验证数据展示
经过测试的应用
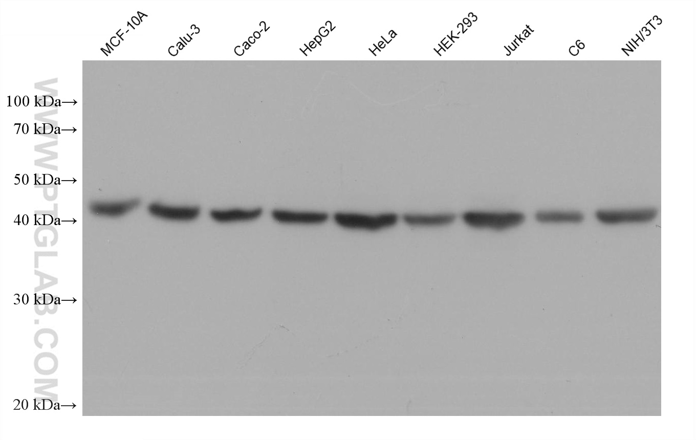
| Positive WB detected in | MCF-10A cells, HeLa cells, HEK-293 cells, Jurkat cells, Raji cells, HSC-T6 cells, NIH/3T3 cells, 4T1 cells, Calu-3 cells, Caco-2 cells, HepG2 cells, C6 cells |
| Positive IHC detected in | human breast cancer tissue, human testis tissue Note: suggested antigen retrieval with TE buffer pH 9.0; (*) Alternatively, antigen retrieval may be performed with citrate buffer pH 6.0 |
| Positive IF/ICC detected in | HeLa cells |
| Positive FC (Intra) detected in | HeLa cells |
推荐稀释比
| 应用 | 推荐稀释比 |
|---|---|
| Western Blot (WB) | WB : 1:2000-1:10000 |
| Immunohistochemistry (IHC) | IHC : 1:100-1:400 |
| Immunofluorescence (IF)/ICC | IF/ICC : 1:400-1:1600 |
| Flow Cytometry (FC) (INTRA) | FC (INTRA) : 0.40 ug per 10^6 cells in a 100 µl suspension |
| It is recommended that this reagent should be titrated in each testing system to obtain optimal results. | |
| Sample-dependent, Check data in validation data gallery. | |
发表文章中的应用
| WB | See 2 publications below |
产品信息
66389-1-Ig targets FKBPL in WB, IHC, IF/ICC, FC (Intra), ELISA applications and shows reactivity with human, mouse, rat samples.
| 经测试应用 | WB, IHC, IF/ICC, FC (Intra), ELISA Application Description |
| 文献引用应用 | WB |
| 经测试反应性 | human, mouse, rat |
| 文献引用反应性 | human |
| 免疫原 |
CatNo: Ag0112 Product name: Recombinant human FKBPL protein Source: e coli.-derived, PGEX-4T Tag: GST Domain: 2-237 aa of BC004168 Sequence: ETPPVNTIGEKDTSQPQQEWEKNLRENLDSVIQIRQQPRDPPTETLELEVSPDPASQILEHTQGAEKLVAELEGDSHKSHGSTSQMPEALQASDLWYCPDGSFVKKIVIRGHGLDKPKLGSCCRVLALGFPFGSGPPEGWTELTMGVGPWREETWGELIEKCLESMCQGEEAELQLPGHSGPPVRLTLASFTQGRDSWELETSEKEALAREERARGTELFRAGNPEGAARCYGRAL 种属同源性预测 |
| 宿主/亚型 | Mouse / IgG1 |
| 抗体类别 | Monoclonal |
| 产品类型 | Antibody |
| 全称 | FK506 binding protein like |
| 别名 | 2H10B10, DIR1, FK506-binding protein-like, NG7, WAF-1/CIP1 stabilizing protein 39 |
| 计算分子量 | 349 aa, 38 kDa |
| 观测分子量 | 42 kDa |
| GenBank蛋白编号 | BC004168 |
| 基因名称 | FKBPL |
| Gene ID (NCBI) | 63943 |
| RRID | AB_2881765 |
| 偶联类型 | Unconjugated |
| 形式 | Liquid |
| 纯化方式 | Protein G purification |
| UNIPROT ID | Q9UIM3 |
| 储存缓冲液 | PBS with 0.02% sodium azide and 50% glycerol, pH 7.3. |
| 储存条件 | Store at -20°C. Stable for one year after shipment. Aliquoting is unnecessary for -20oC storage. |
背景介绍
FKBPL, also named as DIR1, NG7 and WISp39, has similarity to the immunophilin protein family, which plays a role in immunoregulation and basic cellular processes involving protein folding and trafficking. FKBPL levels may be a prognostic indicator and determinant of response to endocrine therapy(PMID:20103631, 15664193) .It can be detected the band between 38 kDa and 48 kDa by western blot.
实验方案
| Product Specific Protocols | |
|---|---|
| FC protocol for FKBPL antibody 66389-1-Ig | Download protocol |
| IF protocol for FKBPL antibody 66389-1-Ig | Download protocol |
| IHC protocol for FKBPL antibody 66389-1-Ig | Download protocol |
| WB protocol for FKBPL antibody 66389-1-Ig | Download protocol |
| Standard Protocols | |
|---|---|
| Click here to view our Standard Protocols |
发表文章
| Species | Application | Title |
|---|---|---|
Cell Mol Life Sci A placenta-on-a-chip model to determine the regulation of FKBPL and galectin-3 in preeclampsia | ||
J Transl Med The FKBPL-based therapeutic peptide, AD-01, protects the endothelium from hypoxia-induced damage by stabilising hypoxia inducible factor-α and inflammation |







