验证数据展示
经过测试的应用
| Positive WB detected in | HeLa cells, MDA-MB-231 cells, A549 cells, mouse heart tissue, rat heart tissue |
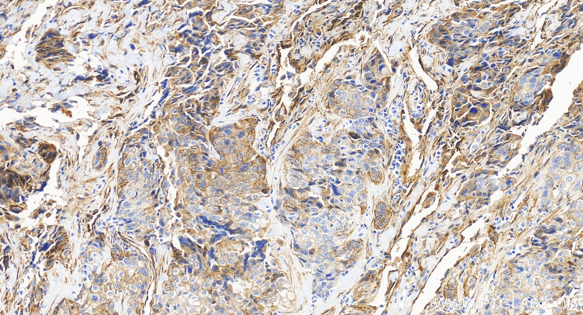
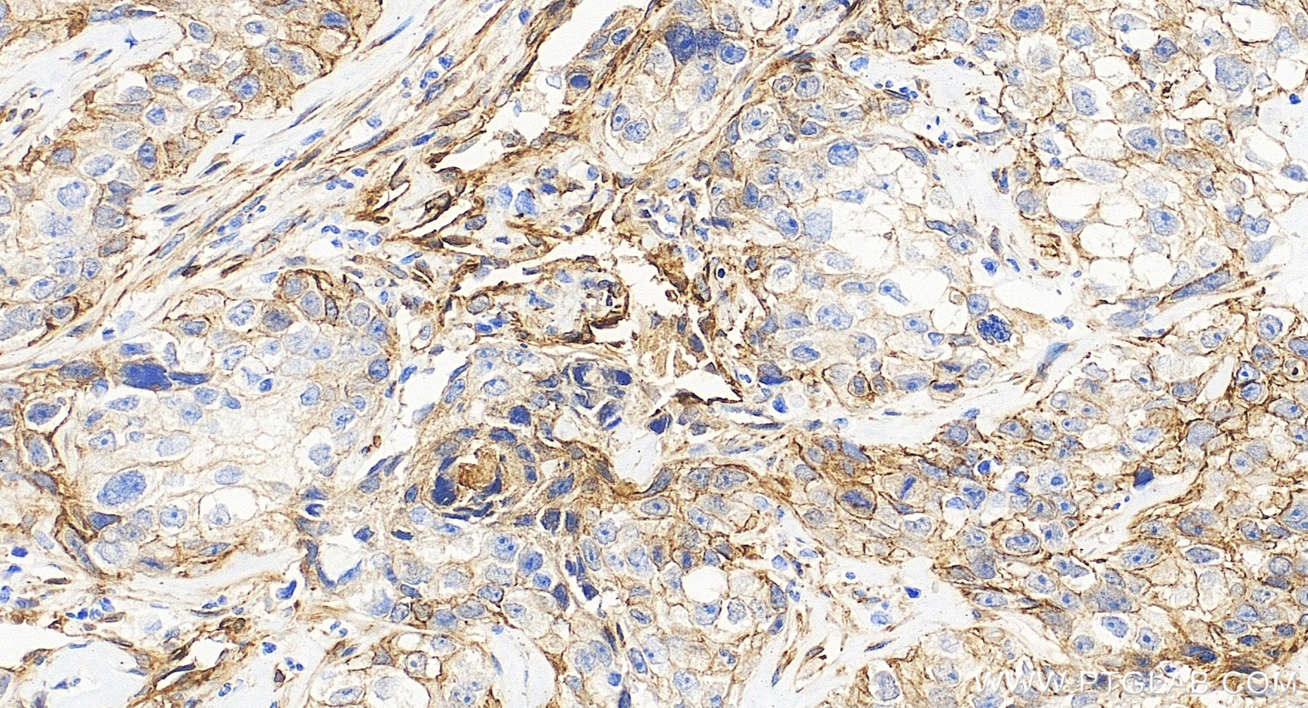
| Positive IHC detected in | human ovary cancer tissue Note: suggested antigen retrieval with TE buffer pH 9.0; (*) Alternatively, antigen retrieval may be performed with citrate buffer pH 6.0 |
| Positive IF/ICC detected in | A549 cells |
| Positive FC (Intra) detected in | A431 cells |
推荐稀释比
| 应用 | 推荐稀释比 |
|---|---|
| Western Blot (WB) | WB : 1:5000-1:50000 |
| Immunohistochemistry (IHC) | IHC : 1:250-1:1000 |
| Immunofluorescence (IF)/ICC | IF/ICC : 1:200-1:800 |
| Flow Cytometry (FC) (INTRA) | FC (INTRA) : 0.25 ug per 10^6 cells in a 100 µl suspension |
| It is recommended that this reagent should be titrated in each testing system to obtain optimal results. | |
| Sample-dependent, Check data in validation data gallery. | |
产品信息
85604-4-RR targets EHD2 in WB, IHC, IF/ICC, FC (Intra), ELISA applications and shows reactivity with human, mouse, rat samples.
