验证数据展示
经过测试的应用
| Positive WB detected in | mouse heart tissue, rat heart tissue, mouse skeletal muscle tissue |
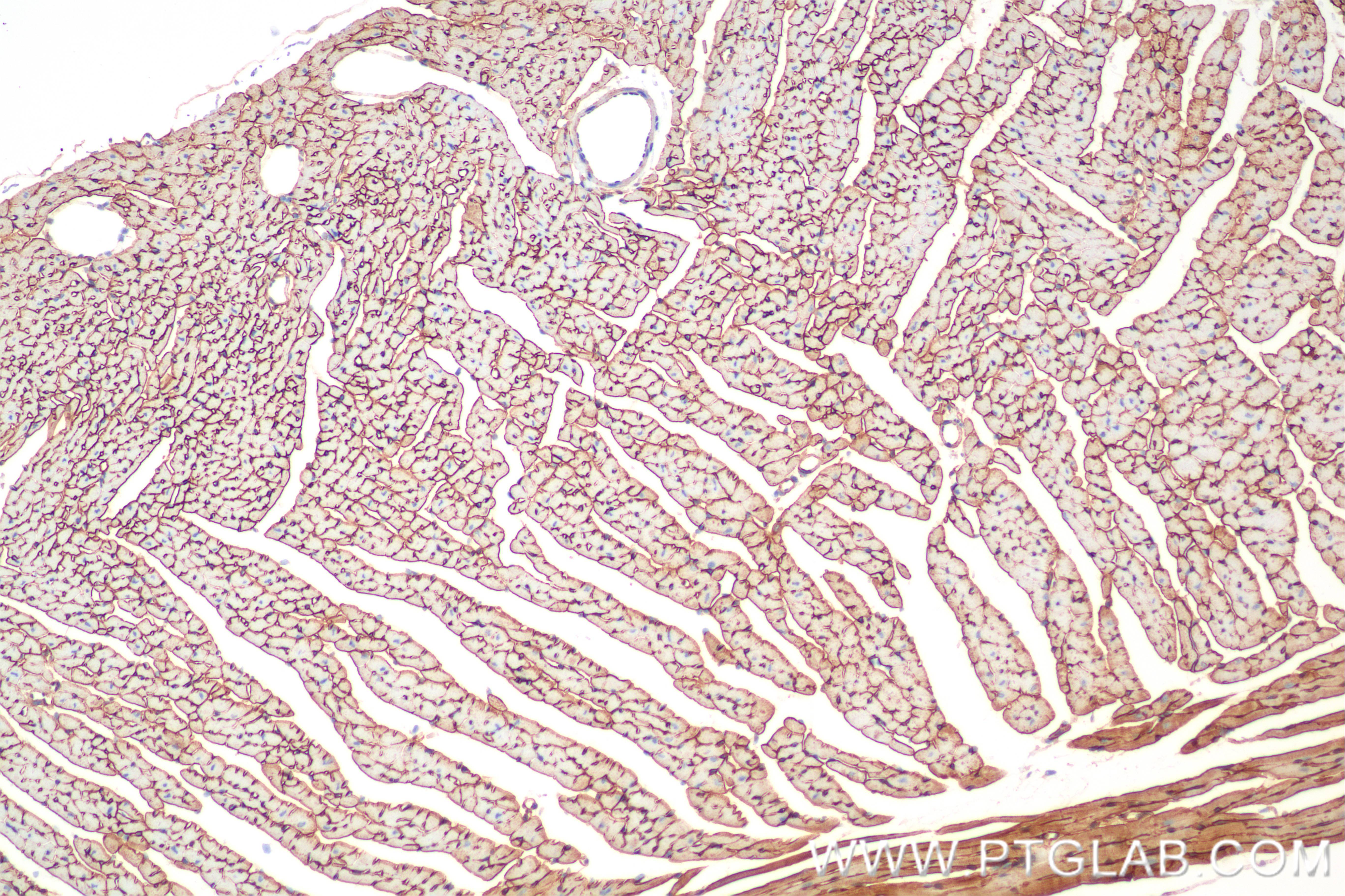
| Positive IHC detected in | mouse heart tissue Note: suggested antigen retrieval with TE buffer pH 9.0; (*) Alternatively, antigen retrieval may be performed with citrate buffer pH 6.0 |
| Positive IF-P detected in | mouse heart tissue |
推荐稀释比
| 应用 | 推荐稀释比 |
|---|---|
| Western Blot (WB) | WB : 1:5000-1:50000 |
| Immunohistochemistry (IHC) | IHC : 1:2000-1:8000 |
| Immunofluorescence (IF)-P | IF-P : 1:250-1:1000 |
| It is recommended that this reagent should be titrated in each testing system to obtain optimal results. | |
| Sample-dependent, Check data in validation data gallery. | |
产品信息
86456-1-RR targets Entactin in WB, IHC, IF-P, ELISA applications and shows reactivity with mouse, rat samples.
