验证数据展示
经过测试的应用
| Positive WB detected in | HeLa cells, L02 cells, human placenta tissue, mouse liver tissue, rat liver tissue |
| Positive IP detected in | HeLa cells |
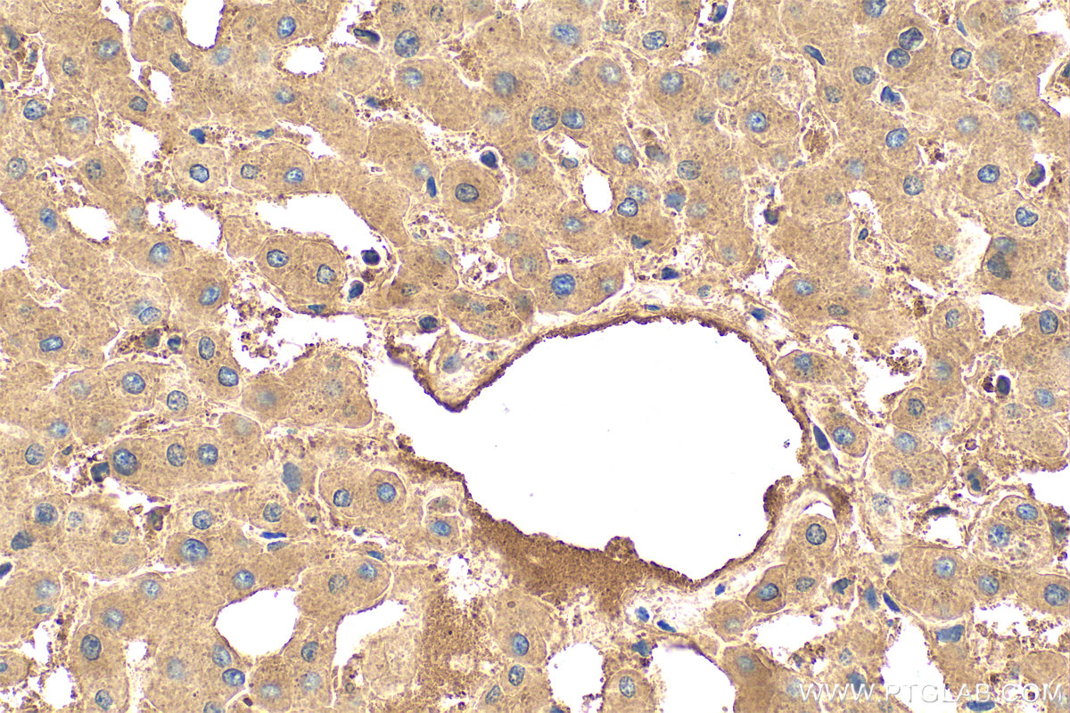
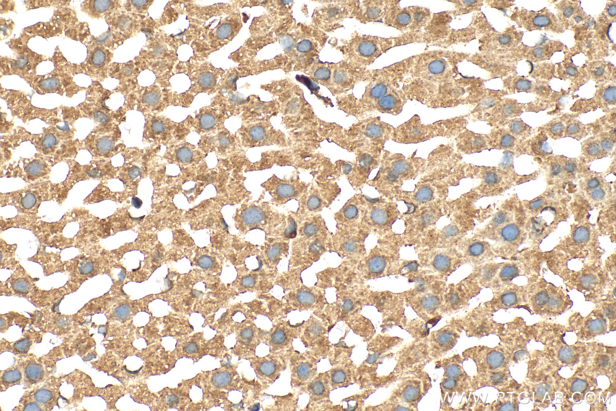
| Positive IHC detected in | mouse liver tissue, human liver tissue, rat liver tissue Note: suggested antigen retrieval with TE buffer pH 9.0; (*) Alternatively, antigen retrieval may be performed with citrate buffer pH 6.0 |
| Positive IF/ICC detected in | HeLa cells |
推荐稀释比
| 应用 | 推荐稀释比 |
|---|---|
| Western Blot (WB) | WB : 1:2000-1:6000 |
| Immunoprecipitation (IP) | IP : 0.5-4.0 ug for 1.0-3.0 mg of total protein lysate |
| Immunohistochemistry (IHC) | IHC : 1:50-1:500 |
| Immunofluorescence (IF)/ICC | IF/ICC : 1:50-1:500 |
| It is recommended that this reagent should be titrated in each testing system to obtain optimal results. | |
| Sample-dependent, Check data in validation data gallery. | |
产品信息
11682-1-AP targets Ferritin heavy chain in WB, IHC, IF/ICC, IP, CoIP, ChIP, ELISA applications and shows reactivity with human, mouse, rat samples.
