验证数据展示
经过测试的应用
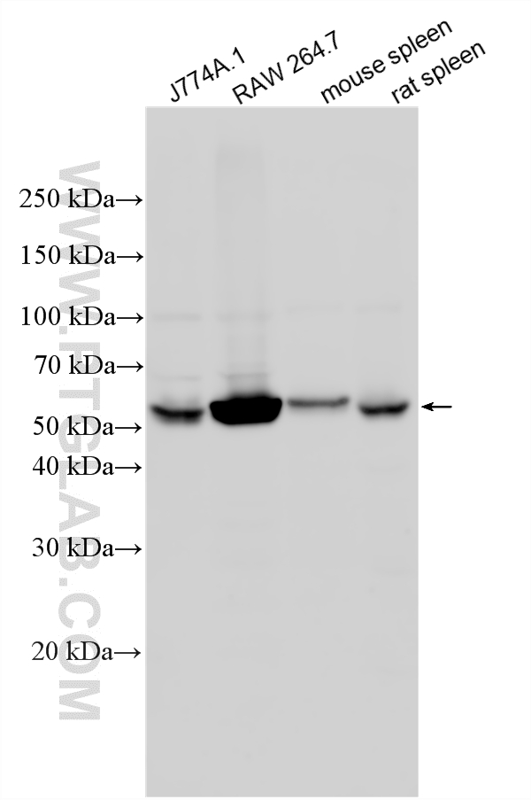
| Positive WB detected in | J774A.1 cells, human plasma, RAW 264.7 cells, mouse spleen tissue, rat spleen tissue |
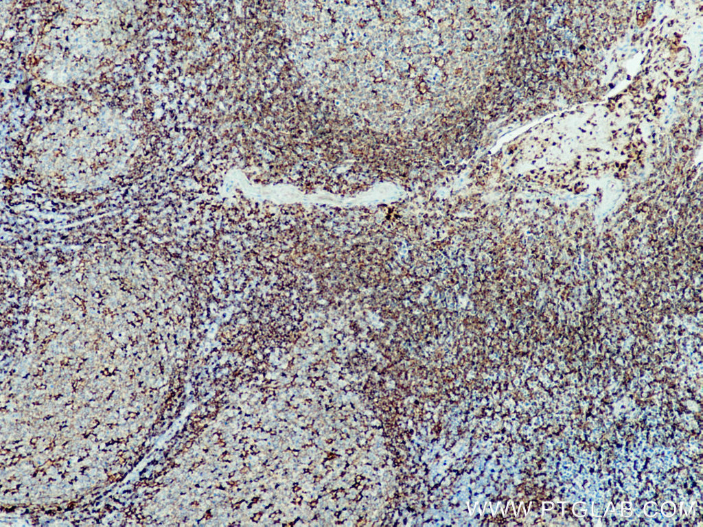
| Positive IHC detected in | human tonsillitis tissue, mouse spleen tissue, rat spleen tissue Note: suggested antigen retrieval with TE buffer pH 9.0; (*) Alternatively, antigen retrieval may be performed with citrate buffer pH 6.0 |
| Positive IF-P detected in | mouse spleen tissue, human tonsillitis tissue |
| Positive IF-Fro detected in | mouse brain tissue |
| Positive FC (Intra) detected in | RAW 264.7 cells, MCF-7 cells |
推荐稀释比
| 应用 | 推荐稀释比 |
|---|---|
| Western Blot (WB) | WB : 1:2000-1:10000 |
| Immunohistochemistry (IHC) | IHC : 1:500-1:2000 |
| Immunofluorescence (IF)-P | IF-P : 1:200-1:800 |
| Immunofluorescence (IF)-FRO | IF-FRO : 1:200-1:800 |
| Flow Cytometry (FC) (INTRA) | FC (INTRA) : 0.40 ug per 10^6 cells in a 100 µl suspension |
| It is recommended that this reagent should be titrated in each testing system to obtain optimal results. | |
| Sample-dependent, Check data in validation data gallery. | |
产品信息
19013-1-AP targets NOX2 in WB, IHC, IF-P, IF-Fro, FC (Intra), CoIP, ELISA applications and shows reactivity with human, mouse, rat samples.
