验证数据展示
产品信息
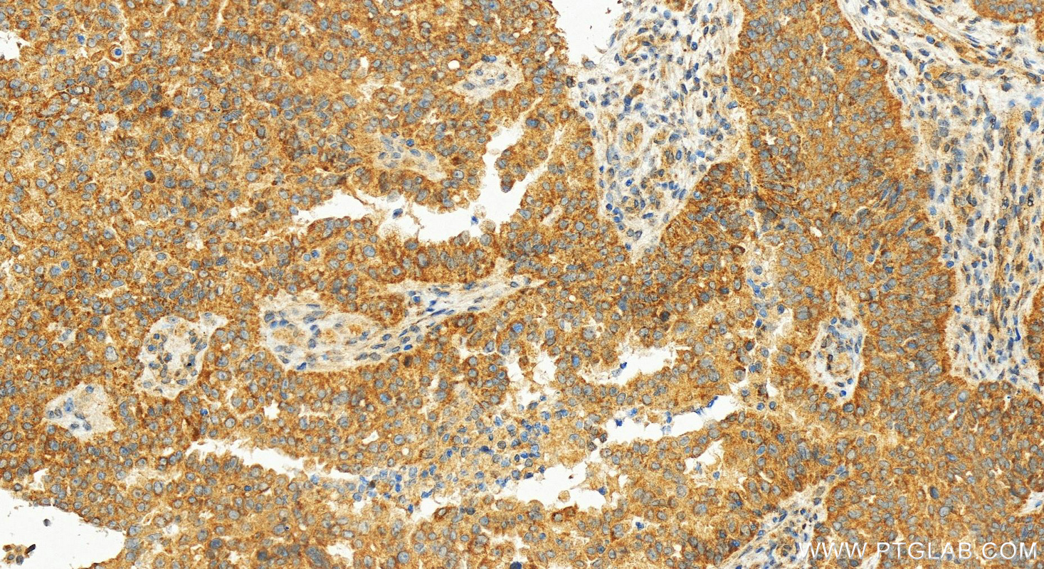
83921-3-PBS targets FAM185A in WB, IHC, ELISA applications and shows reactivity with human samples.
| 经测试应用 | WB, IHC, ELISA Application Description |
| 经测试反应性 | human |
| 免疫原 |
CatNo: Ag15041 Product name: Recombinant human FAM185A protein Source: e coli.-derived, PGEX-4T Tag: GST Domain: 1-144 aa of BC029175 Sequence: MLAPCSGWELGCFRLCLRQVRLWAGAGRWACWACQARPYSSGGSERWPGSETEVPPPGPARRTLKEWTLQVSPFGRLRARLPCHLAVRPLDPLTYPDGDRVLVAVCGVEGGVRGLDGLQVKYDEDLEEMAIVSDTIHPQASVEV 种属同源性预测 |
| 宿主/亚型 | Rabbit / IgG |
| 抗体类别 | Recombinant |
| 产品类型 | Antibody |
| 全称 | family with sequence similarity 185, member A |
| 别名 | 240804F7 |
| 计算分子量 | 393 aa, 42 kDa |
| 观测分子量 | 45 kDa |
| GenBank蛋白编号 | BC029175 |
| 基因名称 | FAM185A |
| Gene ID (NCBI) | 222234 |
| 偶联类型 | Unconjugated |
| 形式 | Liquid |
| 纯化方式 | Protein A purfication |
| UNIPROT ID | Q8N0U4 |
| 储存缓冲液 | PBS only, pH 7.3. |
| 储存条件 | Store at -80°C. The product is shipped with ice packs. Upon receipt, store it immediately at -80°C |


