验证数据展示
经过测试的应用
| Positive WB detected in | human testis tissue, mouse testis tissue |
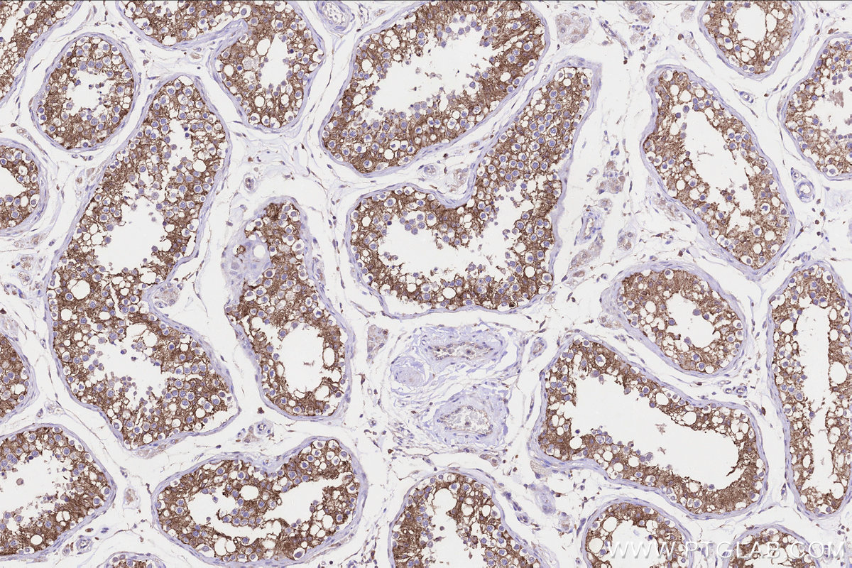
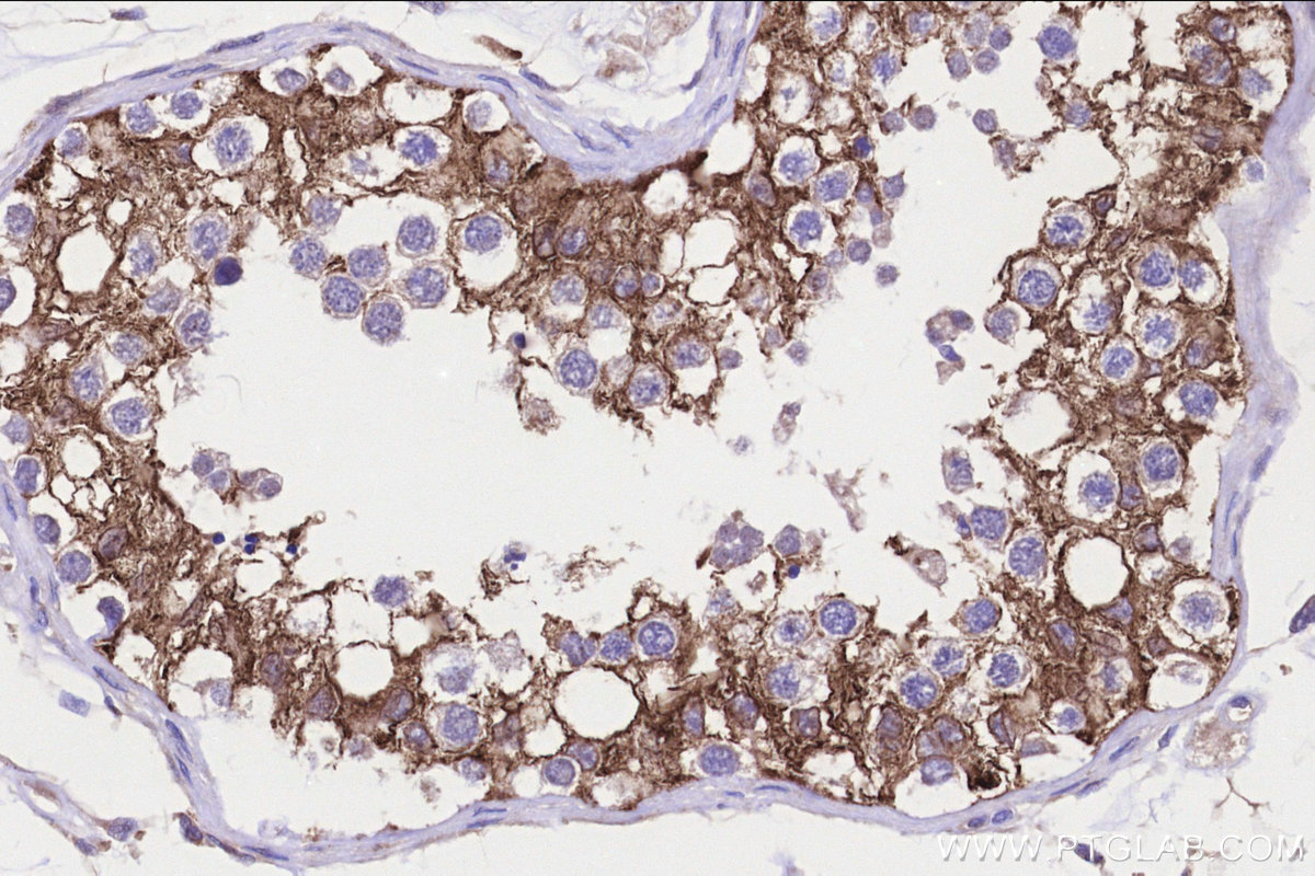
| Positive IHC detected in | human testis tissue Note: suggested antigen retrieval with TE buffer pH 9.0; (*) Alternatively, antigen retrieval may be performed with citrate buffer pH 6.0 |
推荐稀释比
| 应用 | 推荐稀释比 |
|---|---|
| Western Blot (WB) | WB : 1:500-1:1000 |
| Immunohistochemistry (IHC) | IHC : 1:250-1:1000 |
| It is recommended that this reagent should be titrated in each testing system to obtain optimal results. | |
| Sample-dependent, Check data in validation data gallery. | |
产品信息
23809-1-AP targets FATE1 in WB, IHC, ELISA applications and shows reactivity with human, mouse samples.
| 经测试应用 | WB, IHC, ELISA Application Description |
| 经测试反应性 | human, mouse |
| 免疫原 |
CatNo: Ag20757 Product name: Recombinant human FATE1 protein Source: e coli.-derived, PET30a Tag: 6*His Domain: 1-163 aa of BC022064 Sequence: MAGGPPNTKAEMEMSLAEELNHGRQGENQEHLVIAEMMELGSRSRGASQKKQKLEQKAAGSASAKRVWNMTATRPKKMGSQLPKPRMLRESGHGDAHLQEYAGNFQGIRFHYDRNPGTDAVAQTSLEEFNVLEMEVMRRQLYAVNRRLRALEEQGATWRHRET 种属同源性预测 |
| 宿主/亚型 | Rabbit / IgG |
| 抗体类别 | Polyclonal |
| 产品类型 | Antibody |
| 全称 | fetal and adult testis expressed 1 |