| 经测试应用 | WB, IHC, IF/ICC, IP, ELISA Application Description |
| 文献引用应用 | WB, IHC, IF, IP, CoIP, ChIP |
| 经测试反应性 | human, mouse, rat |
| 文献引用反应性 | human, mouse, rat, pig, bovine, sheep, goat |
| 免疫原 |
CatNo: Ag2290 Product name: Recombinant human FTH1 protein Source: e coli.-derived, PGEX-4T Tag: GST Domain: 1-183 aa of BC000857 Sequence: MTTASTSQVRQNYHQDSEAAINRQINLELYASYVYLSMSYYFDRDDVALKNFAKYFLHQSHEEREHAEKLMKLQNQRGGRIFLQDIKKPDCDDWESGLNAMECALHLEKNVNQSLLELHKLATDKNDPHLCDFIETHYLNEQVKAIKELGDHVTNLRKMGAPESGLAEYLFDKHTLGDSDNES 种属同源性预测 |
| 宿主/亚型 | Rabbit / IgG |
| 抗体类别 | Polyclonal |
| 产品类型 | Antibody |
| 全称 | ferritin, heavy polypeptide 1 |
| 别名 | Ferritin, FTH1, Cell proliferation-inducing gene 15 protein, EC:1.16.3.1, Ferritin heavy chain, N-terminally processed |
| 计算分子量 | 183 aa, 21 kDa |
| 观测分子量 | 21 kDa |
| GenBank蛋白编号 | BC000857 |
| 基因名称 | FTH1 |
| Gene ID (NCBI) | 2495 |
| RRID | AB_3669131 |
| 偶联类型 | Unconjugated |
| 形式 | Liquid |
| 纯化方式 | Antigen affinity purification |
| UNIPROT ID | P02794 |
| 储存缓冲液 | PBS with 0.02% sodium azide and 50% glycerol, pH 7.3. |
| 储存条件 | Store at -20°C. Stable for one year after shipment. Aliquoting is unnecessary for -20oC storage. |
背景介绍
Ferritin heavy chain(FTH1, ferritin, heavy polypeptide 1 ), as a 21 kDa subunit of the ferritin complex, exhibits ferroxidase activity, which serves an essential role in catalyzing the conversion of the ferrous ions (Fe2+) to the ferric form (Fe3+). FTH1 regulates angiogenesis during inflammation and malignancy by binding to high molecular weight kininogen (HKa) and blocking its anti-angiogenic activity on endothelial cells in vitro and in vivo(PMID: 33260500). FTH1 has been shown to protect proximal tube epithelial cells and kidneys against the activity of free iron in reactive oxygen species generation. FTH1 plays an important role in the maintenance of the cellular iron balance in ferroptosis.
实验方案
| Product Specific Protocols | |
|---|---|
| IF protocol for Ferritin heavy chain antibody 11682-1-AP | Download protocol |
| IHC protocol for Ferritin heavy chain antibody 11682-1-AP | Download protocol |
| IP protocol for Ferritin heavy chain antibody 11682-1-AP | Download protocol |
| WB protocol for Ferritin heavy chain antibody 11682-1-AP | Download protocol |
| Standard Protocols | |
|---|---|
| Click here to view our Standard Protocols |
发表文章
| Species | Application | Title |
|---|---|---|
Free Radic Biol Med S100A8 induces Cyclophosphamide-Induced Alopecia via NCF2/NOX2-Mediated Ferroptosis | ||
Cells Unveiling Smyd-2's Role in Cytoplasmic Nrf-2 Sequestration and Ferroptosis Induction in Hippocampal Neurons After Cerebral Ischemia/Reperfusion | ||
Inflammopharmacology Sulfasalazine promotes ferroptosis through AKT-ERK1/2 and P53-SLC7A11 in rheumatoid arthritis | ||
Mol Neurobiol A Disintegrin and Metalloproteinase-8 Protects Against Erastin-Induced Neuronal Ferroptosis via Activating Nrf2/HO-1/FTH1 Signaling Pathway | ||
Front Pharmacol Metformin improves intestinal ischemia-reperfusion injury by reducing the formation of mitochondrial associated endoplasmic reticulum membranes (MAMs) and inhibiting ferroptosis in intestinal cells | ||
Sci Rep Sulfasalazine induces ferroptosis in osteosarcomas by regulating Nrf2/SLC7A11/GPX4 signaling axis |











