验证数据展示
经过测试的应用
| Positive WB detected in | pig colon tissue, human cervical cancer tissue, human placenta tissue, MG-63 cells, pig lung tissue, pig skin tissue |
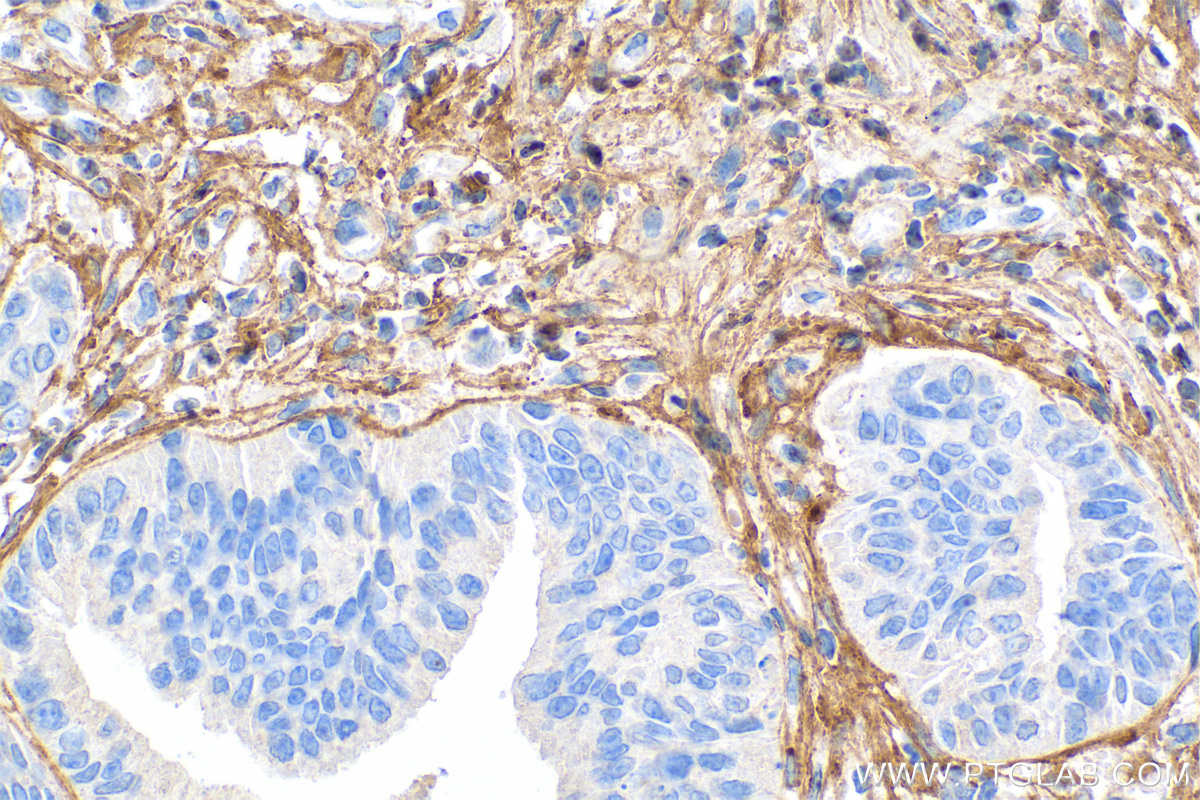
| Positive IHC detected in | human breast cancer tissue, human colon tissue, human colon cancer tissue Note: suggested antigen retrieval with TE buffer pH 9.0; (*) Alternatively, antigen retrieval may be performed with citrate buffer pH 6.0 |
| Positive IF-P detected in | human colon cancer tissue, Human Fibroblasts |
| Positive IF/ICC detected in | U-251 cells |
推荐稀释比
| 应用 | 推荐稀释比 |
|---|---|
| Western Blot (WB) | WB : 1:5000-1:50000 |
| Immunohistochemistry (IHC) | IHC : 1:2500-1:10000 |
| Immunofluorescence (IF)-P | IF-P : 1:200-1:800 |
| Immunofluorescence (IF)/ICC | IF/ICC : 1:400-1:1600 |
| It is recommended that this reagent should be titrated in each testing system to obtain optimal results. | |
| Sample-dependent, Check data in validation data gallery. | |
产品信息
67288-1-Ig targets Collagen Type I in WB, IHC, IF/ICC, IF-P, CoIP, ELISA applications and shows reactivity with human, pig samples.
