验证数据展示
经过测试的应用
| Positive WB detected in | PC-3 cells, mouse pancreas tissue, mouse testis tissue | 
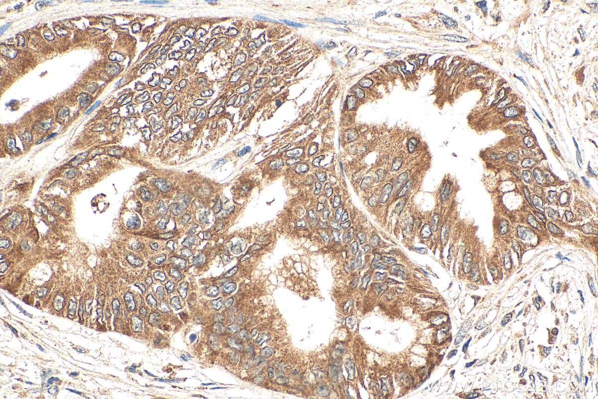
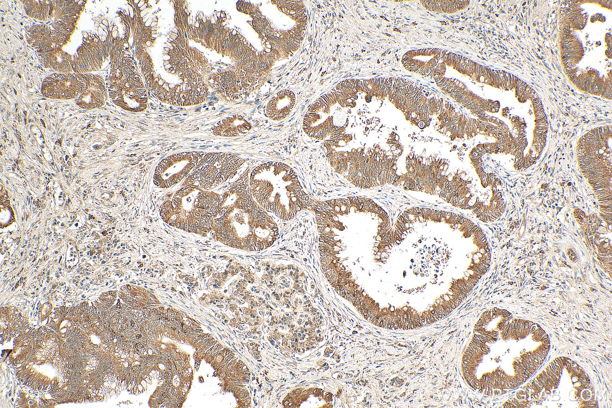
| Positive IHC detected in | human pancreas cancer tissue, mouse pancreas tissue Note: suggested antigen retrieval with TE buffer pH 9.0; (*) Alternatively, antigen retrieval may be performed with citrate buffer pH 6.0 | 
| Positive IF/ICC detected in | PC-3 cells | 
推荐稀释比
| 应用 | 推荐稀释比 | 
|---|---|
| Western Blot (WB) | WB : 1:500-1:1000 | 
| Immunohistochemistry (IHC) | IHC : 1:50-1:500 | 
| Immunofluorescence (IF)/ICC | IF/ICC : 1:200-1:800 | 
| It is recommended that this reagent should be titrated in each testing system to obtain optimal results. | |
| Sample-dependent, Check data in validation data gallery. | |
产品信息
19544-1-AP targets FEM1B in WB, IHC, IF/ICC, ELISA applications and shows reactivity with human, mouse, rat samples.
| 经测试应用 | WB, IHC, IF/ICC, ELISA Application Description | 
| 文献引用应用 | WB, IF | 
| 经测试反应性 | human, mouse, rat | 
| 文献引用反应性 | human, mouse | 
| 免疫原 | Peptide种属同源性预测 | 
| 宿主/亚型 | Rabbit / IgG | 
| 抗体类别 | Polyclonal | 
| 产品类型 | Antibody | 
| 全称 | fem-1 homolog b (C. elegans) | 
| 别名 | FEM1-beta, FEM1 beta, fem 1 homolog b (C. elegans), F1A-alpha, F1AA | 
| 计算分子量 | 70 kDa | 
| 观测分子量 | 70 kDa | 
| GenBank蛋白编号 | NM_015322 | 
| 基因名称 | FEM1B | 
| Gene ID (NCBI) | 10116 | 
| RRID | AB_10644294 | 
| 偶联类型 | Unconjugated | 
| 形式 | Liquid | 
| 纯化方式 | Antigen affinity purification | 
| UNIPROT ID | Q9UK73 | 
| 储存缓冲液 | PBS with 0.02% sodium azide and 50% glycerol, pH 7.3. | 
| 储存条件 | Store at -20°C. Stable for one year after shipment. Aliquoting is unnecessary for -20oC storage. | 
背景介绍
FEM1B, also named F1AA and KIAA0396, belongs to the fem-1 family. FEM1B is a component of an E3 ubiquitin-protein ligase complex, in which it may act as a substrate recognition subunit. FEM1B is involved in apoptosis by acting as a death receptor-associated protein that mediates apoptosis. It is involved in glucose homeostasis in pancreatic islets.
实验方案
| Product Specific Protocols | |
|---|---|
| IF protocol for FEM1B antibody 19544-1-AP | Download protocol | 
| IHC protocol for FEM1B antibody 19544-1-AP | Download protocol | 
| WB protocol for FEM1B antibody 19544-1-AP | Download protocol | 
| Standard Protocols | |
|---|---|
| Click here to view our Standard Protocols | 
发表文章
| Species | Application | Title | 
|---|---|---|
| J Am Chem Soc Discovery of a Covalent FEM1B Recruiter for Targeted Protein Degradation Applications | ||
| Mol Cell Reactive oxygen species control protein degradation at the mitochondrial import gate | 










