验证数据展示
经过测试的应用
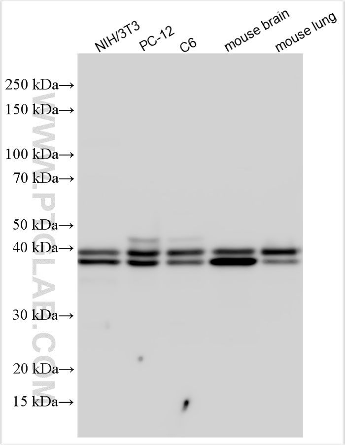
| Positive WB detected in | PC-12 cells, HEK-293 cells, HeLa cells, NIH/3T3 cells, C6 cells, mouse brain tissue, mouse lung tissue |
| Positive IP detected in | HEK-293 cells |
| Positive IHC detected in | human colon cancer tissue, human breast cancer tissue Note: suggested antigen retrieval with TE buffer pH 9.0; (*) Alternatively, antigen retrieval may be performed with citrate buffer pH 6.0 |
| Positive IF/ICC detected in | HEK-293 cells |
| Positive FC (Intra) detected in | HeLa cells |
推荐稀释比
| 应用 | 推荐稀释比 |
|---|---|
| Western Blot (WB) | WB : 1:2000-1:6000 |
| Immunoprecipitation (IP) | IP : 0.5-4.0 ug for 1.0-3.0 mg of total protein lysate |
| Immunohistochemistry (IHC) | IHC : 1:100-1:400 |
| Immunofluorescence (IF)/ICC | IF/ICC : 1:200-1:800 |
| Flow Cytometry (FC) (INTRA) | FC (INTRA) : 0.40 ug per 10^6 cells in a 100 µl suspension |
| It is recommended that this reagent should be titrated in each testing system to obtain optimal results. | |
| Sample-dependent, Check data in validation data gallery. | |
产品信息
11257-1-AP targets ERK1/2 in WB, IHC, IF/ICC, FC (Intra), IP, CoIP, ELISA applications and shows reactivity with human, mouse, rat samples.
| 经测试应用 | WB, IHC, IF/ICC, FC (Intra), IP, ELISA Application Description |
| 文献引用应用 | WB, IHC, IF, CoIP |
| 经测试反应性 | human, mouse, rat |
| 文献引用反应性 | human, mouse, rat, pig, canine, chicken, zebrafish, bovine, sheep, goat |
| 免疫原 |
CatNo: Ag1759 Product name: Recombinant human ERK1/2 protein Source: e coli.-derived, PGEX-4T Tag: GST Domain: 1-379 aa of BC013992 Sequence: MAAAAAQGGGGGEPRRTEGVGPGVPGEVEMVKGQPFDVGPRYTQLQYIGEGAYGMVSSAYDHVRKTRVAIKKISPFEHQTYCQRTLREIQILLRFRHENVIGIRDILRASTLEAMRDVYIVQDLMETDLYKLLKSQQLSNDHICYFLYQILRGLKYIHSANVLHRDLKPSNLLINTTCDLKICDFGLARIADPEHDHTGFLTEYVATRWYRAPEIMLNSKGYTKSIDIWSVGCILAEMLSNRPIFPGKHYLDQLNHILGILGSPSQEDLNCIINMKARNYLQSLPSKTKVAWAKLFPKSDSKALDLLDRMLTFNPNKRITVEEALAHPYLEQYYDPTDEPVAEEPFTFAMELDDLPKERLKELIFQETARFQPGVLEAP 种属同源性预测 |
| 宿主/亚型 | Rabbit / IgG |
| 抗体类别 | Polyclonal |
| 产品类型 | Antibody |
| 全称 | mitogen-activated protein kinase 3 |
| 别名 | ERK, ERK1, ERK2, EC:2.7.11.24, ERK-1 |
| 计算分子量 | 43 kDa |
| 观测分子量 | 38-44 kDa |
| GenBank蛋白编号 | BC013992 |
| 基因名称 | ERK1 |
| Gene ID (NCBI) | 5595 |
| RRID | AB_2139822 |
| 偶联类型 | Unconjugated |
| 形式 | Liquid |
| 纯化方式 | Antigen affinity purification |
| UNIPROT ID | P27361 |
| 储存缓冲液 | PBS with 0.02% sodium azide and 50% glycerol, pH 7.3. |
| 储存条件 | Store at -20°C. Stable for one year after shipment. Aliquoting is unnecessary for -20oC storage. |
背景介绍
ERK1 and ERK2 belongs to the protein kinase superfamily. It is involved in both the initiation and regulation of meiosis, mitosis, and postmitotic functions in differentiated cells by phosphorylating a number of transcription factors such as ELK-1. ERK1/2 catalized the reaction: ATP + a protein = ADP + a phosphoprotein. It is activated by tyrosine phosphorylation in response to INS and NGF. This antibody can recognize both ERK1 and ERK2 with the molecular mass of 38-44 kDa.
实验方案
| Product Specific Protocols | |
|---|---|
| FC protocol for ERK1/2 antibody 11257-1-AP | Download protocol |
| IF protocol for ERK1/2 antibody 11257-1-AP | Download protocol |
| IHC protocol for ERK1/2 antibody 11257-1-AP | Download protocol |
| IP protocol for ERK1/2 antibody 11257-1-AP | Download protocol |
| WB protocol for ERK1/2 antibody 11257-1-AP | Download protocol |
| Standard Protocols | |
|---|---|
| Click here to view our Standard Protocols |
发表文章
| Species | Application | Title |
|---|---|---|
Nat Commun Aggresome formation promotes ASK1/JNK signaling activation and stemness maintenance in ovarian cancer | ||
Biomaterials Myocardial delivery of miR30d with peptide-functionalized milk-derived extracellular vesicles for targeted treatment of hypertrophic heart failure | ||
J Nanobiotechnology Delivery of an ERK inhibitor using bioactive lipid nanoparticles reduces angiogenesis and prevents oral squamous cell carcinoma development | ||
Small Biomimetic Nanoplatform Integrating CeO₂ Nanozymes and Anti-Inflammatory Peptides for Osteoarthritis Therapy | ||
Redox Biol Twin defect-rich Pt ultrathin nanowire nanozymes alleviate inflammatory skin diseases by scavenging reactive oxygen species | ||
Cancer Res Osimertinib covalently binds to CD34 and eliminates myeloid leukemia stem/progenitor cells |










