验证数据展示
经过测试的应用
| Positive WB detected in | mouse liver tissue, human placenta tissue, mouse ovary tissue, mouse testis tissue, mouse spleen tissue, rat liver tissue |
| Positive IP detected in | mouse liver tissue |
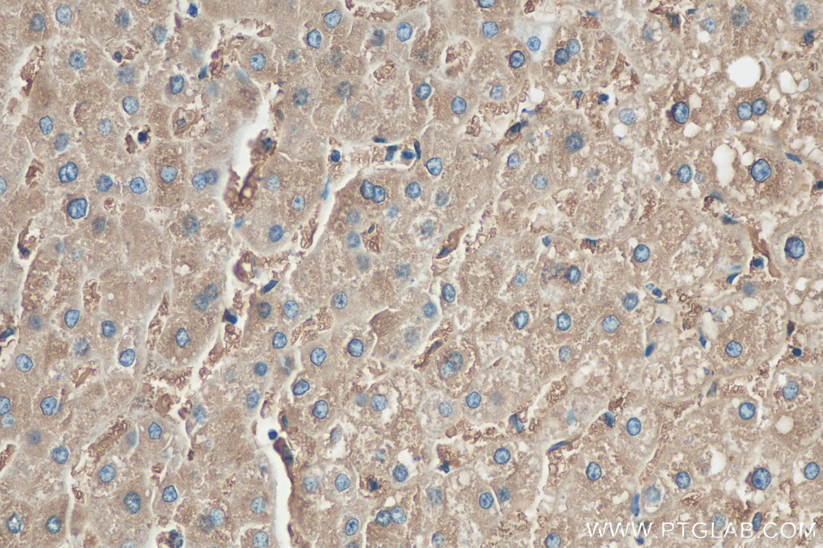
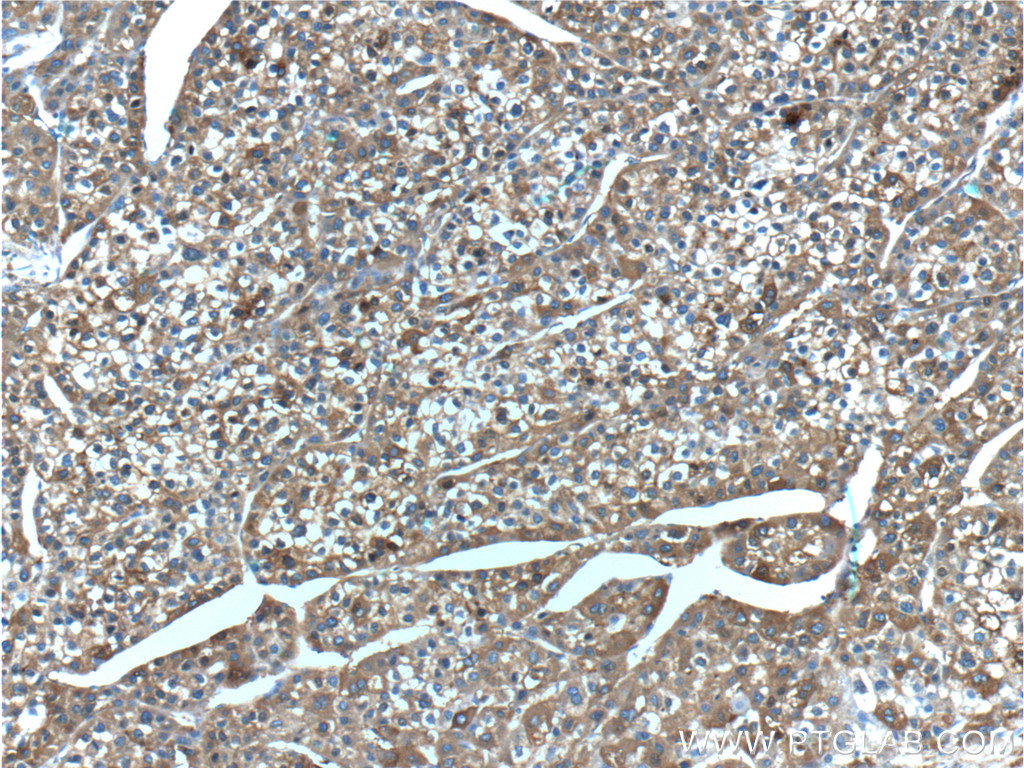
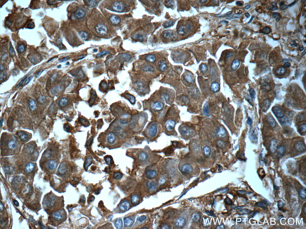
| Positive IHC detected in | human liver tissue, human liver cancer tissue, mouse spleen tissue, human spleen tissue Note: suggested antigen retrieval with TE buffer pH 9.0; (*) Alternatively, antigen retrieval may be performed with citrate buffer pH 6.0 |
| Positive IF/ICC detected in | A549 cells |
This antibody is not recommended for WB detection of brain sample.
