验证数据展示
经过测试的应用
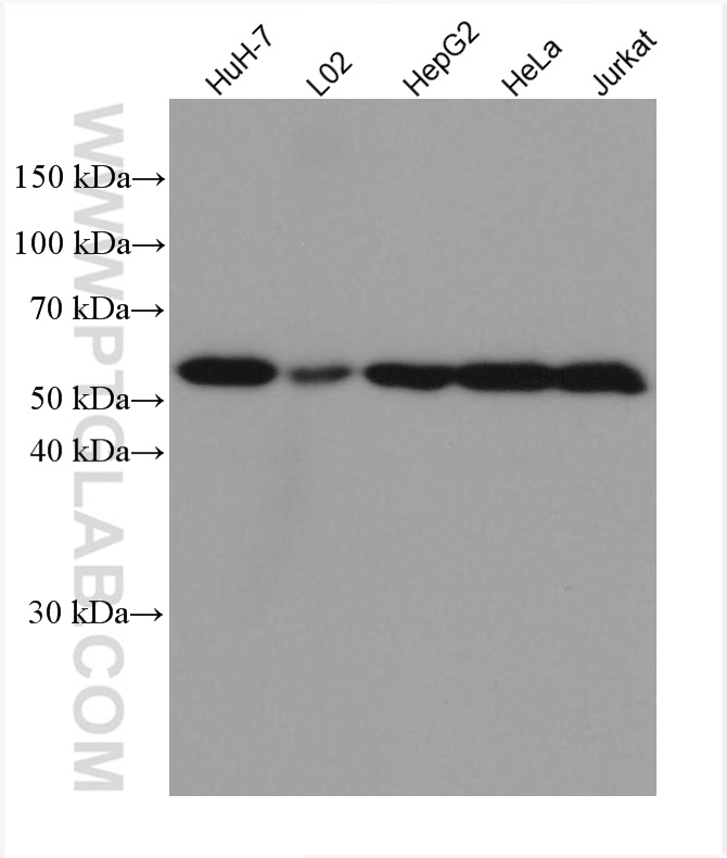
| Positive WB detected in | HuH-7 cells, NIH/3T3 cells, HSC-T6 cells, HeLa cells, L02 cells, HepG2 cells, Jurkat cells |
| Positive IHC detected in | human liver cancer tissue Note: suggested antigen retrieval with TE buffer pH 9.0; (*) Alternatively, antigen retrieval may be performed with citrate buffer pH 6.0 |
推荐稀释比
| 应用 | 推荐稀释比 |
|---|---|
| Western Blot (WB) | WB : 1:2000-1:10000 |
| Immunohistochemistry (IHC) | IHC : 1:250-1:1000 |
| It is recommended that this reagent should be titrated in each testing system to obtain optimal results. | |
| Sample-dependent, Check data in validation data gallery. | |
发表文章中的应用
| IHC | See 1 publications below |
产品信息
67702-1-Ig targets DLD in WB, IHC, ELISA applications and shows reactivity with human, mouse, rat samples.
| 经测试应用 | WB, IHC, ELISA Application Description |
| 文献引用应用 | IHC |
| 经测试反应性 | human, mouse, rat |
| 文献引用反应性 | human |
| 免疫原 |
CatNo: Ag9680 Product name: Recombinant human DLD protein Source: e coli.-derived, PET28a Tag: 6*His Domain: 160-509 aa of BC018696 Sequence: NQVTATKADGGTQVIDTKNILIATGSEVTPFPGITIDEDTIVSSTGALSLKKVPEKMVVIGAGVIGVELGSVWQRLGADVTAVEFLGHVGGVGIDMEISKNFQRILQKQGFKFKLNTKVTGATKKSDGKIDVSIEAASGGKAEVITCDVLLVCIGRRPFTKNLGLEELGIELDPRGRIPVNTRFQTKIPNIYAIGDVVAGPMLAHKAEDEGIICVEGMAGGAVHIDYNCVPSVIYTHPEVAWVGKSEEQLKEEGIEYKVGKFPFAANSRAKTNADTDGMVKILGQKSTDRVLGAHILGPGAGEMVNEAALALEYGASCEDIARVCHAHPTLSEAFREANLAASFGKSINF 种属同源性预测 |
| 宿主/亚型 | Mouse / IgG1 |
| 抗体类别 | Monoclonal |
| 产品类型 | Antibody |
| 全称 | dihydrolipoamide dehydrogenase |
| 别名 | 2E7G5, DLDH, EC:1.8.1.4, GCSL, LAD |
| 计算分子量 | 509 aa, 54 kDa |
| 观测分子量 | 54 kDa |
| GenBank蛋白编号 | BC018696 |
| 基因名称 | DLD |
| Gene ID (NCBI) | 1738 |
| RRID | AB_2882894 |
| 偶联类型 | Unconjugated |
| 形式 | Liquid |
| 纯化方式 | Protein G purification |
| UNIPROT ID | P09622 |
| 储存缓冲液 | PBS with 0.02% sodium azide and 50% glycerol, pH 7.3. |
| 储存条件 | Store at -20°C. Stable for one year after shipment. Aliquoting is unnecessary for -20oC storage. |
背景介绍
DLD(Dihydrolipoyl dehydrogenase, mitochondrial) is also named as GCSL, LAD, PHE3 and belongs to the class-I pyridine nucleotide-disulfide oxidoreductase family. It catalyzes the oxidation of dihydrolipoamide, hE3 uses two molecules : non-covalently bound FAD and a transiently bound substrate, NAD+. DLD is involved in the hyperactivation of spermatazoa during capacitation and in the spermatazoal acrosome reaction.
实验方案
| Product Specific Protocols | |
|---|---|
| IHC protocol for DLD antibody 67702-1-Ig | Download protocol |
| WB protocol for DLD antibody 67702-1-Ig | Download protocol |
| Standard Protocols | |
|---|---|
| Click here to view our Standard Protocols |





