验证数据展示
经过测试的应用
| Positive WB detected in | A375 cells, HepG2 cells, RAW 264.7 cells |
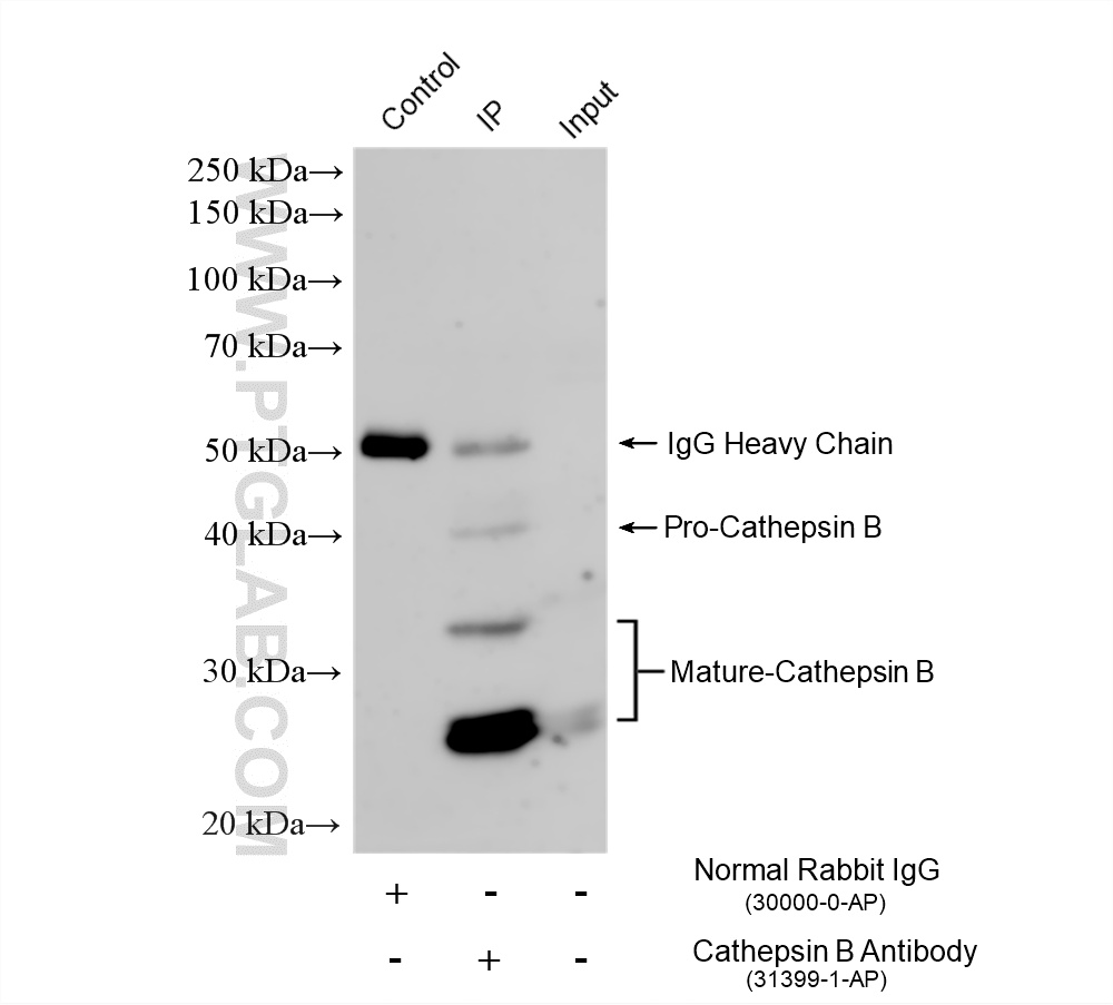
| Positive IP detected in | HepG2 cells |
| Positive IHC detected in | human lung cancer tissue Note: suggested antigen retrieval with TE buffer pH 9.0; (*) Alternatively, antigen retrieval may be performed with citrate buffer pH 6.0 |
推荐稀释比
| 应用 | 推荐稀释比 |
|---|---|
| Western Blot (WB) | WB : 1:500-1:2000 |
| Immunoprecipitation (IP) | IP : 0.5-4.0 ug for 1.0-3.0 mg of total protein lysate |
| Immunohistochemistry (IHC) | IHC : 1:50-1:500 |
| It is recommended that this reagent should be titrated in each testing system to obtain optimal results. | |
| Sample-dependent, Check data in validation data gallery. | |
产品信息
31399-1-AP targets Cathepsin B in WB, IHC, IP, ELISA applications and shows reactivity with human, mouse samples.
