验证数据展示
经过测试的应用
| Positive WB detected in | U2OS cells, HeLa cells, HEK-293 cells, HepG2 cells, Jurkat cells, HSC-T6 cells, NIH/3T3 cells, 4T1 cells, LNCaP cells, K-562 cells |
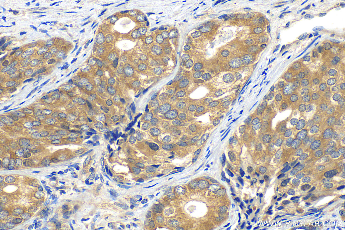
| Positive IHC detected in | human prostate cancer tissue, human breast cancer tissue Note: suggested antigen retrieval with TE buffer pH 9.0; (*) Alternatively, antigen retrieval may be performed with citrate buffer pH 6.0 |
| Positive IF/ICC detected in | HepG2 cells |
推荐稀释比
| 应用 | 推荐稀释比 |
|---|---|
| Western Blot (WB) | WB : 1:5000-1:50000 |
| Immunohistochemistry (IHC) | IHC : 1:250-1:1000 |
| Immunofluorescence (IF)/ICC | IF/ICC : 1:400-1:1600 |
| It is recommended that this reagent should be titrated in each testing system to obtain optimal results. | |
| Sample-dependent, Check data in validation data gallery. | |
发表文章中的应用
| KD/KO | See 1 publications below |
| WB | See 2 publications below |
| IHC | See 1 publications below |
产品信息
67428-1-Ig targets eIF4G2/DAP5 in WB, IHC, IF/ICC, ELISA applications and shows reactivity with human, mouse, rat samples.
| 经测试应用 | WB, IHC, IF/ICC, ELISA Application Description |
| 文献引用应用 | WB, IHC |
| 经测试反应性 | human, mouse, rat |
| 文献引用反应性 | human |
| 免疫原 |
CatNo: Ag12080 Product name: Recombinant human EIF4G2 protein Source: e coli.-derived, PET28a Tag: 6*His Domain: 563-907 aa of BC043149 Sequence: EAVNGVREMRAPKHFLPEMLSKVIILSLDRSDEDKEKASSLISLLKQEGIATSDNFMQAFLNVLDQCPKLEVDIPLVKSYLAQFAARAIISELVSISELAQPLESGTHFPLFLLCLQQLAKLQDREWLTELFQQSKVNMQKMLPEIDQNKDRMLEILEGKGLSFLFPLLKLEKELLKQIKLDPSPQTIYKWIKDNISPKLHVDKGFVNILMTSFLQYISSEVNPPSDETDSSSAPSKEQLEQEKQLLLSFKPVMQKFLHDHVDLQVSALYALQVHCYNSNFPKGMLLRFFVHFYDMEIIEEEAFLAWKEDITQEFPGKGKALFQVNQWLTWLETAEEEESEEEAD 种属同源性预测 |
| 宿主/亚型 | Mouse / IgG2a |
| 抗体类别 | Monoclonal |
| 产品类型 | Antibody |
| 全称 | eukaryotic translation initiation factor 4 gamma, 2 |
| 别名 | EIF4G2, 3C11A3, AAG1, DAP 5, DAP5 |
| 计算分子量 | 907 aa, 102 kDa |
| 观测分子量 | 97 kDa |
| GenBank蛋白编号 | BC043149 |
| 基因名称 | EIF4G2 |
| Gene ID (NCBI) | 1982 |
| RRID | AB_2882667 |
| 偶联类型 | Unconjugated |
| 形式 | Liquid |
| 纯化方式 | Protein A purification |
| UNIPROT ID | P78344 |
| 储存缓冲液 | PBS with 0.02% sodium azide and 50% glycerol, pH 7.3. |
| 储存条件 | Store at -20°C. Stable for one year after shipment. Aliquoting is unnecessary for -20oC storage. |
实验方案
| Product Specific Protocols | |
|---|---|
| IF protocol for eIF4G2/DAP5 antibody 67428-1-Ig | Download protocol |
| IHC protocol for eIF4G2/DAP5 antibody 67428-1-Ig | Download protocol |
| WB protocol for eIF4G2/DAP5 antibody 67428-1-Ig | Download protocol |
| Standard Protocols | |
|---|---|
| Click here to view our Standard Protocols |
发表文章
| Species | Application | Title |
|---|---|---|
Cell ERα is an RNA-binding protein sustaining tumor cell survival and drug resistance.
| ||
Autophagy CircRNA GRAMD4 induces NBR1 expression to promote autophagy and immune escape in renal cell carcinoma |







