验证数据展示
经过测试的应用
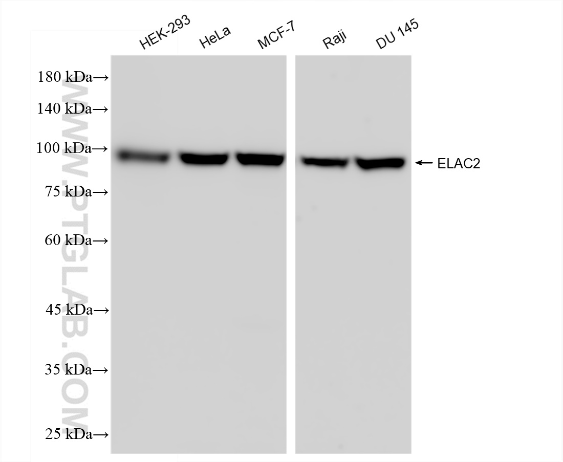
| Positive WB detected in | HEK-293 cells, MCF-7 cells, HeLa cells, Raji cells, DU 145 cells |
| Positive FC (Intra) detected in | A431 cells |
推荐稀释比
| 应用 | 推荐稀释比 |
|---|---|
| Western Blot (WB) | WB : 1:5000-1:50000 |
| Flow Cytometry (FC) (INTRA) | FC (INTRA) : 0.25 ug per 10^6 cells in a 100 µl suspension |
| It is recommended that this reagent should be titrated in each testing system to obtain optimal results. | |
| Sample-dependent, Check data in validation data gallery. | |
产品信息
83468-6-RR targets ELAC2 in WB, FC (Intra), ELISA applications and shows reactivity with human samples.
| 经测试应用 | WB, FC (Intra), ELISA Application Description |
| 经测试反应性 | human |
| 免疫原 |
CatNo: Ag0105 Product name: Recombinant human ELAC2 protein Source: e coli.-derived, PGEX-4T Tag: GST Domain: 86-385 aa of BC004158 Sequence: NCGEGVQRLMQEHKLKVARLDNIFLTRMHWSNVGGLSGMILTLKETGLPKCVLSGPPQLEKYLEAIKIFSGPLKGIELAVRPHSAPEYEDETMTVYQIPIHSEQRRGKHQPWQSPERPLSRLSPERSSDSELNENEPHLPHGVSQRRGVRDSSLVVAFICKLHLKRGNFLVLKAKEMGLPVGTAAIAPIIAAVKDGKSITHEGREILAEELCTPPDPGAAFVVVECPDESFIQPICENATFQRYQGKADAPVALVVHMAPASVLVDSRYQQWMERFGPDTQHLVLNENCASVHNLRSHKI 种属同源性预测 |
| 宿主/亚型 | Rabbit / IgG |
| 抗体类别 | Recombinant |
| 产品类型 | Antibody |
| 全称 | elaC homolog 2 (E. coli) |
| 别名 | 240487B6, EC:3.1.26.11, elaC homolog 2 (E. coli), ElaC homolog protein 2, ELC2 |
| 计算分子量 | 92 kDa |
| 观测分子量 | 97 kDa |
| GenBank蛋白编号 | BC004158 |
| 基因名称 | ELAC2 |
| Gene ID (NCBI) | 60528 |
| RRID | AB_3671098 |
| 偶联类型 | Unconjugated |
| 形式 | Liquid |
| 纯化方式 | Protein A purfication |
| UNIPROT ID | Q9BQ52 |
| 储存缓冲液 | PBS with 0.02% sodium azide and 50% glycerol, pH 7.3. |
| 储存条件 | Store at -20°C. Stable for one year after shipment. Aliquoting is unnecessary for -20oC storage. |
背景介绍
Putative prostate cancer susceptibility protein (ELAC2) is encoded by HPC2/ELAC2 gene. HPC2 is a potential prostate cancer predisposition gene playing a role in genetic susceptibility to prostate cancer.It is a zinc phosphodiesterase, which displays some tRNA 3'-processing endonuclease activity and probably involved in tRNA maturation, by removing a 3'-trailer from precursor tRNA.Defects in ELAC2 may be a cause of susceptibility to prostate cancer (PC).
实验方案
| Product Specific Protocols | |
|---|---|
| FC protocol for ELAC2 antibody 83468-6-RR | Download protocol |
| WB protocol for ELAC2 antibody 83468-6-RR | Download protocol |
| Standard Protocols | |
|---|---|
| Click here to view our Standard Protocols |



