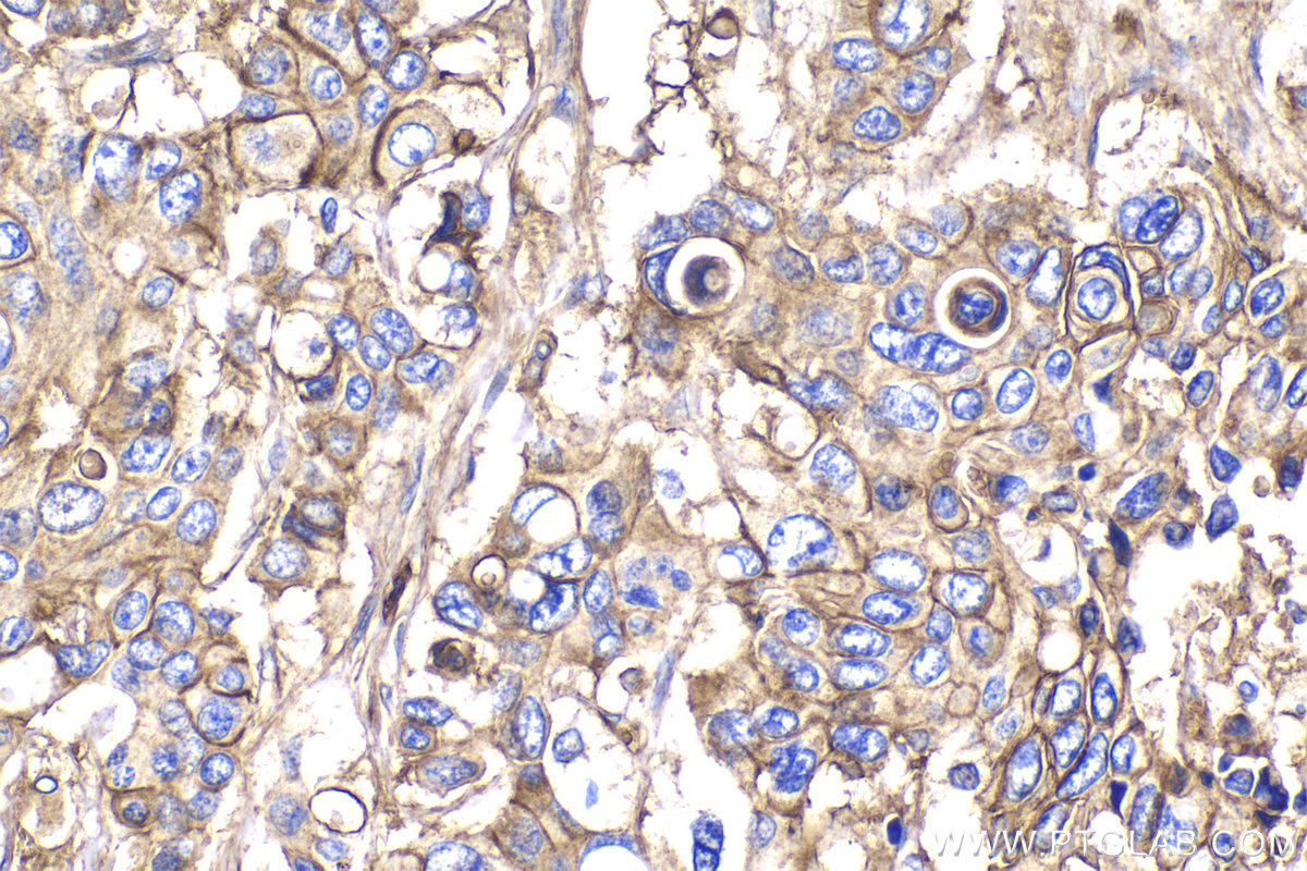
IHCeasy® CYBB/NOX2 Ready-To-Use IHC Kit
CYBB/NOX2 Ready-to-use reagent kit for IHC.
Reactivity
Human, Mouse, Rat
Sample Type
FFPE tissue
Cat no : KHC2158
Synonyms
CGD, CGD91 phox, CYBB, Cytochrome b 245 heavy chain, Cytochrome b(558) subunit beta, Cytochrome b558 subunit beta, GP91 1, GP91 PHOX, GP91PHOX, NADPH oxidase 2, NOX2, p22 phagocyte B cytochrome, p91 PHOX
Validation Data Gallery
Product Information
KHC2158 is a ready-to-use IHC kit for staining of CYBB/NOX2. The kit provides all reagents, from antigen retrieval to cover slip mounting, that require little to no diluting or handling prior to use. Simply apply the reagents to your sample slide according to the protocol and you're steps away from obtaining high-quality IHC data.
| Product name | IHCeasy CYBB/NOX2 Ready-To-Use IHC Kit |
| Sample type | FFPE tissue |
| Assay type | Immunohistochemistry |
| Primary antibody type | Rabbit Polyclonal |
| Secondary antibody type | Polymer-HRP-Goat anti-Rabbit |
| Reactivity | Human, Mouse, Rat |
Kit components
| Component | Size | Concentration |
|---|---|---|
| Antigen Retrieval Buffer | 100 mL | 50× |
| Washing Buffer | 100 mL ×2 | 20× |
| Blocking Buffer | 5 mL | RTU |
| Primary Antibody | 5 mL | RTU |
| Secondary Antibody | 5 mL | RTU |
| Chromogen Component A | 0.2 mL | RTU |
| Chromogen Component B | 4 mL | RTU |
| Signal Enhancer | 5 mL | RTU |
| Counter Staining Reagent | 5 mL | RTU |
| Mounting Media | 5 mL | RTU |
| Datasheet | 1 Copy | |
| Manual | 1 Copy |
Background Information
NOX2, also named as CYBB, CGD, 91-phox, gp91-1, gp91-phox, p22 phagocyte B-cytochrome, cytochrome b-245 and beta polypeptide, is a critical component of the membrane-bound oxidase of phagocytes that generates superoxide. It is the terminal component of a respiratory chain that transfers single electrons from cytoplasmic NADPH across the plasma membrane to molecular oxygen on the exterior. This full length protein has three glycosylation sites.
Properties
| Storage Instructions | All the reagents are stored at 2-8°C. The kit is stable for 6 months from the date of receipt. |
| Synonyms | CGD, CGD91 phox, CYBB, Cytochrome b 245 heavy chain, Cytochrome b(558) subunit beta, Cytochrome b558 subunit beta, GP91 1, GP91 PHOX, GP91PHOX, NADPH oxidase 2, NOX2, p22 phagocyte B cytochrome, p91 PHOX |





