验证数据展示
经过测试的应用
| Positive WB detected in | bEnd.3 cells |
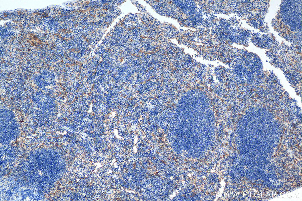
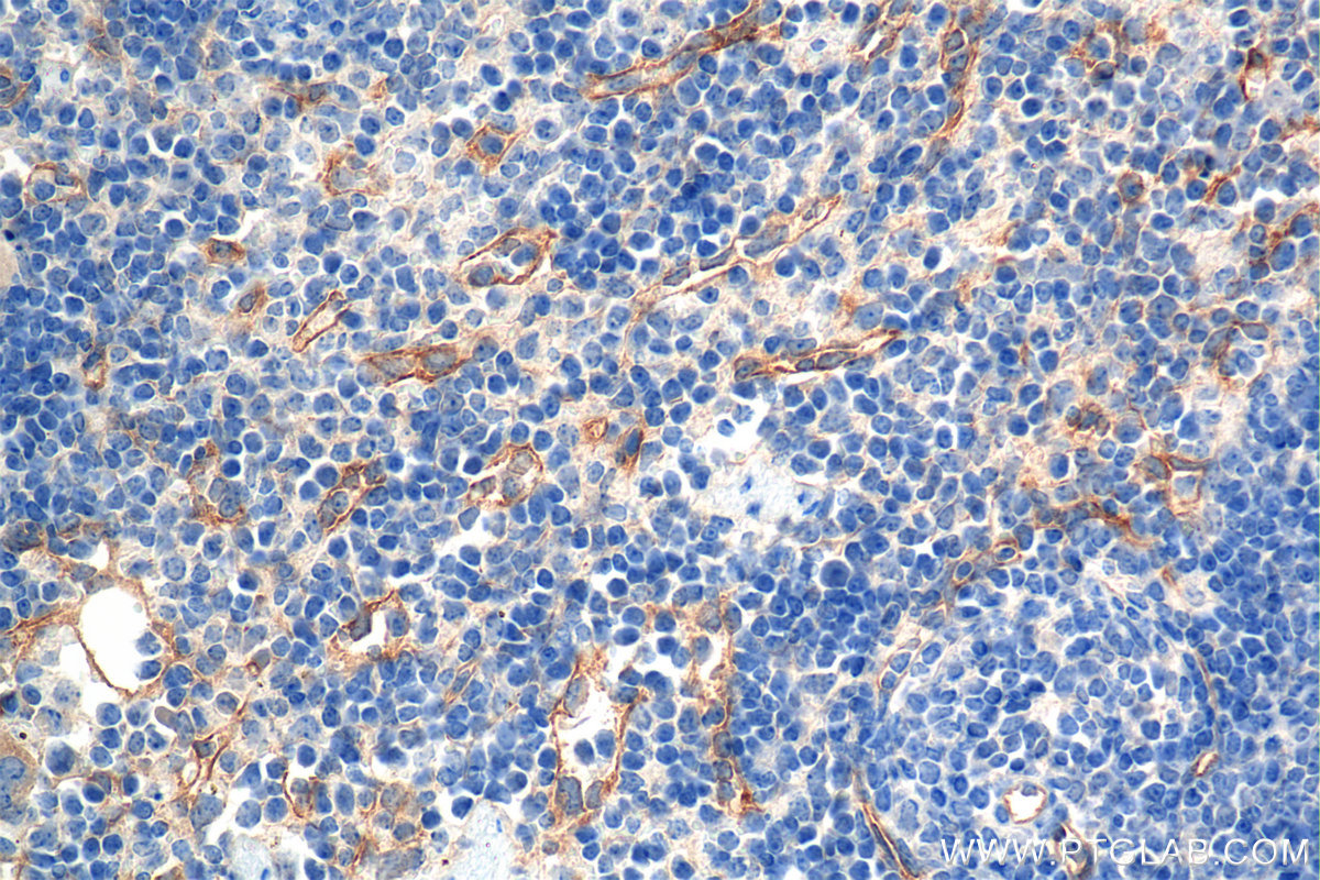
| Positive IHC detected in | mouse spleen tissue Note: suggested antigen retrieval with TE buffer pH 9.0; (*) Alternatively, antigen retrieval may be performed with citrate buffer pH 6.0 |
推荐稀释比
| 应用 | 推荐稀释比 |
|---|---|
| Western Blot (WB) | WB : 1:5000-1:50000 |
| Immunohistochemistry (IHC) | IHC : 1:500-1:2000 |
| It is recommended that this reagent should be titrated in each testing system to obtain optimal results. | |
| Sample-dependent, Check data in validation data gallery. | |
产品信息
84807-5-RR targets Endoglin/CD105 in WB, IHC, ELISA applications and shows reactivity with mouse samples.
