验证数据展示
经过测试的应用
| Positive WB detected in | HEK-293 cells, human brain tissue, human placenta tissue, human kidney tissue, fetal human brain tissue, HeLa cells, NIH/3T3 cells |
| Positive IP detected in | HEK-293 cells |
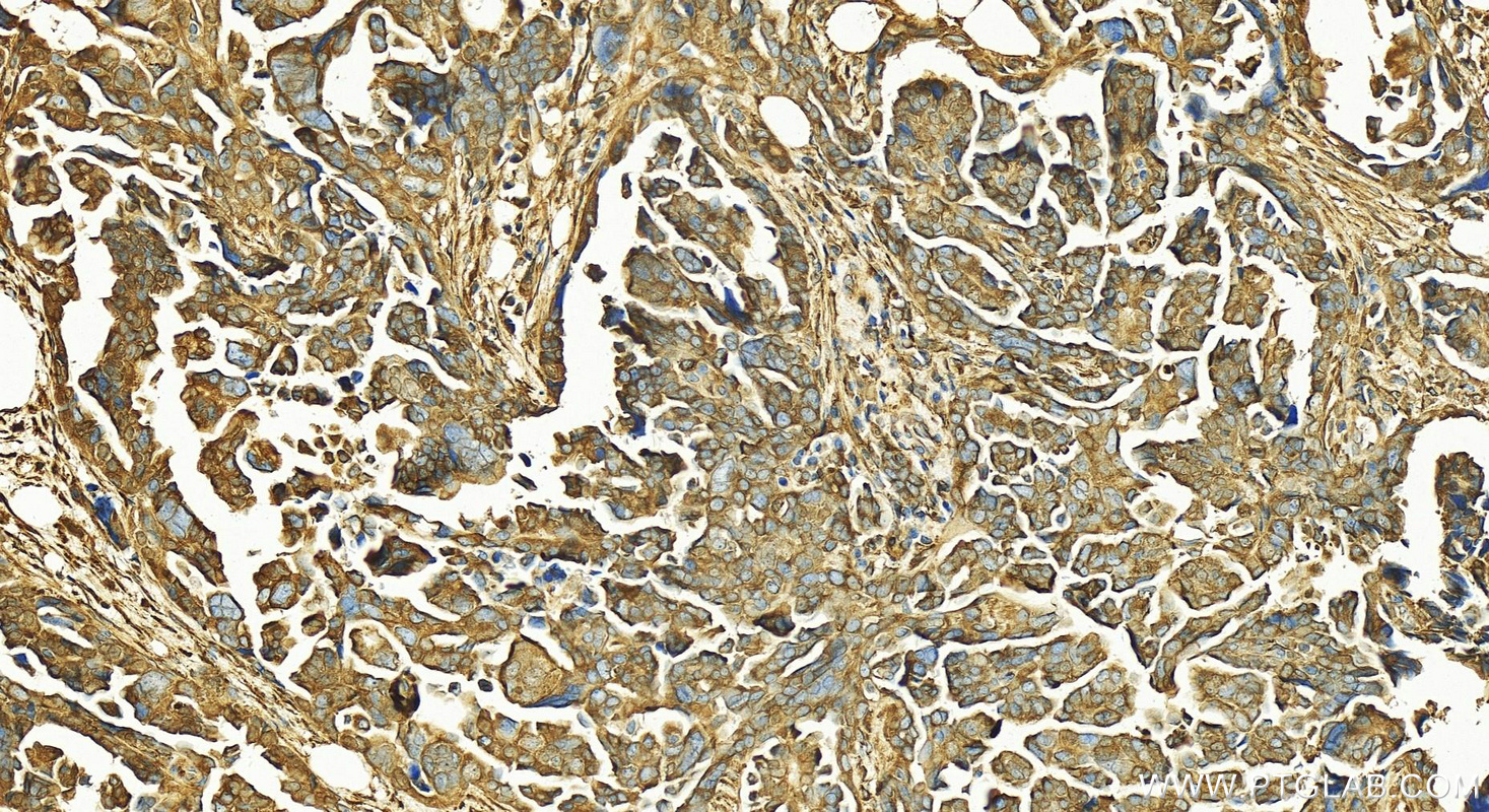
| Positive IHC detected in | human ovary cancer tissue Note: suggested antigen retrieval with TE buffer pH 9.0; (*) Alternatively, antigen retrieval may be performed with citrate buffer pH 6.0 |
推荐稀释比
| 应用 | 推荐稀释比 |
|---|---|
| Western Blot (WB) | WB : 1:2000-1:16000 |
| Immunoprecipitation (IP) | IP : 0.5-4.0 ug for 1.0-3.0 mg of total protein lysate |
| Immunohistochemistry (IHC) | IHC : 1:50-1:500 |
| It is recommended that this reagent should be titrated in each testing system to obtain optimal results. | |
| Sample-dependent, Check data in validation data gallery. | |
产品信息
12172-1-AP targets FKBP10/FKBP65 in WB, IHC, IF, IP, CoIP, ELISA applications and shows reactivity with human, mouse samples.
