验证数据展示
产品信息
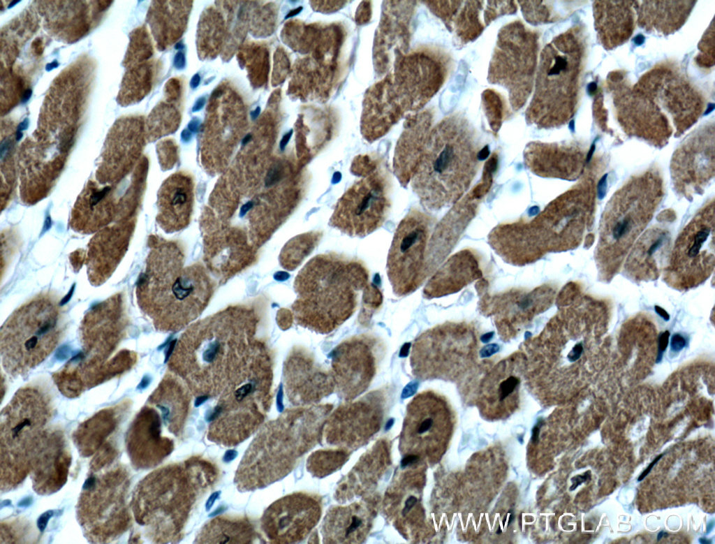
66419-1-PBS targets Calsequestrin 2 in WB, IHC, IF-P, Indirect ELISA applications and shows reactivity with human, rat, pig, mouse samples.
| 经测试应用 | WB, IHC, IF-P, Indirect ELISA Application Description |
| 经测试反应性 | human, rat, pig, mouse |
| 免疫原 |
CatNo: Ag13246 Product name: Recombinant human CASQ2 protein Source: e coli.-derived, T-HIS Tag: 6*His Domain: 1-399 aa of BC022288 Sequence: MKRTHLFIVGIYFLSSCRAEEGLNFPTYDGKDRVVSLSEKNFKQVLKKYDLLCLYYHEPVSSDKVTQKQFQLKEIVLELVAQVLEHKAIGFVMVDAKKEAKLAKKLGFDEEGSLYILKGDRTIEFDGEFAADVLVEFLLDLIEDPVEIISSKLEVQAFERIEDYIKLIGFFKSEDSEYYKAFEEAAEHFQPYIKFFATFDKGVAKKLSLKMNEVDFYEPFMDEPIAIPNKPYTEEELVEFVKEHQRPTLRRLRPEEMFETWEDDLNGIHIVAFAEKSDPDGYEFLEILKQVARDNTDNPDLSILWIDPDDFPLLVAYWEKTFKIDLFRPQIGVVNVTDADSVWMEIPDDDDLPTAEELEDWIEDVLSGKINTEDDDEDDDDDDNSDEEDNDDSDDDDDE 种属同源性预测 |
| 宿主/亚型 | Mouse / IgG2a |
| 抗体类别 | Monoclonal |
| 产品类型 | Antibody |
| 全称 | calsequestrin 2 (cardiac muscle) |
| 别名 | Calsequestrin 2, CASQ2, PDIB2 |
| 计算分子量 | 46 kDa |
| 观测分子量 | 50 kDa |
| GenBank蛋白编号 | BC022288 |
| 基因名称 | Calsequestrin 2 |
| Gene ID (NCBI) | 845 |
| RRID | AB_2881791 |
| 偶联类型 | Unconjugated |
| 形式 | Liquid |
| 纯化方式 | Protein A purification |
| UNIPROT ID | O14958 |
| 储存缓冲液 | PBS only, pH 7.3. |
| 储存条件 | Store at -80°C. The product is shipped with ice packs. Upon receipt, store it immediately at -80°C |
背景介绍
Calsequestrin (CASQ) is a Ca2+-binding protein present primarily in junctional sarcoplasmic reticulum of skeletal and cardiac muscle; the cardiac form (CASQ2) is encoded by a separate gene. The primary role of CASQ2 is buffering of the sarcoplasmic reticulum Ca2+ ions, but another role for CASQ2 has emerged recently: CASQ2 regulates the open probability of ryanodine receptor 2 (RyR2). Mutations in CASQ2 cause stress-induced polymorphic ventricular tachycardia, also referred to as catecholaminergic polymorphic ventricular tachycardia 2 (CPVT2), a disease characterized by bidirectional ventricular tachycardia that may lead to cardiac arrest.







