3, Growth factor receptor bound protein 2-associated protein 3, GRB2-associated-binding protein 3, GRB2-associated binder 3, GRB2 associated binder 3 |
| 计算分子量 | 66 kDa |
| 观测分子量 | 60-66 kDa |
| GenBank蛋白编号 | NM_001081573 |
| 基因名称 | GAB3 |
| Gene ID (NCBI) | 139716 |
| RRID | AB_11182715 |
| 偶联类型 | Unconjugated |
| 形式 | Liquid |
| 纯化方式 | Antigen affinity purification |
| UNIPROT ID | Q8WWW8 |
| 储存缓冲液 | PBS with 0.02% sodium azide and 50% glycerol, pH 7.3. |
| 储存条件 | Store at -20°C. Stable for one year after shipment. Aliquoting is unnecessary for -20oC storage. |
背景介绍
GAB3 belongs to the GAB family. GAB3 interacts with PIK3R/p85, SHP2 and GRAP2/MONA. It may interact with Grb2. The antibody is specific to GAB3.
实验方案
| Product Specific Protocols | |
|---|---|
| IF protocol for GAB3-Specific antibody 20089-1-AP | Download protocol |
| IHC protocol for GAB3-Specific antibody 20089-1-AP | Download protocol |
| IP protocol for GAB3-Specific antibody 20089-1-AP | Download protocol |
| WB protocol for GAB3-Specific antibody 20089-1-AP | Download protocol |
| Standard Protocols | |
|---|---|
| Click here to view our Standard Protocols |