| 别名 | Cancer/testis antigen 43, CT43, FATE, Fetal and adult testis-expressed transcript protein, Tumor antigen BJ-HCC-2 |
| 计算分子量 | 21 kDa |
| 观测分子量 | 21 kDa |
| GenBank蛋白编号 | BC022064 |
| 基因名称 | FATE1 |
| Gene ID (NCBI) | 89885 |
| RRID | AB_2879328 |
| 偶联类型 | Unconjugated |
| 形式 | Liquid |
| 纯化方式 | Antigen affinity purification |
| UNIPROT ID | Q969F0 |
| 储存缓冲液 | PBS with 0.02% sodium azide and 50% glycerol, pH 7.3. |
| 储存条件 | Store at -20°C. Stable for one year after shipment. Aliquoting is unnecessary for -20oC storage. |
背景介绍
FATE1 ,also named as Fetal and adult testis expressed transcript protein, express predominantly in testis, with some expression in lung, heart, kidney, adrenal gland and whole brain. FATE might represent a novel target gene of SF-1 in testicular differentiation and germ cell development. FATE1 also involves in the regulation of a wide variety of cellular processes ,including the cell cycle, immune responses, signaling cascades and developmental events through target proteins, such as cyclins, cyclin-dependent kinase inhibitors.
实验方案
| Product Specific Protocols | |
|---|---|
| IHC protocol for FATE1 antibody 23809-1-AP | Download protocol |
| WB protocol for FATE1 antibody 23809-1-AP | Download protocol |
| Standard Protocols | |
|---|---|
| Click here to view our Standard Protocols |



