验证数据展示
经过测试的应用
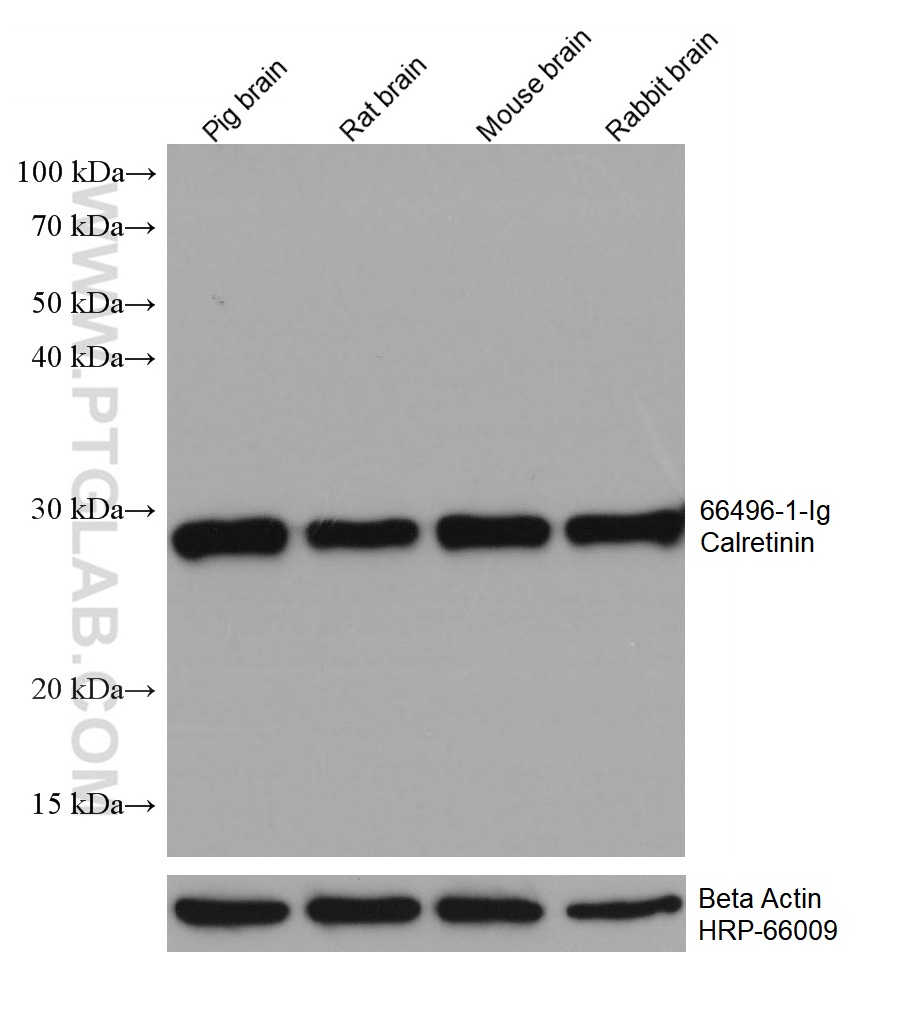
| Positive WB detected in | pig brain tissue, mouse brain tissue, rat brain tissue, U2OS cells, rat cerebellum tissue, U-251 cells, mouse cerebellum tissue, rabbit brain tissue | 
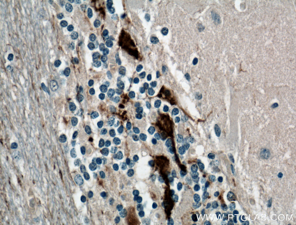
| Positive IHC detected in | human appendicitis tissue, human brain tissue,  human cerebellum tissue,  human colon tissue,  rat brain tissue Note: suggested antigen retrieval with TE buffer pH 9.0; (*) Alternatively, antigen retrieval may be performed with citrate buffer pH 6.0 | 
| Positive IF-P detected in | human appendicitis tissue, rat cerebellum tissue | 
| Positive IF-Fro detected in | mouse cerebellum tissue, rat cerebellum tissue | 
| Positive IF/ICC detected in | SH-SY5Y cells | 
推荐稀释比
| 应用 | 推荐稀释比 | 
|---|---|
| Western Blot (WB) | WB : 1:5000-1:50000 | 
| Immunohistochemistry (IHC) | IHC : 1:2000-1:8000 | 
| Immunofluorescence (IF)-P | IF-P : 1:200-1:800 | 
| Immunofluorescence (IF)-FRO | IF-FRO : 1:400-1:1600 | 
| Immunofluorescence (IF)/ICC | IF/ICC : 1:200-1:800 | 
| It is recommended that this reagent should be titrated in each testing system to obtain optimal results. | |
| Sample-dependent, Check data in validation data gallery. | |
产品信息
66496-1-Ig targets Calretinin in WB, IHC, IF/ICC, IF-P, IF-Fro, ELISA applications and shows reactivity with human, mouse, rat, pig samples.
