验证数据展示
经过测试的应用
| Positive WB detected in | mouse brain tissue, rat brain tissue |
| Positive IP detected in | mouse brain tissue |
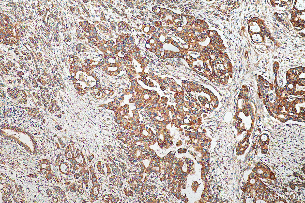
| Positive IHC detected in | human colon cancer tissue, human pancreas cancer tissue Note: suggested antigen retrieval with TE buffer pH 9.0; (*) Alternatively, antigen retrieval may be performed with citrate buffer pH 6.0 |
| Positive IF-P detected in | mouse brain tissue |
推荐稀释比
| 应用 | 推荐稀释比 |
|---|---|
| Western Blot (WB) | WB : 1:2000-1:16000 |
| Immunoprecipitation (IP) | IP : 0.5-4.0 ug for 1.0-3.0 mg of total protein lysate |
| Immunohistochemistry (IHC) | IHC : 1:500-1:2000 |
| Immunofluorescence (IF)-P | IF-P : 1:50-1:500 |
| It is recommended that this reagent should be titrated in each testing system to obtain optimal results. | |
| Sample-dependent, Check data in validation data gallery. | |
产品信息
29800-1-AP targets DCLK1 in WB, IHC, IF-P, IP, ELISA applications and shows reactivity with human, mouse, rat samples.
| 经测试应用 | WB, IHC, IF-P, IP, ELISA Application Description |
| 经测试反应性 | human, mouse, rat |
| 免疫原 |
CatNo: Ag32007 Product name: Recombinant human DCLK1 protein Source: e coli.-derived, PGEX-4T Tag: GST Domain: 648-740 aa of NM_004734 Sequence: NDDGLPENEHQLSVAGKIKKHFNTGPKPNSTAAGVSVIATTALDKERQVFRRRRNQDVRSRYKAQPAPPELNSESEDYSPSSSETVRSPNSPF 种属同源性预测 |
| 宿主/亚型 | Rabbit / IgG |
| 抗体类别 | Polyclonal |
| 产品类型 | Antibody |
| 全称 | doublecortin-like kinase 1 |
| 别名 | DCAMKL1, DCDC3A, Doublecortin domain-containing protein 3A, Doublecortin-like and CAM kinase-like 1, Doublecortin-like kinase 1 |
| 计算分子量 | 82KD |
| 观测分子量 | 48 kDa, 82 kDa |
| GenBank蛋白编号 | NM_004734 |
| 基因名称 | DCLK1 |
| Gene ID (NCBI) | 9201 |
| RRID | AB_3086165 |
| 偶联类型 | Unconjugated |
| 形式 | Liquid |
| 纯化方式 | Antigen affinity purification |
| UNIPROT ID | O15075 |
| 储存缓冲液 | PBS with 0.02% sodium azide and 50% glycerol, pH 7.3. |
| 储存条件 | Store at -20°C. Stable for one year after shipment. Aliquoting is unnecessary for -20oC storage. |
背景介绍
DCLK1 (Serine/threonine-protein kinase DCLK1) is also named as DCAMKL1, DCDC3A, KIAA0369 and belongs to the CAMK Ser/Thr protein kinase family. It is a microtubule-associated kinase that can undergo autophosphorylation and it also has microtubule-polymerizing activity that is independent of its protein kinase activity (PMID: 11124993). It plays a unique role in mitotic spindle integrity during early neurogenesis in radial glial cell proliferation and their radial process stability. DCLK1 is a unique marker for distinguishing tumor stem cells from intestinal normal stem cells (PMID: 23202126). This protein has 4 isoforms produced by alternative splicing with the molecular weight of 82 kDa, 81 kDa, 47 kDa and 48 kDa.
实验方案
| Product Specific Protocols | |
|---|---|
| WB protocol for DCLK1 antibody 29800-1-AP | Download protocol |
| IHC protocol for DCLK1 antibody 29800-1-AP | Download protocol |
| IF protocol for DCLK1 antibody 29800-1-AP | Download protocol |
| IP protocol for DCLK1 antibody 29800-1-AP | Download protocol |
| Standard Protocols | |
|---|---|
| Click here to view our Standard Protocols |







