验证数据展示
经过测试的应用
| Positive WB detected in | rat colon tissue, mouse colon tissue |
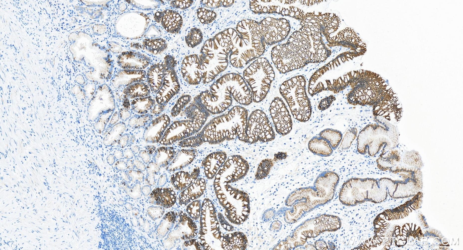
| Positive IHC detected in | human stomach cancer tissue, mouse colon tissue, human colon cancer tissue Note: suggested antigen retrieval with TE buffer pH 9.0; (*) Alternatively, antigen retrieval may be performed with citrate buffer pH 6.0 |
| Positive IF-P detected in | human stomach cancer tissue |
推荐稀释比
| 应用 | 推荐稀释比 |
|---|---|
| Western Blot (WB) | WB : 1:5000-1:50000 |
| Immunohistochemistry (IHC) | IHC : 1:500-1:2000 |
| Immunofluorescence (IF)-P | IF-P : 1:250-1:1000 |
| It is recommended that this reagent should be titrated in each testing system to obtain optimal results. | |
| Sample-dependent, Check data in validation data gallery. | |
产品信息
83793-5-RR targets Cadherin-17 in WB, IHC, IF-P, ELISA applications and shows reactivity with human, mouse, rat samples.
| 经测试应用 | WB, IHC, IF-P, ELISA Application Description |
| 经测试反应性 | human, mouse, rat |
| 免疫原 |
CatNo: Ag19488 Product name: Recombinant human CDH17 protein Source: e coli.-derived, PET28a Tag: 6*His Domain: 89-406 aa of BC113464 Sequence: RSTHNLQVAALDANGIIVEGPVPITIEVKDINDNRPTFLQSKYEGSVRQNSRPGKPFLYVNATDLDDPATPNGQLYYQIVIQLPMINNVMYFQINNKTGAISLTREGSQELNPAKNPSYNLVISVKDMGGQSENSFSDTTSVDIIVTENIWKAPKPVEMVENSTDPHPIKITQVRWNDPGAQYSLVDKEKLPRFPFSIDQEGDIYVTQPLDREEKDAYVFYAVAKDEYGKPLSYPLEIHVKVKDINDNPPTCPSPVTVFEVQENERLGNSIGTLTAHDRDEENTANSFLNYRIVEQTPKLPMDGLFLIQTYAGMLQLA 种属同源性预测 |
| 宿主/亚型 | Rabbit / IgG |
| 抗体类别 | Recombinant |
| 产品类型 | Antibody |
| 全称 | cadherin 17, LI cadherin (liver-intestine) |
| 别名 | CDH17, 240681B11, Cadherin 17, CDH16, HPT 1 |
| 计算分子量 | 832 aa, 92 kDa |
| 观测分子量 | 120 kDa |
| GenBank蛋白编号 | BC113464 |
| 基因名称 | Cadherin-17 |
| Gene ID (NCBI) | 1015 |
| RRID | AB_3671384 |
| 偶联类型 | Unconjugated |
| 形式 | Liquid |
| 纯化方式 | Protein A purfication |
| UNIPROT ID | Q12864 |
| 储存缓冲液 | PBS with 0.02% sodium azide and 50% glycerol, pH 7.3. |
| 储存条件 | Store at -20°C. Stable for one year after shipment. Aliquoting is unnecessary for -20oC storage. |
背景介绍
Cadherin-17, also known as LI-cadherin, is a member of the cadherin superfamily. Cadherins are transmembrane proteins that mediates cell-cell adhesion, plays important roles during embryogenesis, and is crucial for tissue morphogenesis and maintenance. Cadherin-17 is a component of the gastrointestinal tract and pancreatic ducts and is involved in intestinal peptide transport. It may also play a role in the morphological organization of liver and intestine.
实验方案
| Product Specific Protocols | |
|---|---|
| IF protocol for Cadherin-17 antibody 83793-5-RR | Download protocol |
| IHC protocol for Cadherin-17 antibody 83793-5-RR | Download protocol |
| WB protocol for Cadherin-17 antibody 83793-5-RR | Download protocol |
| Standard Protocols | |
|---|---|
| Click here to view our Standard Protocols |










