验证数据展示
经过测试的应用
| Positive WB detected in | MCF-7 cells, HepG2 cells, Jurkat cells, NIH/3T3 cells, HSC-T6 cells, mouse brain tissue, PC-12 cells, rat brain tissue |
| Positive IP detected in | HepG2 cells |
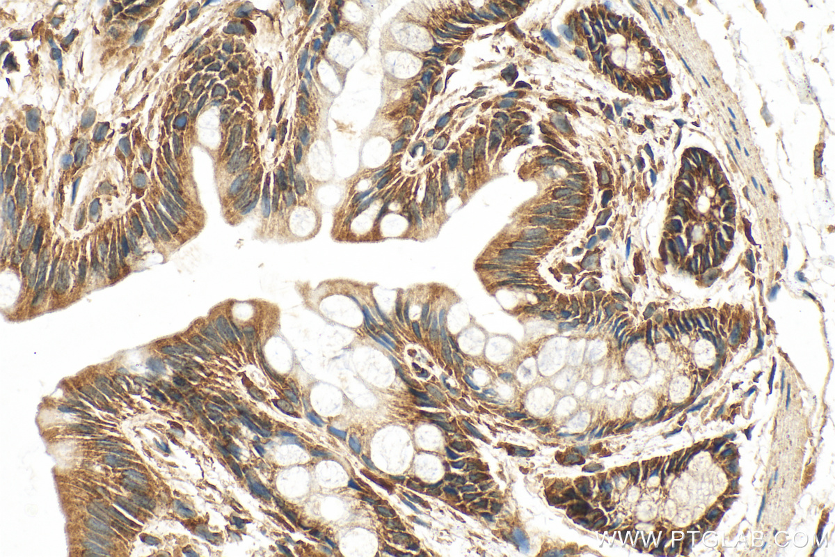
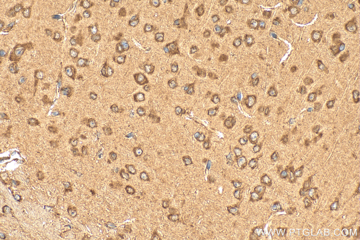
| Positive IHC detected in | rat colon tissue, mouse brain tissue Note: suggested antigen retrieval with TE buffer pH 9.0; (*) Alternatively, antigen retrieval may be performed with citrate buffer pH 6.0 |
| Positive IF/ICC detected in | HepG2 cells |
| Positive FC (Intra) detected in | MCF-7 cells |
推荐稀释比
| 应用 | 推荐稀释比 |
|---|---|
| Western Blot (WB) | WB : 1:5000-1:50000 |
| Immunoprecipitation (IP) | IP : 0.5-4.0 ug for 1.0-3.0 mg of total protein lysate |
| Immunohistochemistry (IHC) | IHC : 1:50-1:500 |
| Immunofluorescence (IF)/ICC | IF/ICC : 1:200-1:800 |
| Flow Cytometry (FC) (INTRA) | FC (INTRA) : 0.40 ug per 10^6 cells in a 100 µl suspension |
| It is recommended that this reagent should be titrated in each testing system to obtain optimal results. | |
| Sample-dependent, Check data in validation data gallery. | |
产品信息
11170-1-AP targets EIF2S1 in WB, IHC, IF/ICC, FC (Intra), IP, ELISA applications and shows reactivity with human, mouse, rat samples.