| 经测试应用 | WB, IHC, IP, ELISA Application Description |
| 经测试反应性 | human, mouse |
| 免疫原 |
CatNo: Eg1020 Product name: Recombinant Human Cathepsin B protein (His Tag) Source: mammalian cells-derived, pHZ-KIsec-C-6*HIS Tag: C-10*His Domain: 18-339 aa of NM_001908.5 Sequence: RSRPSFHPLSDELVNYVNKRNTTWQAGHNFYNVDMSYLKRLCGTFLGGPKPPQRVMFTEDLKLPASFDAREQWPQCPTIKEIRDQGSCGSCWAFGAVEAISDRICIHTNAHVSVEVSAEDLLTCCGSMCGDGCNGGYPAEAWNFWTRKGLVSGGLYESHVGCRPYSIPPCEHHVNGSRPPCTGEGDTPKCSKICEPGYSPTYKQDKHYGYNSYSVSNSEKDIMAEIYKNGPVEGAFSVYSDFLLYKSGVYQHVTGEMMGGHAIRILGWGVENGTPYWLVANSWNTDWGDNGFFKILRGQDHCGIESEVVAGIPRTDQYWEKI 种属同源性预测 |
| 宿主/亚型 | Rabbit / IgG |
| 抗体类别 | Polyclonal |
| 产品类型 | Antibody |
| 全称 | cathepsin B |
| 别名 | CTSB, APP secretase, APPS, Cat B, Cathepsin B heavy chain |
| 计算分子量 | 38kDa |
| 观测分子量 | 25 kDa and 31 kDa |
| GenBank蛋白编号 | NM_001908.5 |
| 基因名称 | Cathepsin B |
| Gene ID (NCBI) | 1508 |
| RRID | AB_3669964 |
| 偶联类型 | Unconjugated |
| 形式 | Liquid |
| 纯化方式 | Antigen affinity Purification |
| UNIPROT ID | P07858 |
| 储存缓冲液 | PBS with 0.02% sodium azide and 50% glycerol, pH 7.3. |
| 储存条件 | Store at -20°C. Stable for one year after shipment. Aliquoting is unnecessary for -20oC storage. |
背景介绍
CTSB(Cathepsin B) is also named as CPSB and belongs to the peptidase C1 family. It participates in intracellular degradation and turnover of proteins. Cathepsin B precursors found in human malignant ascites fluid do not possess mannose-rich carbohydrates suggesting that a defect in the post translational processing of carbohydrate moieties on tumor. Cathepsin B exists as both glycosylated and unglycosylated forms(PMID:1637335). In rat macrophages and hepatocytes pro- cathepsin B is 39 kDa (unglycosylated =35 kDa), whereas in human fibroblasts procathepsin B is 44.5-46kDa (unglycosylated=39kDa)(PMID:2097084). It can be detected the 43 kDa form of pro-CTSB, 31 kDa and 25 kDa mature forms in mouse brain by western blot(PMID:20616152).
实验方案
| Product Specific Protocols | |
|---|---|
| IHC protocol for Cathepsin B antibody 31399-1-AP | Download protocol |
| IP protocol for Cathepsin B antibody 31399-1-AP | Download protocol |
| WB protocol for Cathepsin B antibody 31399-1-AP | Download protocol |
| Standard Protocols | |
|---|---|
| Click here to view our Standard Protocols |


