验证数据展示
经过测试的应用
| Positive WB detected in | human milk tissue |
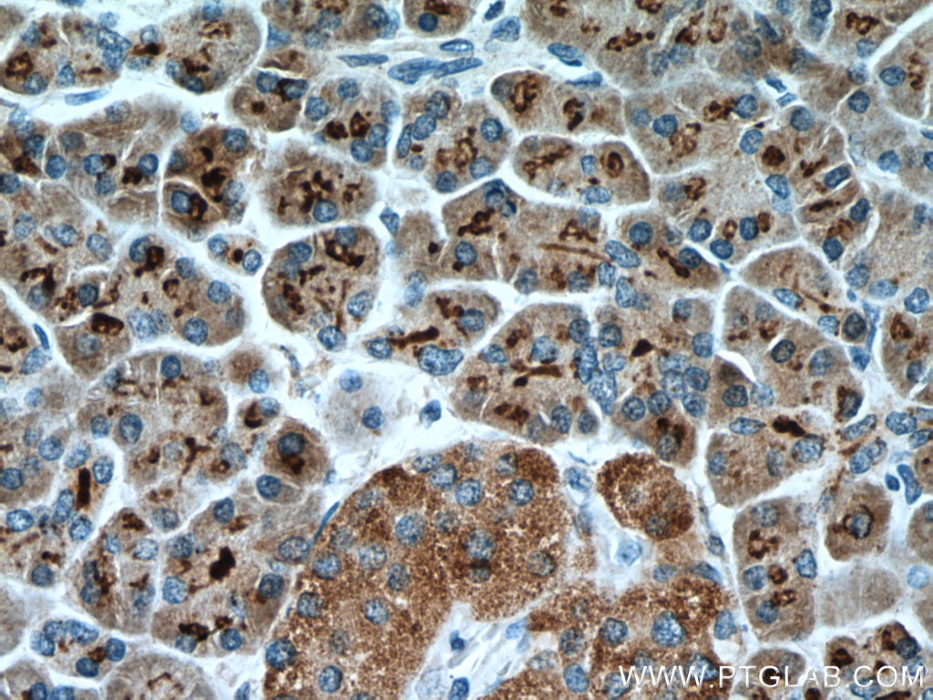
| Positive IHC detected in | human pancreas tissue, mouse pancreas tissue Note: suggested antigen retrieval with TE buffer pH 9.0; (*) Alternatively, antigen retrieval may be performed with citrate buffer pH 6.0 |
推荐稀释比
| 应用 | 推荐稀释比 |
|---|---|
| Western Blot (WB) | WB : 1:200-1:1000 |
| Immunohistochemistry (IHC) | IHC : 1:50-1:500 |
| It is recommended that this reagent should be titrated in each testing system to obtain optimal results. | |
| Sample-dependent, Check data in validation data gallery. | |
发表文章中的应用
| WB | See 1 publications below |
| IHC | See 4 publications below |
产品信息
27131-1-AP targets FAM3B in WB, IHC, ELISA applications and shows reactivity with human, mouse samples.
| 经测试应用 | WB, IHC, ELISA Application Description |
| 文献引用应用 | WB, IHC |
| 经测试反应性 | human, mouse |
| 文献引用反应性 | human |
| 免疫原 |
CatNo: Ag25955 Product name: Recombinant human FAM3B protein Source: e coli.-derived, PGEX-4T Tag: GST Domain: 60-235 aa of BC057829 Sequence: RQKCDHWTPCPSDTYAYRLLSGGGRSKYAKICFEDNLLMGEQLGNVARGINIAIVNYVTGNVTATRCFDMYEGDNSGPMTKFIQSAAPKSLLFMVTYDDGSTRLNNDAKNAIEALGSKEIRNMKFRSSWVFIAAKGLELPSEIQREKINHSDAKNNRYSGWPAEIQIEGCIPKERS 种属同源性预测 |
| 宿主/亚型 | Rabbit / IgG |
| 抗体类别 | Polyclonal |
| 产品类型 | Antibody |
| 全称 | family with sequence similarity 3, member B |
| 别名 | C21orf11, C21orf76, Cytokine like protein 2 21, FAM3B, ORF9, Pancreatic derived factor, PANDER, PRED44, Protein FAM3B, UNQ320/PRO365 |
| 计算分子量 | 26 kDa |
| 观测分子量 | 26 kDa, 23 kDa |
| GenBank蛋白编号 | BC057829 |
| 基因名称 | FAM3B |
| Gene ID (NCBI) | 54097 |
| RRID | AB_2880766 |
| 偶联类型 | Unconjugated |
| 形式 | Liquid |
| 纯化方式 | Antigen affinity purification |
| UNIPROT ID | P58499 |
| 储存缓冲液 | PBS with 0.02% sodium azide and 50% glycerol, pH 7.3. |
| 储存条件 | Store at -20°C. Stable for one year after shipment. Aliquoting is unnecessary for -20oC storage. |
背景介绍
FAM3B, also known as Pancreatic-derived factor (PANDER), is a secreted glycoprotein that belongs to the cytokine like-protein family. There are four members in this gene family (FAM3A, FAM3B, FAM3C and FAM3D). As a result of alternative splicing and alternate signal peptide cleavage sites, multiple isoforms are known. FAM3B is selectively expressed at a high level in pancreatic islets and at low levels in the small intestine, prostate, and certain neurons.
实验方案
| Product Specific Protocols | |
|---|---|
| IHC protocol for FAM3B antibody 27131-1-AP | Download protocol |
| WB protocol for FAM3B antibody 27131-1-AP | Download protocol |
| Standard Protocols | |
|---|---|
| Click here to view our Standard Protocols |
发表文章
| Species | Application | Title |
|---|---|---|
Int J Gen Med FAM3B Serves as a Biomarker for the Development and Malignancy of Oral Lichen Planus. | ||
Front Pharmacol A senescence-associated signature refines the classification of different modification patterns and characterization of tumor immune microenvironment infiltration in triple-negative breast cancer | ||
Sci Rep Evaluation of biomarkers and immune microenvironment of gestational diabetes mellitus evidence from omics data and machine learning. | ||
Discov Oncol FAM3B overexpression correlates with poor prognosis and immune dysregulation in colorectal cancer: insights from bioinformatics and Mendelian randomization analyses. |