| 经测试应用 | WB, IHC, IF/ICC, IF-P, ELISA Application Description |
| 文献引用应用 | WB, IHC, IF, CoIP |
| 经测试反应性 | human, pig |
| 文献引用反应性 | human, pig, rabbit, chicken, zebrafish |
| 免疫原 |
Peptide 种属同源性预测 |
| 宿主/亚型 | Mouse / IgG1 |
| 抗体类别 | Monoclonal |
| 产品类型 | Antibody |
| 全称 | collagen, type I, alpha 1 |
| 别名 | COL1A1, 1E9A7, Alpha 1 type I collagen, Alpha-1 type I collagen, COL I |
| 计算分子量 | 139 kDa |
| 观测分子量 | 100-140 kDa,200kDa |
| GenBank蛋白编号 | NM_000088 |
| 基因名称 | COL1A1 |
| Gene ID (NCBI) | 1277 |
| RRID | AB_2882554 |
| 偶联类型 | Unconjugated |
| 形式 | Liquid |
| 纯化方式 | Protein G purification |
| UNIPROT ID | P02452 |
| 储存缓冲液 | PBS with 0.02% sodium azide and 50% glycerol, pH 7.3. |
| 储存条件 | Store at -20°C. Stable for one year after shipment. Aliquoting is unnecessary for -20oC storage. |
背景介绍
Type I collagen, the major structural component of connective tissues such as skin, tendon and bone, is the most abundant and widely expressed collagen in humans (PMID: 7620364; 8645190; 9016532). Type I collagen is a heterotrimer comprising one alpha 2(I) and two alpha 1(I) chains which are encoded by the unlinked loci COL1A2 and COL1A1 respectively. Mutations in COL1A1 are associated with osteogenesis imperfecta types I-IV, Ehlers-Danlos syndrome type VIIA, Ehlers-Danlos syndrome Classical type, Caffey Disease and idiopathic osteoporosis. This antibody raised against a synthesized peptide corresponding to 1206-1218 aa of human pro-alpha 1 chain of type I collagen recognize collagen alpha-1(I) chain. The presence of unprocessed, intermediate, and mature chains of type I collagen was clearly detected only in static constructs. Indeed, in sponges cultured under perfusion the presence of type I collagen was mainly restricted to mature chains, suggesting that HACs were no longer actively producing type I collagen (PMID: 27584727). It is reported that the molecular weight is 200kDa(PMID: 28526934).
实验方案
| Product Specific Protocols | |
|---|---|
| IF protocol for Collagen Type I antibody 67288-1-Ig | Download protocol |
| IHC protocol for Collagen Type I antibody 67288-1-Ig | Download protocol |
| WB protocol for Collagen Type I antibody 67288-1-Ig | Download protocol |
| Standard Protocols | |
|---|---|
| Click here to view our Standard Protocols |
发表文章
| Species | Application | Title |
|---|---|---|
Adv Mater Biodegradable Piezoelectric-Conductive Integrated Hydrogel Scaffold for Repair of Osteochondral Defects | ||
J Hematol Oncol Proteogenomic insights into the biology and treatment of pancreatic ductal adenocarcinoma | ||
Nat Cell Biol Persistence of a regeneration-associated, transitional alveolar epithelial cell state in pulmonary fibrosis. | ||
Adv Sci (Weinh) Silencing of NOTCH3 Signaling in Meniscus Smooth Muscle Cells Inhibits Fibrosis and Exacerbates Degeneration in a HEYL-Dependent Manner | ||
Adv Sci (Weinh) Tβ4-Engineered ADSC Extracellular Vesicles Rescue Cell Senescence Through Separable Microneedle Patches for Diabetic Wound Healing | ||
Small M2 Macrophage Membrane-Mediated Biomimetic-Nanoparticle Carrying COX-siRNA Targeted Delivery for Prevention of Tendon Adhesions by Inhibiting Inflammation |

