| 经测试应用 | WB, IHC, IF/ICC, IF-P, IF-Fro, ELISA Application Description | 
| 文献引用应用 | WB, IHC, IF | 
| 经测试反应性 | human, mouse, rat, pig | 
| 文献引用反应性 | human, mouse | 
| 免疫原 | CatNo: Ag2924 Product name: Recombinant human Calretinin protein Source: e coli.-derived, PGEX-4T Tag: GST Domain: 1-271 aa of BC015484 Sequence: MAGPQQQPPYLHLAELTASQFLEIWKHFDADGNGYIEGKELENFFQELEKARKGSGMMSKSDNFGEKMKEFMQKYDKNSDGKIEMAELAQILPTEENFLLCFRQHVGSSTEFMEAWRKYDTDRSGYIEANELKGFLSDLLKKANRPYDEPKLQEYTQTILRMFDLNGDGKLGLSEMSRLLPVQENFLLKFQGMKLTSEEFNAIFTFYDKDRSGYIDEHELDALLKDLYEKNKKEMNIQQLTNYRKSVMSLAEAGKLYRKDLEIVLCSEPPM种属同源性预测 | 
| 宿主/亚型 | Mouse / IgG1 | 
| 抗体类别 | Monoclonal | 
| 产品类型 | Antibody | 
| 全称 | calbindin 2 | 
| 别名 | CALB2, 29 kDa calbindin, 2D7A9, CAB29, CAL2 | 
| 计算分子量 | 29 kDa | 
| 观测分子量 | 29 kDa | 
| GenBank蛋白编号 | BC015484 | 
| 基因名称 | Calretinin | 
| Gene ID (NCBI) | 794 | 
| RRID | AB_2868480 | 
| 偶联类型 | Unconjugated | 
| 形式 | Liquid | 
| 纯化方式 | Protein G purification | 
| UNIPROT ID | P22676 | 
| 储存缓冲液 | PBS with 0.02% sodium azide and 50% glycerol, pH 7.3. | 
| 储存条件 | Store at -20°C. Stable for one year after shipment. Aliquoting is unnecessary for -20oC storage. | 
背景介绍
Calbindin 2 (calretinin), is an intracellular calcium-binding protein belonging to the troponin C superfamily. Members of this protein family have six EF-hand domains which bind calcium. This protein plays a role in diverse cellular functions, including message targeting and intracellular calcium buffering. It also functions as a modulator of neuronal excitability, and is a diagnostic marker for some human diseases, including Hirschsprung disease and some cancers. Calretinin is a useful marker for differentiating malignant mesothelioma from carcinomas.
实验方案
| Product Specific Protocols | |
|---|---|
| IF protocol for Calretinin antibody 66496-1-Ig | Download protocol | 
| IHC protocol for Calretinin antibody 66496-1-Ig | Download protocol | 
| WB protocol for Calretinin antibody 66496-1-Ig | Download protocol | 
| Standard Protocols | |
|---|---|
| Click here to view our Standard Protocols | 
发表文章
| Species | Application | Title | 
|---|---|---|
| Cell Glia-to-Neuron Conversion by CRISPR-CasRx Alleviates Symptoms of Neurological Disease in Mice. | ||
| Acta Neuropathol Commun TMEM106B deficiency impairs cerebellar myelination and synaptic integrity with Purkinje cell loss. | ||
| Neurobiol Dis Sex specific correlation between GABAergic disruption in the dorsal hippocampus and flurothyl seizure susceptibility after neonatal hypoxic-ischemic brain injury. | ||
| Neurobiol Dis Cytohesin-2 mediates group I metabotropic glutamate receptor-dependent mechanical allodynia through the activation of ADP ribosylation factor 6 in the spinal cord. | ||
| J Cancer A Prognostic Model of Angiogenesis and Neutrophil Extracellular Traps Related Genes Manipulating Tumor Microenvironment in Colon Cancer | ||


























