验证数据展示
经过测试的应用
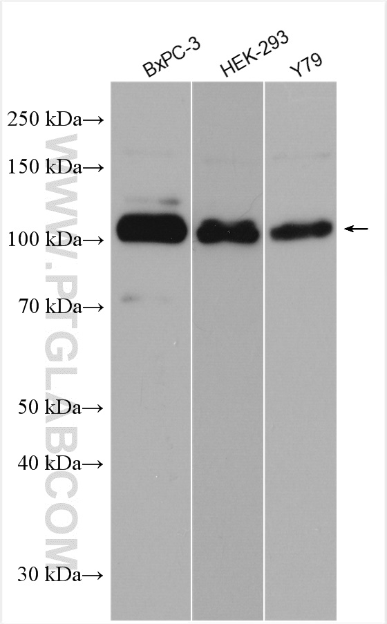
| Positive WB detected in | BxPC-3 cells, MCF-7 cells, HEK-293 cells, Y79 cells |
| Positive IHC detected in | human intrahepatic cholangiocarcinoma tissue Note: suggested antigen retrieval with TE buffer pH 9.0; (*) Alternatively, antigen retrieval may be performed with citrate buffer pH 6.0 |
| Positive IF/ICC detected in | BxPC-3 cells |
推荐稀释比
| 应用 | 推荐稀释比 |
|---|---|
| Western Blot (WB) | WB : 1:2000-1:14000 |
| Immunohistochemistry (IHC) | IHC : 1:50-1:500 |
| Immunofluorescence (IF)/ICC | IF/ICC : 1:50-1:500 |
| It is recommended that this reagent should be titrated in each testing system to obtain optimal results. | |
| Sample-dependent, Check data in validation data gallery. | |
发表文章中的应用
| WB | See 2 publications below |
产品信息
21243-1-AP targets EPS15R in WB, IHC, IF/ICC, ELISA applications and shows reactivity with human samples.
| 经测试应用 | WB, IHC, IF/ICC, ELISA Application Description |
| 文献引用应用 | WB |
| 经测试反应性 | human |
| 文献引用反应性 | human, pig |
| 免疫原 |
CatNo: Ag15735 Product name: Recombinant human EPS15L1 protein Source: e coli.-derived, PGEX-4T Tag: GST Domain: 351-597 aa of BC142716 Sequence: PQVLSPDMVPPSERGTPGPDSSGSLGSGEFTGVKELDDISQEIAQLQREKYSLEQDIREKEEAIRQKTSEVQELQNDLDRETSSLQELEAQKQDAQDRLDEMDQQKAKLRDMLSDVRQKCQDETQMISSLKTQIQSQESDLKSQEDDLNRAKSELNRLQQEETQLEQSIQAGRVQLETIIKSLKSTQDEINQARSKLSQLHESRQEAHRSLEQYDQVLDGAHGASLTDLANLSEGVSLAERGSFGAM 种属同源性预测 |
| 宿主/亚型 | Rabbit / IgG |
| 抗体类别 | Polyclonal |
| 产品类型 | Antibody |
| 全称 | epidermal growth factor receptor pathway substrate 15-like 1 |
| 别名 | EPS15L1, Eps15-related protein, Eps15 related protein, Epidermal growth factor receptor substrate 15-like 1 |
| 计算分子量 | 864 aa, 94 kDa |
| 观测分子量 | 94 kDa |
| GenBank蛋白编号 | BC142716 |
| 基因名称 | EPS15R |
| Gene ID (NCBI) | 58513 |
| RRID | AB_10733643 |
| 偶联类型 | Unconjugated |
| 形式 | Liquid |
| 纯化方式 | Antigen affinity purification |
| UNIPROT ID | Q9UBC2 |
| 储存缓冲液 | PBS with 0.02% sodium azide and 50% glycerol, pH 7.3. |
| 储存条件 | Store at -20°C. Stable for one year after shipment. Aliquoting is unnecessary for -20oC storage. |
背景介绍
EPS15R is a protein that belongs to the Eps15 family of proteins, which are known for their roles in intracellular trafficking, particularly in the regulation of endocytosis and vesicle formation. EPS15R, like other members of the Eps15 family, functions as a scaffolding adaptor protein and is involved in both secretion and endocytosis. It has been shown to bind to AP-1 and AP-2 complexes, inositol lipids, and several other proteins that are crucial for the regulation of intracellular trafficking. EPS15R is also implicated in the regulation of membrane morphology, which is essential for intracellular vesicle formation and trafficking . It has been detected in the nucleus of mammalian cells, and its activation through growth factor receptors induces tyrosine phosphorylation and mono-ubiquitination, although the specific roles of these post-translational modifications are not yet fully understood
实验方案
| Product Specific Protocols | |
|---|---|
| IF protocol for EPS15R antibody 21243-1-AP | Download protocol |
| IHC protocol for EPS15R antibody 21243-1-AP | Download protocol |
| WB protocol for EPS15R antibody 21243-1-AP | Download protocol |
| Standard Protocols | |
|---|---|
| Click here to view our Standard Protocols |
发表文章
| Species | Application | Title |
|---|---|---|
Emerg Microbes Infect CD1d facilitates African swine fever virus entry into the host cells via clathrin-mediated endocytosis |




