验证数据展示
产品信息
66954-1-PBS targets FGFR3 as part of a matched antibody pair:
MP50578-1: 66954-1-PBS capture and 66954-2-PBS detection (validated in Cytometric bead array)
Unconjugated mouse monoclonal antibody pair in PBS only (BSA and azide free) storage buffer at a concentration of 1 mg/mL, ready for conjugation.
This conjugation ready format makes antibodies ideal for use in many applications including: ELISAs, multiplex assays requiring matched pairs, mass cytometry, and multiplex imaging applications.Antibody use should be optimized by the end user for each application and assay.
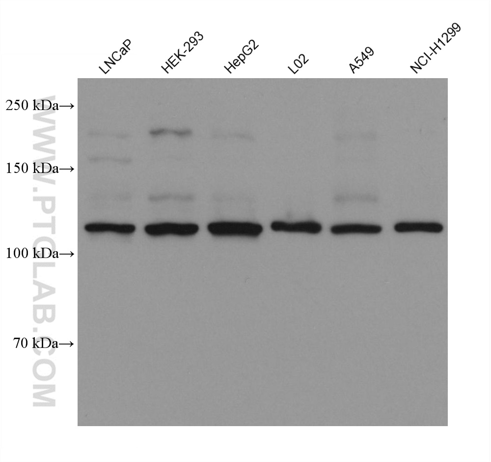
| 经测试应用 | WB, IF/ICC, Cytometric bead array, Indirect ELISA Application Description |
| 经测试反应性 | human |
| 免疫原 |
CatNo: Ag26290 Product name: Recombinant human FGFR3 protein Source: e coli.-derived, PET28a Tag: 6*His Domain: 23-125 aa of NM_000142 Sequence: MESLGTEQRVVGRAAEVPGPEPGQQEQLVFGSGDAVELSCPPPGGGPMGPTVWVKDGTGLVPSERVLVGPQRLQVLNASHEDSGAYSCRQRLTQRVLCHFSVRV 种属同源性预测 |
| 宿主/亚型 | Mouse / IgG1 |
| 抗体类别 | Monoclonal |
| 产品类型 | Antibody |
| 全称 | fibroblast growth factor receptor 3 |
| 别名 | JTK4, HSFGFR3EX, FGFR 3, CEK2, CD333 |
| 计算分子量 | 87 kDa |
| 观测分子量 | 125-135 kDa |
| GenBank蛋白编号 | NM_000142 |
| 基因名称 | FGFR3 |
| Gene ID (NCBI) | 2261 |
| RRID | AB_2882277 |
| 偶联类型 | Unconjugated |
| 形式 | Liquid |
| 纯化方式 | Protein G purification |
| UNIPROT ID | P22607 |
| 储存缓冲液 | PBS only, pH 7.3. |
| 储存条件 | Store at -80°C. The product is shipped with ice packs. Upon receipt, store it immediately at -80°C |
背景介绍
Fibroblast growth factors (FGFs) are polypeptide growth factors involved in a variety of activities including mitogenesis, angiogenesis, and wound healing (PMID: 1847508). The human FGF receptor family, a subfamily of receptor tyrosine kinases (RTKs), comprises of four family members-FGFR1, FGFR2, FGFR3, and FGFR4 (PMID: 23900974). Each receptor contains an extracellular domain with either two or three immunoglobulin-like domains, a transmembrane domain, and a cytoplasmic tyrosine kinase domain. FGFR3 binds acidic and basic fibroblast GH and plays a role in bone development and maintenance. Mutations in the FGFR3 gene lead to craniosynostosis and multiple types of skeletal dysplasia. Due to frequent mutations in certain cancers, the FGFR3 gene has also been associated with tumor progression.