| 经测试应用 | WB, IHC, IP, ELISA Application Description |
| 文献引用应用 | WB, IHC, IF, IP, CoIP |
| 经测试反应性 | human, mouse |
| 文献引用反应性 | human, mouse, rat, chicken |
| 免疫原 |
CatNo: Ag2814 Product name: Recombinant human FKBP10 protein Source: e coli.-derived, PGEX-4T Tag: GST Domain: 233-582 aa of BC016467 Sequence: PFLAYGEKGYGTVIPPQASLVFHVLLIDVHNPKDAVQLETLELPPGCVRRAGAGDFMRYHYNGSLMDGTLFDSSYSRNHTYNTYIGQGYIIPGMDQGLQGACMGERRRITIPPHLAYGENGTGDKIPGSAVLIFNVHVIDFHNPADVVEIRTLSRPSETCNETTKLGDFVRYHYNCSLLDGTQLFTSHDYGAPQEATLGANKVIEGLDTGLQGMCVGERRQLIVPPHLAHGESGARGVPGSAVLLFEVELVSREDGLPTGYLFVWHKDPPANLFEDMDLNKDGEVPPEEFSTFIKAQVSEGKGRLMPGQDPEKTIGDMFQNQDRNQDGKITVDELKLKSDEDEERVHEEL 种属同源性预测 |
| 宿主/亚型 | Rabbit / IgG |
| 抗体类别 | Polyclonal |
| 产品类型 | Antibody |
| 全称 | FK506 binding protein 10, 65 kDa |
| 别名 | FKBP10, FKBP65, FKBP 65, FKBP 10, FK506-binding protein 10 |
| 计算分子量 | 582 aa, 64 kDa |
| 观测分子量 | 64 kDa |
| GenBank蛋白编号 | BC016467 |
| 基因名称 | FKBP10 |
| Gene ID (NCBI) | 60681 |
| RRID | AB_2102550 |
| 偶联类型 | Unconjugated |
| 形式 | Liquid |
| 纯化方式 | Antigen affinity purification |
| UNIPROT ID | Q96AY3 |
| 储存缓冲液 | PBS with 0.02% sodium azide and 50% glycerol, pH 7.3. |
| 储存条件 | Store at -20°C. Stable for one year after shipment. Aliquoting is unnecessary for -20oC storage. |
背景介绍
FKBP10, also known as FKBP65, is a 65 kDa FK506 binding protein that is a member of the FKBP-type peptidyl-prolyl cis/trans isomerase family. This protein localizes to the endoplasmic reticulum and acts as a molecular chaperone and binding partner of type I collagen. FKBP65 is expressed in developing tissues and re-expressed in adult tissues following injury. As documented, FKBP10 has been detected to play important roles in the initiation and progression of cancers.
实验方案
| Product Specific Protocols | |
|---|---|
| IHC protocol for FKBP10/FKBP65 antibody 12172-1-AP | Download protocol |
| IP protocol for FKBP10/FKBP65 antibody 12172-1-AP | Download protocol |
| WB protocol for FKBP10/FKBP65 antibody 12172-1-AP | Download protocol |
| Standard Protocols | |
|---|---|
| Click here to view our Standard Protocols |
发表文章
| Species | Application | Title |
|---|---|---|
Mol Cell Proteomic mapping of the human mitochondrial intermembrane space in live cells via ratiometric APEX tagging. | ||
Proc Natl Acad Sci U S A Disentangling mechanisms involved in collagen pyridinoline cross-linking: The immunophilin FKBP65 is critical for dimerization of lysyl hydroxylase 2.
| ||
Proc Natl Acad Sci U S A Localized chondro-ossification underlies joint dysfunction and motor deficits in the Fkbp10 mouse model of osteogenesis imperfecta. | ||
Int J Biol Sci FKBP10 Promotes the Muscle Invasion of Bladder Cancer via Lamin A Dysregulation | ||









