验证数据展示
经过测试的应用
| Positive WB detected in | A549 cells, MCF-7 cells, Raji cells | 
| Positive IP detected in | Raji cells | 
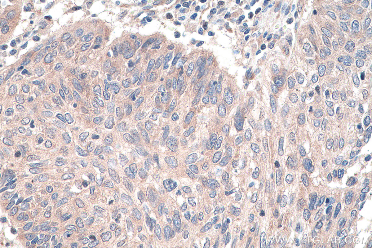
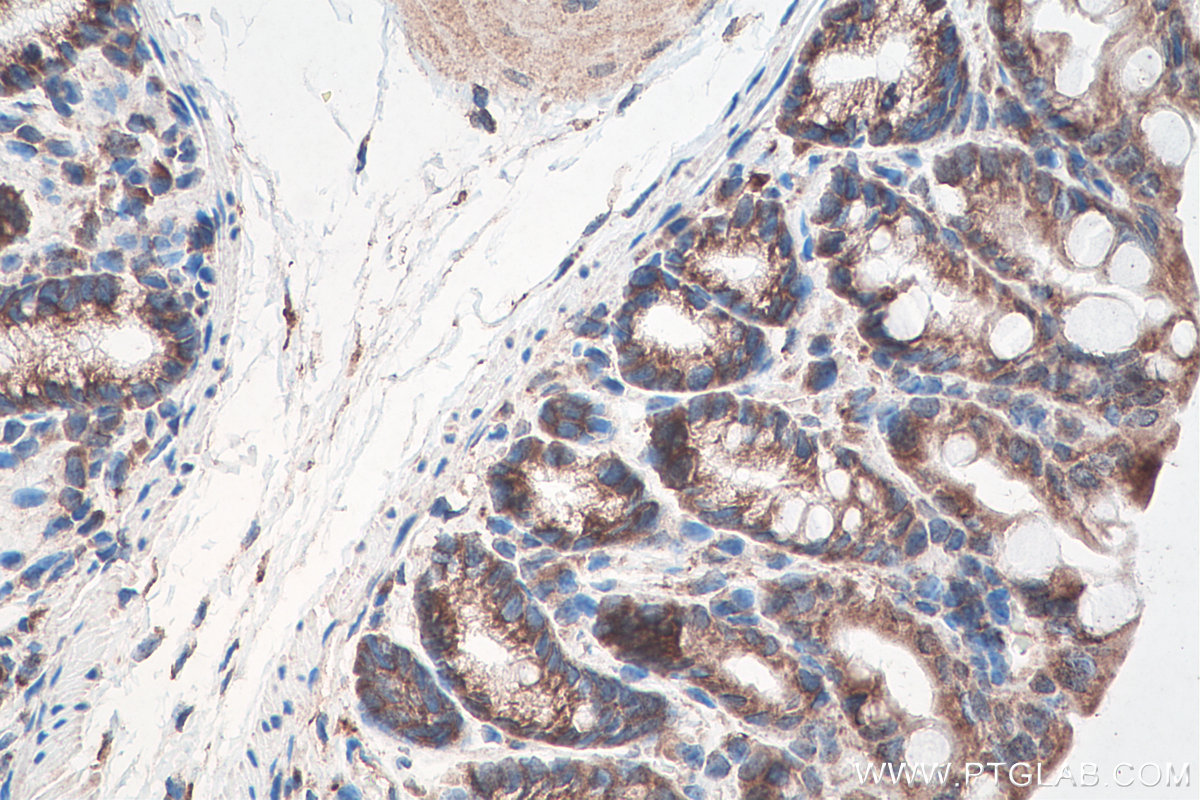
| Positive IHC detected in | human colon cancer tissue, human prostate cancer tissue,  mouse colon tissue,  human cervical cancer tissue Note: suggested antigen retrieval with TE buffer pH 9.0; (*) Alternatively, antigen retrieval may be performed with citrate buffer pH 6.0  | 
| Positive IF/ICC detected in | HeLa cells | 
推荐稀释比
| 应用 | 推荐稀释比 | 
|---|---|
| Western Blot (WB) | WB : 1:2000-1:6000 | 
| Immunoprecipitation (IP) | IP : 0.5-4.0 ug for 1.0-3.0 mg of total protein lysate | 
| Immunohistochemistry (IHC) | IHC : 1:500-1:2000 | 
| Immunofluorescence (IF)/ICC | IF/ICC : 1:50-1:500 | 
| It is recommended that this reagent should be titrated in each testing system to obtain optimal results. | |
| Sample-dependent, Check data in validation data gallery. | |
产品信息
13444-1-AP targets DVL3 in WB, IHC, IF/ICC, IP, ELISA applications and shows reactivity with human, mouse samples.