| 经测试应用 | WB, IHC, IF-P, IF-Fro, FC (Intra), ELISA Application Description |
| 文献引用应用 | WB, IHC, IF, CoIP |
| 经测试反应性 | human, mouse, rat |
| 文献引用反应性 | human, mouse, rat, pig, rabbit, canine |
| 免疫原 |
CatNo: Ag5536 Product name: Recombinant human CYBB protein Source: e coli.-derived, PET28a Tag: 6*His Domain: 418-570 aa of BC032720 Sequence: SILKSVWYKYCNNATNLKLKKIYFYWLCRDTHAFEWFADLLQLLESQMQERNNAGFLSYNIYLTGWDESQANHFAVHHDEEKDVITGLKQKTLYGRPNWDNEFKTIASQHPNTRIGVFLCGPEALAETLSKQSISNSESGPRGVHFIFNKENF 种属同源性预测 |
| 宿主/亚型 | Rabbit / IgG |
| 抗体类别 | Polyclonal |
| 产品类型 | Antibody |
| 全称 | cytochrome b-245, beta polypeptide |
| 别名 | CYBB, CGD, CGD91-phox, Cytochrome b-245 heavy chain, EC:1.-.-.- |
| 计算分子量 | 577 aa, 65 kDa |
| 观测分子量 | 55 kDa |
| GenBank蛋白编号 | BC032720 |
| 基因名称 | NOX2 |
| Gene ID (NCBI) | 1536 |
| RRID | AB_2833044 |
| 偶联类型 | Unconjugated |
| 形式 | Liquid |
| 纯化方式 | Antigen affinity purification |
| UNIPROT ID | P04839 |
| 储存缓冲液 | PBS with 0.02% sodium azide and 50% glycerol, pH 7.3. |
| 储存条件 | Store at -20°C. Stable for one year after shipment. Aliquoting is unnecessary for -20oC storage. |
背景介绍
NOX2, also named as CYBB, CGD, 91-phox, gp91-1, gp91-phox, p22 phagocyte B-cytochrome, cytochrome b-245 and beta polypeptide, is a critical component of the membrane-bound oxidase of phagocytes that generates superoxide. It is the terminal component of a respiratory chain that transfers single electrons from cytoplasmic NADPH across the plasma membrane to molecular oxygen on the exterior. This full length protein has three glycosylation sites. CYBB is found in human cardiomyocytes as multiple bands:the signal between 55 and 65 kDa is probably the unglycosylated protein, because the predicted molecular weight of unglycosylated CYBB protein is approximately 58 kDa(PMID: 17587483) to 65 kDa in phagocytes and the bands around 80 kDa probably represent glycosylated CYBB, as has also been shown in human umbilical vein endothelial cells(PMID:12610097). In other reports, it also can be detected a band of 91 kDa(PMID:19965781).
实验方案
| Product Specific Protocols | |
|---|---|
| FC protocol for NOX2 antibody 19013-1-AP | Download protocol |
| IF protocol for NOX2 antibody 19013-1-AP | Download protocol |
| IHC protocol for NOX2 antibody 19013-1-AP | Download protocol |
| WB protocol for NOX2 antibody 19013-1-AP | Download protocol |
| Standard Protocols | |
|---|---|
| Click here to view our Standard Protocols |
发表文章
| Species | Application | Title |
|---|---|---|
Cell Host Microbe Zinc promotes microbial p-coumaric acid production that protects against cholestatic liver injury | ||
Circulation Megakaryocytic Leukemia 1 (MKL1) Bridges Epigenetic Activation of NADPH Oxidase in Macrophages to Cardiac Ischemia-Reperfusion Injury. | ||
Cell Host Microbe Gut microbiome dysbiosis contributes to abdominal aortic aneurysm by promoting neutrophil extracellular trap formation | ||
Brain Behav Immun Adiponectin ameliorates traumatic brain injury-induced ferroptosis through AMPK- ACC1 signaling pathway | ||
Sci Adv Sphingolipid biosynthesis is essential for metabolic rewiring during TH17 cell differentiation | ||
Redox Biol Silencing COX-2 blocks PDK1/TRAF4-induced AKT activation to inhibit fibrogenesis during skeletal muscle atrophy. |