| 经测试应用 | WB, IHC, IF/ICC, FC (Intra), ELISA Application Description |
| 经测试反应性 | human, mouse, rat |
| 免疫原 |
CatNo: Ag2002 Product name: Recombinant human EHD2 protein Source: e coli.-derived, PGEX-4T Tag: GST Domain: 194-543 aa of BC014445 Sequence: LEISDEFSEAIGALRGHEDKIRVVLNKADMVETQQLMRVYGALMWALGKVVGTPEVLRVYIGSFWSQPLLVPDNRRLFELEEQDLFRDIQGLPRHAALRKLNDLVKRARLVRVHAYIISYLKKEMPSVFGKENKKKQLILKLPVIFAKIQLEHHISPGDFPDCQKMQELLMAHDFTKFHSLKPKLLEALDEMLTHDIAKLMPLLRQEELESTEVGVQGGAFEGTHMGPFVERGPDEAMEDGEEGSDDEAEWVVTKDKSKYDEIFYNLAPADGKLSGSKAKTWMVGTKLPNSVLGRIWKLSDVDRDGMLDDEEFALASHLIEAKLEGHGLPANLPRRLVPPSKRRHKGSAE 种属同源性预测 |
| 宿主/亚型 | Rabbit / IgG |
| 抗体类别 | Recombinant |
| 产品类型 | Antibody |
| 全称 | EH-domain containing 2 |
| 别名 | EH domain containing 2, EH domain containing protein 2, EH domain-containing protein 2, PAST homolog 2, PAST2 |
| 计算分子量 | 543 aa, 61 kDa |
| 观测分子量 | 61 kDa |
| GenBank蛋白编号 | BC014445 |
| 基因名称 | EHD2 |
| Gene ID (NCBI) | 30846 |
| 偶联类型 | Unconjugated |
| 形式 | Liquid |
| 纯化方式 | Protein A purification |
| UNIPROT ID | Q9NZN4 |
| 储存缓冲液 | PBS with 0.02% sodium azide and 50% glycerol, pH 7.3. |
| 储存条件 | Store at -20°C. Stable for one year after shipment. Aliquoting is unnecessary for -20oC storage. |
背景介绍
EH domain-containing protein 2 (EHD2) is a member of the EHD protein family. It is primarily located in the plasma membrane but can also be found in the cytoplasm and endosomes. EHD2 is also a nuclear-cytoplasmic shuttle protein, acting as a corepressor of transcription to inhibit gene transcription when it enters the cell nucleus. EHD2 is a dynamin-related ATPase that plays a key role in regulating a series of biological processes. As a crucial regulator of endocytic transport, it is involved in the formation and maintenance of endosomal tubules and vesicles, which are vital for intracellular transport of proteins and other substances. EHD2 has been implicated in several human cancers and has potential as a predictive biomarker of chemotherapy efficacy.
实验方案
| Product Specific Protocols | |
|---|---|
| FC protocol for EHD2 antibody 85604-4-RR | Download protocol |
| IF protocol for EHD2 antibody 85604-4-RR | Download protocol |
| IHC protocol for EHD2 antibody 85604-4-RR | Download protocol |
| WB protocol for EHD2 antibody 85604-4-RR | Download protocol |
| Standard Protocols | |
|---|---|
| Click here to view our Standard Protocols |






