验证数据展示
产品信息
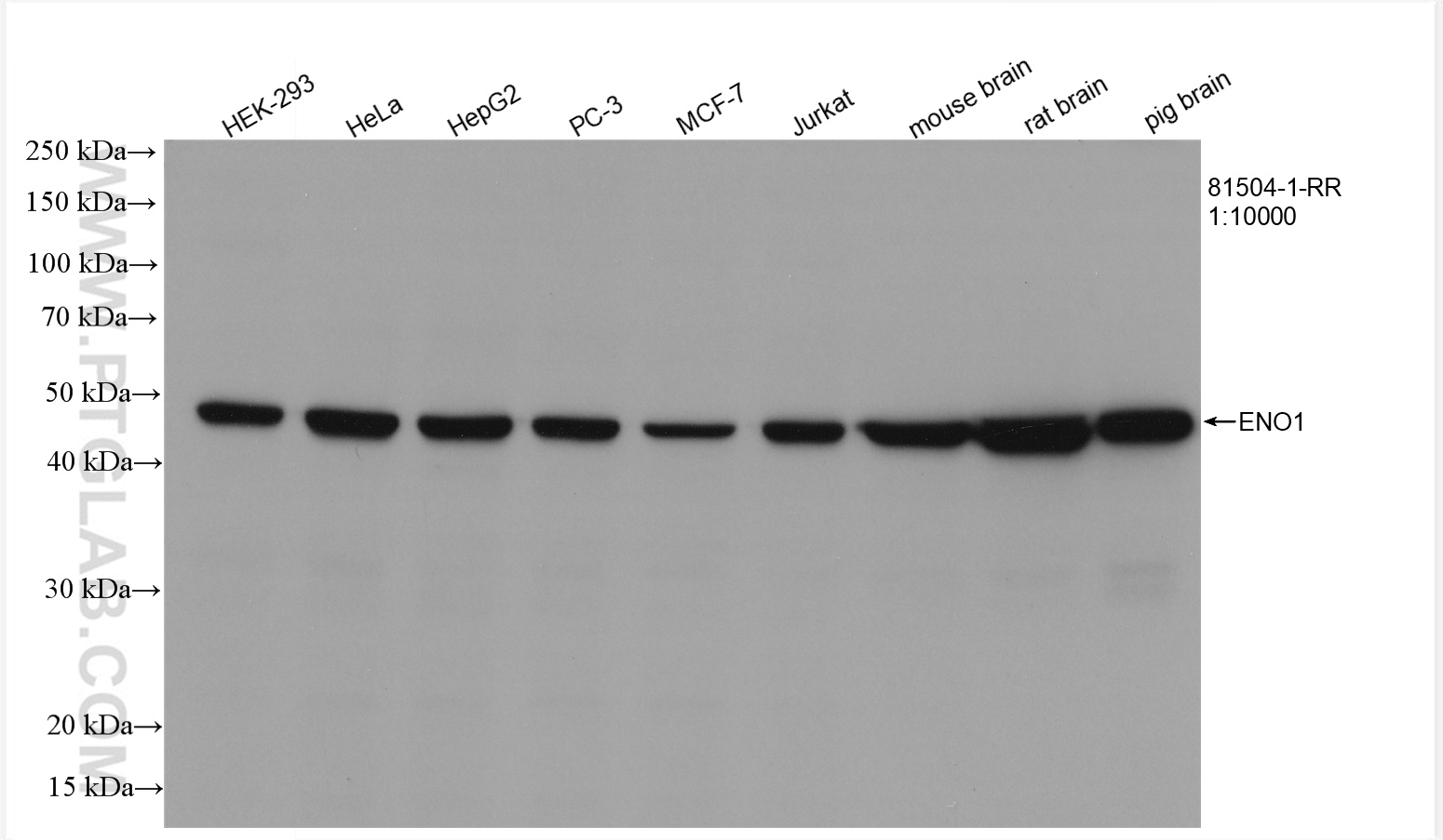
81504-1-PBS targets ENO1/2/3 in WB, IHC, IF/ICC, FC (Intra), Indirect ELISA applications and shows reactivity with human, mouse, rat, pig samples.
| 经测试应用 | WB, IHC, IF/ICC, FC (Intra), Indirect ELISA Application Description |
| 经测试反应性 | human, mouse, rat, pig |
| 免疫原 |
CatNo: Ag1692 Product name: Recombinant human ENO1 protein Source: e coli.-derived, PGEX-4T Tag: GST Domain: 2-434 aa of BC015641 Sequence: SILKIHAREIFDSRGNPTVEVDLFTSKGLFRAAVPSGASTGIYEALELRDNDKTRYMGKGVSKAVEHINKTIAPALVSKKLNVTEQEKIDKLMIEMDGTENKSKFGANAILGVSLAVCKAGAVEKGVPLYRHIADLAGNSEVILPVPAFNVINGGSHAGNKLAMQEFMILPVGAANFREAMRIGAEVYHNLKNVIKEKYGKDATNVGDEGGFAPNILENKEGLELLKTAIGKAGYTDKVVIGMDVAASEFFRSGKYDLDFKSPDDPSRYISPDQLADLYKSFIKDYPVVSIEDPFDQDDWGAWQKFTASAGIQVVGDDLTVTNPKRIAKAVNEKSCNCLLLKVNQIGSVTESLQACKLAQANGWGVMVSHRSGETEDTFIADLVVGLCTGQIKTGAPCRSERLAKYNQLLRIEEELGSKAKFAGRNFRNPLAK 种属同源性预测 |
| 宿主/亚型 | Rabbit / IgG |
| 抗体类别 | Recombinant |
| 产品类型 | Antibody |
| 全称 | enolase 1, (alpha) |
| 别名 | ENO1, 2-phospho-D-glycerate hydro-lyase, Alpha-enolase, C-myc promoter-binding protein, EC:4.2.1.11 |
| 计算分子量 | 47 kDa |
| 观测分子量 | 47 kDa |
| GenBank蛋白编号 | BC015641 |
| 基因名称 | ENO1 |
| Gene ID (NCBI) | 2023 |
| ENSEMBL Gene ID | ENSG00000074800 |
| RRID | AB_2935557 |
| 偶联类型 | Unconjugated |
| 形式 | Liquid |
| 纯化方式 | Protein A purification |
| UNIPROT ID | P06733 |
| 储存缓冲液 | PBS only, pH 7.3. |
| 储存条件 | Store at -80°C. The product is shipped with ice packs. Upon receipt, store it immediately at -80°C |
背景介绍
Enolase (ENO), also known as 2-phospho-D-glycerate hydrolase, is a metalloenzyme that catalyzes the dehydration of 2-phospho-D-glycerate into phosphoenolpyruvate in the glycolytic pathway. There are three different ENO isoforms in higher eukaryotes, including ENO1 or α-ENO, ENO2 or γ-ENO, and ENO3 or β-ENO. Furthermore, the expression of the different ENO isoforms is tissue specificity. ENO1 is expressed in almost all kinds of tissue, whereas ENO3 is restricted to muscle tissues and ENO2 is described as a neuron- and neuroendocrine tissue-specific enolase. ENO1 serves multifunctional roles in physiological and pathological processes. (PMID: 32256815). This antibody can recognize ENO1, ENO2, and ENO3.