| 经测试应用 | WB, IHC, IF-P, ELISA Application Description |
| 经测试反应性 | mouse, rat |
| 免疫原 |
CatNo: Eg3030 Product name: Recombinant Mouse NID1 protein (rFc Tag) Source: mammalian cells-derived, V37 Tag: C-rFc Domain: 29-1245 aa of NM_010917.3 Sequence: LNRQELFPFGPGQGDLELEAGDDVVSPSLELIGELSFYDRTDITSVYVTTNGIIAMSEPPATEYHPGTFPPSFGSVAPFLADLDTTDGLGNVYYREDLSPFIIQMAAEYVQRGFPEVSFQPTSVVVVTWESVAPYGGPSSSPAEEGKRNTFQAVLASSNSSSYAIFLYPEDGLQFFTTFSKKDESQVPAVVGFSKGLVGFLWKSNGAYNIFANDRESIENLAKSSNAGHQGVWVFEIGSPATAKGVVSADVNLDLDDDGADYEDEDYDLVTSHLGLEDVATPSPSHSPRRGYPDPHNVPRILSPGYEATERPRGVPTERTRSFQLPAERFPQHHPQVIDVDEVEETGVVFSYNTGSQQTCANNRHQCSVHAECRDYATGFCCRCVANYTGNGRQCVAEGSPQRVNGKVKGRIFVGSSQVPVVFENTDLHSYVVMNHGRSYTAISTIPETVGYSLLPLAPIGGIIGWMFAVEQDGFKNGFSITGGEFTRQAEVTFLGHPGKLVLKQQFSGIDEHGHLTISTELEGRVPQIPYGASVHIEPYTELYHYSSSVITSSSTREYTVMEPDQDGAAPSHTHIYQWRQTITFQECAHDDARPALPSTQQLSVDSVFVLYNKEERILRYALSNSIGPVRDGSPDALQNPCYIGTHGCDSNAACRPGPGTQFTCECSIGFRGDGQTCYDIDECSEQPSRCGNHAVCNNLPGTFRCECVEGYHFSDRGTCVAAEDQRPINYCETGLHNCDIPQRAQCIYMGGSSYTCSCLPGFSGDGRACRDVDECQHSRCHPDAFCYNTPGSFTCQCKPGYQGDGFRCMPGEVSKTRCQLEREHILGAAGGADAQRPTLQGMFVPQCDEYGHYVPTQCHHSTGYCWCVDRDGRELEGSRTPPGMRPPCLSTVAPPIHQGPVVPTAVIPLPPGTHLLFAQTGKIERLPLERNTMKKTEAKAFLHIPAKVIIGLAFDCVDKVVYWTDISEPSIGRASLHGGEPTTIIRQDLGSPEGIALDHLGRTIFWTDSQLDRIEVAKMDGTQRRVLFDTGLVNPRGIVTDPVRGNLYWTDWNRDNPKIETSHMDGTNRRILAQDNLGLPNGLTFDAFSSQLCWVDAGTHRAECLNPAQPGRRKVLEGLQYPFAVTSYGKNLYYTDWKTNSVIAMDLAISKEMDTFHPHKQTRLYGITIALSQCPQGHNYCSVNNGGCTHLCLPTPGSRTCRCPDNTLGVDCIERK 种属同源性预测 |
| 宿主/亚型 | Rabbit / IgG |
| 抗体类别 | Recombinant |
| 产品类型 | Antibody |
| 全称 | nidogen 1 |
| 别名 | Ent, Nid1, NID-1, Nidogen-1 |
| 计算分子量 | 137 kDa |
| 观测分子量 | 150 kDa |
| GenBank蛋白编号 | NM_010917.3 |
| 基因名称 | Nid1 |
| Gene ID (NCBI) | 18073 |
| 偶联类型 | Unconjugated |
| 形式 | Liquid |
| 纯化方式 | Protein A purification |
| UNIPROT ID | P10493 |
| 储存缓冲液 | PBS with 0.02% sodium azide and 50% glycerol, pH 7.3. |
| 储存条件 | Store at -20°C. Stable for one year after shipment. Aliquoting is unnecessary for -20oC storage. |
背景介绍
Nidogen 1 (Entactin), first identified from a basement membrane-secreting cell line and the murine EHS tumor, is together with perlecan, laminin, and collagen IV, a ubiquitous component of basement membranes (PMID: 19530222). Nidogen-1 is made by mesenchymal cells and is incorporated into the epithelial BM. It is a sulfated glycoprotein of 150 kDa with three globular domains, G1, G2 and G3, and contains binding sites for other ECM molecules (PMID: 10958695, 10671374).