| 经测试应用 | WB, IHC, IF/ICC, FC (Intra), IP, ELISA Application Description |
| 文献引用应用 | WB, IHC, IF, IP |
| 经测试反应性 | human, mouse, rat |
| 文献引用反应性 | human, mouse, rat, pig, monkey, chicken, hamster |
| 免疫原 |
CatNo: Ag1645 Product name: Recombinant human EIF2S1 protein Source: e coli.-derived, PGEX-4T Tag: GST Domain: 1-315 aa of BC002513 Sequence: MPGLSCRFYQHKFPEVEDVVMVNVRSIAEMGAYVSLLEYNNIEGMILLSELSRRRIRSINKLIRIGRNECVVVIRVDKEKGYIDLSKRRVSPEEAIKCEDKFTKSKTVYSILRHVAEVLEYTKDEQLESLFQRTAWVFDDKYKRPGYGAYDAFKHAVSDPSILDSLDLNEDEREVLINNINRRLTPQAVKIRADIEVACYGYEGIDAVKEALRAGLNCSTENMPIKINLIAPPRYVMTTTTLERTEGLSVLSQAMAVIKEKIEEKRGVFNVQMEPKVVTDTDETELARQMERLERENAEVDGDDDAEEMEAKAED 种属同源性预测 |
| 宿主/亚型 | Rabbit / IgG |
| 抗体类别 | Polyclonal |
| 产品类型 | Antibody |
| 全称 | eukaryotic translation initiation factor 2, subunit 1 alpha, 35kDa |
| 别名 | EIF2S1/EIF2A, EIF 2, eIF 2 alpha, EIF 2A, EIF 2alpha |
| 计算分子量 | 36 kDa |
| 观测分子量 | 36 kDa |
| GenBank蛋白编号 | BC002513 |
| 基因名称 | EIF2S1 |
| Gene ID (NCBI) | 1965 |
| RRID | AB_2096489 |
| 偶联类型 | Unconjugated |
| 形式 | Liquid |
| 纯化方式 | Antigen affinity purification |
| UNIPROT ID | P05198 |
| 储存缓冲液 | PBS with 0.02% sodium azide and 50% glycerol, pH 7.3. |
| 储存条件 | Store at -20°C. Stable for one year after shipment. Aliquoting is unnecessary for -20oC storage. |
背景介绍
EIF2S1 is one subunit of the translation initiation factor EIF2, which catalyzes the first regulated step of protein synthesis initiation, promoting the binding of the initiator tRNA to 40S ribosomal subunits. This complex binds to a 40S ribosomal subunit, followed by mRNA binding to form a 43S preinitiation complex. Junction of the 60S ribosomal subunit to form the 80S initiation complex is preceded by hydrolysis of the GTP bound to eIF-2 and release of an eIF-2-GDP binary complex. In order for eIF-2 to recycle and catalyze another round of initiation, the GDP bound to eIF-2 must exchange with GTP by way of a reaction catalyzed by eIF-2B. EIF2A (Gene ID: 83939) and EIF2S1 (Gene ID: 1965) share the EIF2A symbol/alias in common. EIF2S1 is the alpha subunit of the eIF2 translation initiation complex. Although both of these proteins function in binding initiator tRNA to the 40S ribosomal subunit, the EIF2A protein does so in a codon-dependent manner, whereas eIF2 complex requires GTP.
实验方案
| Product Specific Protocols | |
|---|---|
| FC protocol for EIF2S1 antibody 11170-1-AP | Download protocol |
| IF protocol for EIF2S1 antibody 11170-1-AP | Download protocol |
| IHC protocol for EIF2S1 antibody 11170-1-AP | Download protocol |
| IP protocol for EIF2S1 antibody 11170-1-AP | Download protocol |
| WB protocol for EIF2S1 antibody 11170-1-AP | Download protocol |
| Standard Protocols | |
|---|---|
| Click here to view our Standard Protocols |
发表文章
| Species | Application | Title |
|---|---|---|
J Hematol Oncol METTL16 promotes liver cancer stem cell self-renewal via controlling ribosome biogenesis and mRNA translation | ||
Mol Cell Mitochondrial DNA breaks activate an integrated stress response to reestablish homeostasis | ||
Sci Adv EIF3D safeguards the homeostasis of key signaling pathways in human primed pluripotency | ||
J Immunother Cancer Loss of ADAR1 in macrophages in combination with interferon gamma suppresses tumor growth by remodeling the tumor microenvironment | ||
Mol Cancer Exosomal circSHKBP1 promotes gastric cancer progression via regulating the miR-582-3p/HUR/VEGF axis and suppressing HSP90 degradation. | ||
Redox Biol Mecheliolide elicits ROS-mediated ERS driven immunogenic cell death in hepatocellular carcinoma. |











