验证数据展示
经过测试的应用
| Positive WB detected in | HL-60 cells |
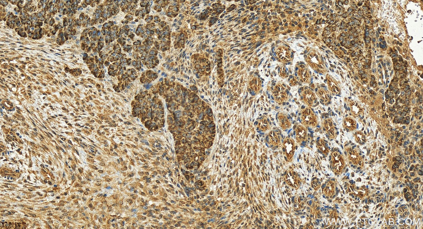
| Positive IHC detected in | human ovarian cancer Note: suggested antigen retrieval with TE buffer pH 9.0; (*) Alternatively, antigen retrieval may be performed with citrate buffer pH 6.0 |
推荐稀释比
| 应用 | 推荐稀释比 |
|---|---|
| Western Blot (WB) | WB : 1:200-1:1000 |
| Immunohistochemistry (IHC) | IHC : 1:50-1:500 |
| It is recommended that this reagent should be titrated in each testing system to obtain optimal results. | |
| Sample-dependent, Check data in validation data gallery. | |
发表文章中的应用
| WB | See 1 publications below |
产品信息
19701-1-AP targets CYP4F3 in WB, IHC, ELISA applications and shows reactivity with human samples.
| 经测试应用 | WB, IHC, ELISA Application Description |
| 文献引用应用 | WB |
| 经测试反应性 | human |
| 文献引用反应性 | mouse |
| 免疫原 |
Peptide 种属同源性预测 |
| 宿主/亚型 | Rabbit / IgG |
| 抗体类别 | Polyclonal |
| 产品类型 | Antibody |
| 全称 | cytochrome P450, family 4, subfamily F, polypeptide 3 |
| 别名 | 20-HETE synthase, 20-hydroxyeicosatetraenoic acid synthase, CPF3, CYP4F, CYPIVF3 |
| 计算分子量 | 60 kDa |
| 观测分子量 | 60 kDa |
| GenBank蛋白编号 | NM_000896 |
| 基因名称 | CYP4F3 |
| Gene ID (NCBI) | 4051 |
| RRID | AB_2878599 |
| 偶联类型 | Unconjugated |
| 形式 | Liquid |
| 纯化方式 | Antigen affinity purification |
| UNIPROT ID | Q08477 |
| 储存缓冲液 | PBS with 0.02% sodium azide and 50% glycerol, pH 7.3. |
| 储存条件 | Store at -20°C. Stable for one year after shipment. Aliquoting is unnecessary for -20oC storage. |
背景介绍
CYP4F3, also named as LTB4H and CYPIVF3, belongs to the cytochrome P450 family. Cytochromes P450 are a group of heme-thiolate monooxygenases. CYP4F3 requires molecular oxygen and NADPH for the omega-hydroxylation of LTB4, a potent chemoattractant for polymorphonuclear leukocytes.
实验方案
| Product Specific Protocols | |
|---|---|
| IHC protocol for CYP4F3 antibody 19701-1-AP | Download protocol |
| WB protocol for CYP4F3 antibody 19701-1-AP | Download protocol |
| Standard Protocols | |
|---|---|
| Click here to view our Standard Protocols |

