验证数据展示
经过测试的应用
| Positive WB detected in | Jurkat cells |
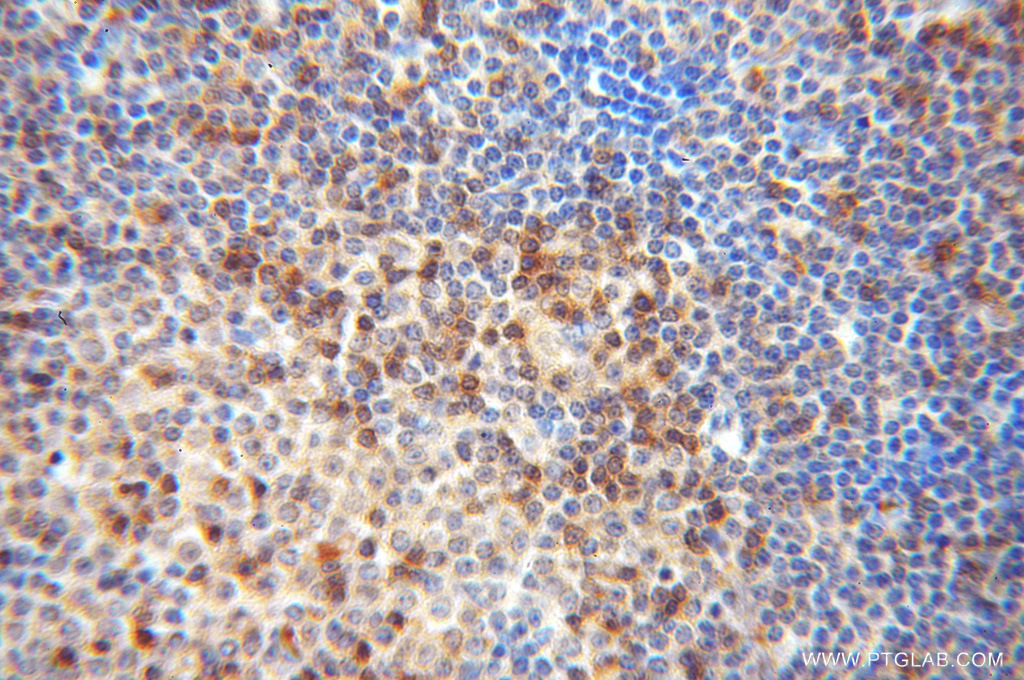
| Positive IHC detected in | human lymphoma tissue Note: suggested antigen retrieval with TE buffer pH 9.0; (*) Alternatively, antigen retrieval may be performed with citrate buffer pH 6.0 |
推荐稀释比
| 应用 | 推荐稀释比 |
|---|---|
| Western Blot (WB) | WB : 1:500-1:2400 |
| Immunohistochemistry (IHC) | IHC : 1:20-1:200 |
| It is recommended that this reagent should be titrated in each testing system to obtain optimal results. | |
| Sample-dependent, Check data in validation data gallery. | |
发表文章中的应用
| IHC | See 1 publications below |
产品信息
14087-1-AP targets DOK2 in WB, IHC, ELISA applications and shows reactivity with human, mouse, rat samples.
| 经测试应用 | WB, IHC, ELISA Application Description |
| 文献引用应用 | IHC |
| 经测试反应性 | human, mouse, rat |
| 文献引用反应性 | human |
| 免疫原 |
CatNo: Ag5218 Product name: Recombinant human DOK2 protein Source: e coli.-derived, PGEX-4T Tag: GST Domain: 1-412 aa of BC032623 Sequence: MGDGAVKQGFLYLQQQQTFGKKWRRFGASLYGGSDCALARLELQEGPEKPRRCEAARKVIRLSDCLRVAEAGGEASSPRDTSAFFLETKERLYLLAAPAAERGDWVQAICLLAFPGQRKELSGPEGKQSRPCMEENELYSSAVTVGPHKEFAVTMRPTEASERCHLRGSYTLRAGESALELWGGPEPGTQLYDWPYRFLRRFGRDKVTFSFEAGRRCVSGEGNFEFETRQGNEIFLALEEAISAQKNAAPATPQPQPATIPASLPRPDSPYSRPHDSLPPPSPTTPVPAPRPRGQEGEYAVPFDAVARSLGKNFRGILAVPPQLLADPLYDSIEETLPPRPDHIYDEPEGVAALSLYDSPQEPRGEAWRRQATADRDPAGLQHVQPAGQDFSASGWQPGTEYDNVVLKKGPK 种属同源性预测 |
| 宿主/亚型 | Rabbit / IgG |
| 抗体类别 | Polyclonal |
| 产品类型 | Antibody |
| 全称 | docking protein 2, 56kDa |
| 别名 | Docking protein 2, docking protein 2, 56kDa, DOK2, p56(dok 2), p56DOK, p56dok 2 |
| 计算分子量 | 412 aa, 45 kDa |
| 观测分子量 | 56 kDa |
| GenBank蛋白编号 | BC032623 |
| 基因名称 | DOK2 |
| Gene ID (NCBI) | 9046 |
| RRID | AB_2230792 |
| 偶联类型 | Unconjugated |
| 形式 | Liquid |
| 纯化方式 | Antigen affinity purification |
| UNIPROT ID | O60496 |
| 储存缓冲液 | PBS with 0.02% sodium azide and 50% glycerol, pH 7.3. |
| 储存条件 | Store at -20°C. Stable for one year after shipment. Aliquoting is unnecessary for -20oC storage. |
背景介绍
Docking protein 2 (Dok2) is an adapter protein which is involved in hematopoiesis. Dok2 is able to control Klf1 expression by transcriptional regulation through directly binding to its promoter region (PMID: 25075100).
实验方案
| Product Specific Protocols | |
|---|---|
| IHC protocol for DOK2 antibody 14087-1-AP | Download protocol |
| WB protocol for DOK2 antibody 14087-1-AP | Download protocol |
| Standard Protocols | |
|---|---|
| Click here to view our Standard Protocols |


