验证数据展示
产品信息
86667-2-PBS targets DDRGK1 as part of a matched antibody pair:
MP02579-1: 86667-2-PBS capture and 86667-1-PBS detection (validated in Cytometric bead array)
Unconjugated rabbit recombinant monoclonal antibody in PBS only (BSA and azide free) storage buffer at a concentration of 1 mg/mL, ready for conjugation. Created using Proteintech’s proprietary in-house recombinant technology. Recombinant production enables unrivalled batch-to-batch consistency, easy scale-up, and future security of supply.
This conjugation ready format makes antibodies ideal for use in many applications including: ELISAs, multiplex assays requiring matched pairs, mass cytometry, and multiplex imaging applications.Antibody use should be optimized by the end user for each application and assay.
| 经测试应用 | WB, IF/ICC, Cytometric bead array, Indirect ELISA Application Description |
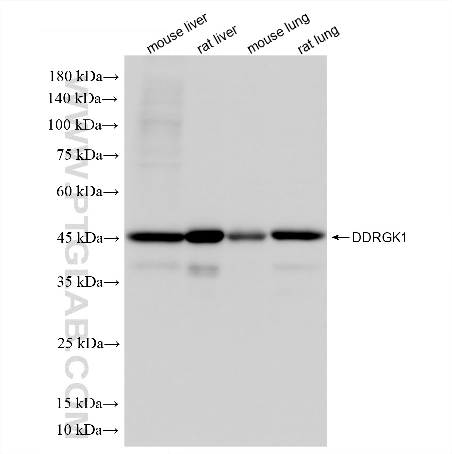
| 经测试反应性 | human, mouse, rat |
| 免疫原 |
CatNo: Ag13742 Product name: Recombinant human DDRGK1 protein Source: e coli.-derived, PGEX-4T Tag: GST Domain: 1-314 aa of BC000643 Sequence: MVAPVWYLVAAALLVGFILFLTRSRGRAASAGQEPLHNEELAGAGRVAQPGPLEPEEPRAGGRPRRRRDLGSRLQAQRRAQRVAWAEADENEEEAVILAQEEEGVEKPAETHLSGKIGAKKLRKLEEKQARKAQREAEEAEREERKRLESQREAEWKKEEERLRLEEEQKEEEERKAREEQAQREHEEYLKLKEAFVVEEEGVGETMTEEQSQSFLTEFINYIKQSKVVLLEDLASQVGLRTQDTINRIQDLLAEGTITGVIDDRGKFIYITPEELAAVANFIRQRGRVSIAELAQASNSLIAWGRESPAQAPA 种属同源性预测 |
| 宿主/亚型 | Rabbit / IgG |
| 抗体类别 | Recombinant |
| 产品类型 | Antibody |
| 全称 | DDRGK domain containing 1 |
| 别名 | C20orf116, Dashurin, DDRGK domain containing 1, DDRGK domain-containing protein 1, UFBP1 |
| 计算分子量 | 314 aa, 36 kDa |
| 观测分子量 | 36-46 kDa |
| GenBank蛋白编号 | BC000643 |
| 基因名称 | DDRGK1 |
| Gene ID (NCBI) | 65992 |
| 偶联类型 | Unconjugated |
| 形式 | Liquid |
| 纯化方式 | Protein A purification |
| UNIPROT ID | Q96HY6 |
| 储存缓冲液 | PBS only, pH 7.3. |
| 储存条件 | Store at -80°C. The product is shipped with ice packs. Upon receipt, store it immediately at -80°C |
背景介绍
DDRGK1, also name as C20orf116, is a member of the DDRGK domain-containing protein family with unknown function. Depletion of DDRGK1 inhibits cell proliferation and invasion. Expression of NF-κB target genes showed the most significant decrease after depleting of DDRGK1, suggesting that DDRGK1 may play an important role in the NF-κB signaling pathway. DDRGK1 interacts with IκBα and regulates its stability, thereby regulates the NF-κB transcriptional activity. DDRGK1 acts as an important regulator of the NF-κB pathway. (PMID: 23675531)