| 经测试应用 | WB, IHC, ELISA Application Description |
| 经测试反应性 | mouse |
| 免疫原 |
CatNo: Eg1292 Product name: Recombinant Mouse Endoglin/CD105 protein (His Tag) Source: mammalian cells-derived, pHZ-KIsec-C-6*HIS Tag: C-6*HIS Domain: 27-580 aa of NM_007932.2 Sequence: ERVGCDLQPVDPTRGEVTFTTSQVSEGCVAQAANAVREVHVLFLDFPGMLSHLELTLQASKQNGTETQEVFLVLVSNKNVFVKFQAPEIPLHLAYDSSLVIFQGQPRVNITVLPSLTSRKQILDWAATKGAITSIAALDDPQSIVLQLGQDPKAPFLCLPEAHKDMGATLEWQPRAQTPVQSCRLEGVSGHKEAYILRILPGSEAGPRTVTVMMELSCTSGDAILILHGPPYVSWFIDINHSMQILTTGEYSVKIFPGSKVKGVELPDTPQGLIAEARKLNASIVTSFVELPLVSNVSLRASSCGGVFQTTPAPVVTTPPKDTCSPVLLMSLIQPKCGNQVMTLALNKKHVQTLQCTITGLTFWDSSCQAEDTDDHLVLSSAYSSCGMKVTAHVVSNEVIISFPSGSPPLRKKVQCIDMDSLSFQLGLYLSPHFLQASNTIELGQQAFVQVSVSPLTSEVTVQLDSCHLDLGPEGDMVELIQSRTAKGSCVTLLSPSPEGDPRFSFLLRVYMVPTPTAGTLSCNLALRPSTLSQEVYKTVSMRLNIVSPDLSGK 种属同源性预测 |
| 宿主/亚型 | Rabbit / IgG |
| 抗体类别 | Recombinant |
| 产品类型 | Antibody |
| 全称 | endoglin |
| 别名 | CD105, 242305A11, Edg, endoglin, Eng |
| 计算分子量 | 70 kDa |
| 观测分子量 | 90 kDa |
| GenBank蛋白编号 | NM_007932.2 |
| 基因名称 | CD105 |
| Gene ID (NCBI) | 13805 |
| RRID | AB_3743752 |
| 偶联类型 | Unconjugated |
| 形式 | Liquid |
| 纯化方式 | Protein A purfication |
| UNIPROT ID | Q63961 |
| 储存缓冲液 | PBS with 0.02% sodium azide and 50% glycerol, pH 7.3. |
| 储存条件 | Store at -20°C. Stable for one year after shipment. Aliquoting is unnecessary for -20oC storage. |
背景介绍
Endoglin (ENG, CD105) is a homodimeric cell membrane glycoprotein of 180 kDa, composed of disulphide-linked subunits of 90-95 kDa. Endoglin is a proliferation-associated and hypoxia-inducible protein mainly expressed on vascular endothelial cells. It acts as an accessory receptor for transforming growth factor beta (TFG-β) and is involved in vascular development and remodelling. The important role of Endoglin in angiogenesis and in tumor progression makes it an ideal target for antiangiogenic therapy and a good marker for tumor prognosis. (PMID: 1326540; 14528280; 21737653; 12773481)
实验方案
| Product Specific Protocols | |
|---|---|
| IHC protocol for Endoglin/CD105 antibody 84807-5-RR | Download protocol |
| WB protocol for Endoglin/CD105 antibody 84807-5-RR | Download protocol |
| Standard Protocols | |
|---|---|
| Click here to view our Standard Protocols |



