验证数据展示
经过测试的应用
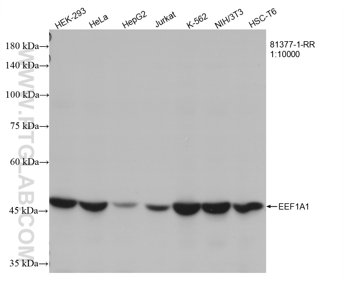
| Positive WB detected in | HEK-293 cells, HepG2 cells, HeLa cells, Jurkat cells, K-562 cells, NIH/3T3 cells, HSC-T6 cells | 
| Positive IP detected in | HeLa cells | 
| Positive IHC detected in | mouse brain tissue, human pancreas cancer tissue,  human colon tissue Note: suggested antigen retrieval with TE buffer pH 9.0; (*) Alternatively, antigen retrieval may be performed with citrate buffer pH 6.0 | 
| Positive IF/ICC detected in | HepG2 cells | 
推荐稀释比
| 应用 | 推荐稀释比 | 
|---|---|
| Western Blot (WB) | WB : 1:5000-1:50000 | 
| Immunoprecipitation (IP) | IP : 0.5-4.0 ug for 1.0-3.0 mg of total protein lysate | 
| Immunohistochemistry (IHC) | IHC : 1:250-1:1000 | 
| Immunofluorescence (IF)/ICC | IF/ICC : 1:200-1:800 | 
| It is recommended that this reagent should be titrated in each testing system to obtain optimal results. | |
| Sample-dependent, Check data in validation data gallery. | |
产品信息
81377-1-RR targets EEF1A1 in WB, IHC, IF/ICC, IP, ELISA applications and shows reactivity with human, mouse, rat samples.
| 经测试应用 | WB, IHC, IF/ICC, IP, ELISA Application Description | 
| 经测试反应性 | human, mouse, rat | 
| 免疫原 | CatNo: Ag1938 Product name: Recombinant human EEF1A1 protein Source: e coli.-derived, PGEX-4T Tag: GST Domain: 144-462 aa of BC014224 Sequence: GVKQLIVGVNKMDSTEPPYSQKRYEEIVKEVSTYIKKIGYNPDTVAFVPISGWNGDNMLEPSANMPWFKGWKVTRKDGNASGTTLLEALDCILPPTRPTDKPLRLPLQDVYKIGGIGTVPVGRVETGVLKPGMVVTFAPVNVTTEVKSVEMHHEALSEALPGDNVGFNVKNVSVKDVRRGNVAGDSKNDPPMEAAGFTAQVIILNHPGQISAGYAPVLDCHTAHIACKFAELKEKIDRRSGKKLEDGPKFLKSGDAAIVDMVPGKPMCVESFSDYPPLGRFAVRDMRQTVAVGVIKAVDKKAAGAGKVTKSAQKAQKAK种属同源性预测 | 
| 宿主/亚型 | Rabbit / IgG | 
| 抗体类别 | Recombinant | 
| 产品类型 | Antibody | 
| 全称 | eukaryotic translation elongation factor 1 alpha 1 | 
| 别名 | EEF1A, EEF 1, EC:3.6.5.-, CCS3, CCS 3 | 
| 计算分子量 | 462 aa, 50 kDa | 
| 观测分子量 | 50 kDa | 
| GenBank蛋白编号 | BC014224 | 
| 基因名称 | EEF1A1 | 
| Gene ID (NCBI) | 1915 | 
| RRID | AB_2935549 | 
| 偶联类型 | Unconjugated | 
| 形式 | Liquid | 
| 纯化方式 | Protein A purification | 
| UNIPROT ID | P68104 | 
| 储存缓冲液 | PBS with 0.02% sodium azide and 50% glycerol, pH 7.3. | 
| 储存条件 | Store at -20°C. Stable for one year after shipment. Aliquoting is unnecessary for -20oC storage. | 
背景介绍
EEF1A1, also named as EEF1A, EF1A and LENG7, belongs to the GTP-binding elongation factor family. This protein promotes the GTP-dependent binding of aminoacyl-tRNA to the A-site of ribosomes during protein biosynthesis.1 It is a typical housekeeping gene product required for the maintenance of cell proliferation and/or survival. In addition, EEF1A1 protects the aminoester bond against hydrolysis until a correct match between the codon on mRNA and the anti-codon on tRNA can be achieved.
实验方案
| Product Specific Protocols | |
|---|---|
| IF protocol for EEF1A1 antibody 81377-1-RR | Download protocol | 
| IHC protocol for EEF1A1 antibody 81377-1-RR | Download protocol | 
| IP protocol for EEF1A1 antibody 81377-1-RR | Download protocol | 
| WB protocol for EEF1A1 antibody 81377-1-RR | Download protocol | 
| Standard Protocols | |
|---|---|
| Click here to view our Standard Protocols | 