| 经测试应用 | WB, IHC, IF/ICC, IP, ELISA Application Description | 
| 文献引用应用 | WB, IHC, IF, IP | 
| 经测试反应性 | human, mouse | 
| 文献引用反应性 | human, mouse, xenopus | 
| 免疫原 | 
                                             CatNo: Ag4272 Product name: Recombinant human DVL3 protein Source: e coli.-derived, PGEX-4T Tag: GST Domain: 1-319 aa of BC032459 Sequence: MGETKIIYHLDGQETPYLVKLPLPAERVTLADFKGVLQRPSYKFFFKSMDDDFGVVKEEISDDNAKLPCFNGRVVSWLVSAEGSHPDPAPFCADNPSELPPPMERTGGIGDSRPPSFHPHAGGGSQENLDNDTETDSLVSAQRERPRRRDGPEHATRLNGTAKGERRREPGGYDSSSTLMSSELETTSFFDSDEDDSTSRFSSSTEQSSASRLMRRHKRRRRKQKVSRIERSSSFSSITDSTMSLNIITVTLNMEKYNFLGISIVGQSNERGDGGIYIGSIMKGGAVAADGRIEPGDMLLQVNEINFENMSNDDAVRVL 种属同源性预测 | 
                                    
| 宿主/亚型 | Rabbit / IgG | 
| 抗体类别 | Polyclonal | 
| 产品类型 | Antibody | 
| 全称 | dishevelled, dsh homolog 3 (Drosophila) | 
| 别名 | Dishevelled 3, Segment polarity protein dishevelled homolog DVL-3, KIAA0208, DSH homolog 3, Dishevelled-3 | 
| 计算分子量 | 716 aa, 78 kDa | 
| 观测分子量 | 78 kDa | 
| GenBank蛋白编号 | BC032459 | 
| 基因名称 | DVL3 | 
| Gene ID (NCBI) | 1857 | 
| RRID | AB_2093451 | 
| 偶联类型 | Unconjugated | 
| 形式 | Liquid | 
| 纯化方式 | Antigen affinity purification | 
| UNIPROT ID | Q92997 | 
| 储存缓冲液 | PBS with 0.02% sodium azide and 50% glycerol, pH 7.3. | 
| 储存条件 | Store at -20°C. Stable for one year after shipment. Aliquoting is unnecessary for -20oC storage. | 
实验方案
| Product Specific Protocols | |
|---|---|
| IF protocol for DVL3 antibody 13444-1-AP | Download protocol | 
| IHC protocol for DVL3 antibody 13444-1-AP | Download protocol | 
| IP protocol for DVL3 antibody 13444-1-AP | Download protocol | 
| WB protocol for DVL3 antibody 13444-1-AP | Download protocol | 
| Standard Protocols | |
|---|---|
| Click here to view our Standard Protocols | 
发表文章
| Species | Application | Title | 
|---|---|---|
J Cell Biol Developmentally regulated GTP-binding protein 1 modulates ciliogenesis via an interaction with Dishevelled. | ||
J Cell Biol Wnts regulate planar cell polarity via heterotrimeric G protein and PI3K signaling. | ||
Oncogene The Wnt/β-catenin/VASP positive feedback loop drives cell proliferation and migration in breast cancer. | ||
Cancer Lett SOX2 promotes tumor metastasis by stimulating epithelial-to-mesenchymal transition via regulation of WNT/β-catenin signal network. | ||
Oncotarget Dalbinol, a rotenoid from Amorpha fruticosa L., exerts anti-proliferative activity by facilitating β-catenin degradation in hepatocellular carcinoma cells. | ||
Biol Proced Online Circadian gene CSNK1D promoted the progression of hepatocellular carcinoma by activating Wnt/β-catenin pathway via stabilizing Dishevelled Segment Polarity Protein 3 | 