推荐稀释比
| 应用 | 推荐稀释比 |
|---|---|
| Western Blot (WB) | WB : 1:2000-1:10000 |
| Immunoprecipitation (IP) | IP : 0.5-4.0 ug for 1.0-3.0 mg of total protein lysate |
| Immunohistochemistry (IHC) | IHC : 1:50-1:500 |
| Immunofluorescence (IF)/ICC | IF/ICC : 1:200-1:800 |
| It is recommended that this reagent should be titrated in each testing system to obtain optimal results. | |
| Sample-dependent, Check data in validation data gallery. | |
产品信息
10727-1-AP targets Ferritin light chain in WB, IHC, IF/ICC, IP, CoIP, ELISA applications and shows reactivity with human, mouse, rat samples.
| 经测试应用 | WB, IHC, IF/ICC, IP, ELISA Application Description |
| 文献引用应用 | WB, IHC, IF, IP, CoIP |
| 经测试反应性 | human, mouse, rat |
| 文献引用反应性 | human, mouse, rat, monkey, bovine, duck |
| 免疫原 |
CatNo: Ag1149 Product name: Recombinant human FTL protein Source: e coli.-derived, PGEX-4T Tag: GST Domain: 1-175 aa of BC008439 Sequence: MSSQIRQNYSTDVEAAVNSLVNLYLQASYTYLSLGFYFDRDDVALEGVSHFFRELAEEKREGYERLLKMQNQRGGRALFQDIKKPAEDEWGKTPDAMKAAMALEKKLNQALLDLHALGSARTDPHLCDFLETHFLDEEVKLIKKMGDHLTNLHRLGGPEAGLGEYLFERLTLKHD 种属同源性预测 |
| 宿主/亚型 | Rabbit / IgG |
| 抗体类别 | Polyclonal |
| 产品类型 | Antibody |
| 全称 | ferritin, light polypeptide |
| 别名 | Ferritin, FTL, Ferritin L subunit |
| 计算分子量 | 19 kDa |
| 观测分子量 | 18-20 kDa |
| GenBank蛋白编号 | BC008439 |
| 基因名称 | Ferritin light chain |
| Gene ID (NCBI) | 2512 |
| RRID | AB_2278673 |
| 偶联类型 | Unconjugated |
| 形式 | Liquid |
| 纯化方式 | Antigen affinity purification |
| UNIPROT ID | P02792 |
| 储存缓冲液 | PBS with 0.02% sodium azide and 50% glycerol, pH 7.3. |
| 储存条件 | Store at -20°C. Stable for one year after shipment. Aliquoting is unnecessary for -20oC storage. |
背景介绍
FTL belongs to the ferritin family. It stores iron in a soluble, non-toxic, readily available form. FTL is important for iron homeostasis. It plays a role in delivery of iron to cells. FTL mediates iron uptake in capsule cells of the developing kidney. Mutation of FTL will cause hereditary hyperferritinemia-cataract syndrome (HHCS) or neurodegeneration with brain iron accumulation type 3 (NBIA3). Ferritin light polypeptide (FTL) and ferritin heavy polypeptide (FTH1) were the main constituents the striatum and cerebellar cortex revealed.
实验方案
| Product Specific Protocols | |
|---|---|
| IF protocol for Ferritin light chain antibody 10727-1-AP | Download protocol |
| IHC protocol for Ferritin light chain antibody 10727-1-AP | Download protocol |
| IP protocol for Ferritin light chain antibody 10727-1-AP | Download protocol |
| WB protocol for Ferritin light chain antibody 10727-1-AP | Download protocol |
| Standard Protocols | |
|---|---|
| Click here to view our Standard Protocols |
发表文章
| Species | Application | Title |
|---|---|---|
Mil Med Res Caveolin-1 is critical for hepatic iron storage capacity in the development of nonalcoholic fatty liver disease | ||
Nat Cell Biol Selective VPS34 inhibitor blocks autophagy and uncovers a role for NCOA4 in ferritin degradation and iron homeostasis in vivo.
| ||
ACS Nano Ferroptosis Is Involved in Sex-Specific Small Intestinal Toxicity in the Offspring of Adult Mice Exposed to Polystyrene Nanoplastics during Pregnancy | ||
Nat Commun Targeting ferroptosis by poly(acrylic) acid coated Mn3O4 nanoparticles alleviates acute liver injury | ||
Adv Sci (Weinh) PHOSPHO1 Suppresses Ferroptosis in Retinal Pigment Epithelial Cells by Reducing the Levels of Phosphatidylethanolamine Molecular Species |
















