验证数据展示
经过测试的应用
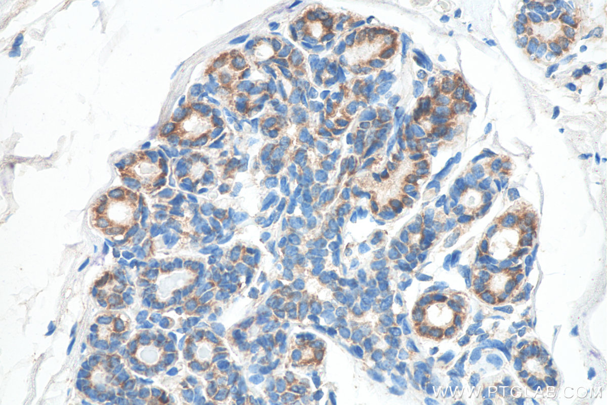
| Positive IHC detected in | human breast cancer tissue, mouse spleen tissue, human tonsillitis tissue Note: suggested antigen retrieval with TE buffer pH 9.0; (*) Alternatively, antigen retrieval may be performed with citrate buffer pH 6.0 |
推荐稀释比
| 应用 | 推荐稀释比 |
|---|---|
| Immunohistochemistry (IHC) | IHC : 1:50-1:500 |
| It is recommended that this reagent should be titrated in each testing system to obtain optimal results. | |
| Sample-dependent, Check data in validation data gallery. | |
产品信息
Biotin-60042 targets CXCR4 in IHC applications and shows reactivity with human, mouse samples.
| 经测试应用 | IHC Application Description |
| 经测试反应性 | human, mouse |
| 免疫原 |
CatNo: Ag1528 Product name: Recombinant human CXCR4 protein Source: e coli.-derived, PGEX-4T Tag: GST Domain: 192-352 aa of BC020968 Sequence: NDLWVVVFQFQHIMVGLILPGIVILSCYCIIISKLSHSKGHQKRKALKTTVILILAFFACWLPYYIGISIDSFILLEIIKQGCEFENTVHKWISITEALAFFHCCLNPILYAFLGAKFKTSAQHALTSVSRGSSLKILSKGKRGGHSSVSTESESSSFHSS 种属同源性预测 |
| 宿主/亚型 | Mouse / IgM |
| 抗体类别 | Monoclonal |
| 产品类型 | Antibody |
| 全称 | chemokine (C-X-C motif) receptor 4 |
| 别名 | CD184, CXC R4, CXCR 4, CXCR4, CXCR4B, D2S201E, FB22, Fusin, HM89, HSY3RR, LAP3, LCR1, LESTR, SDF 1 receptor, WHIM |
| 计算分子量 | 352 aa, 40 kDa |
| 观测分子量 | 60~70 kDa |
| GenBank蛋白编号 | BC020968 |
| 基因名称 | CXCR4 |
| Gene ID (NCBI) | 7852 |
| RRID | AB_2918944 |
| 偶联类型 | Biotin |
| 形式 | Liquid |
| 纯化方式 | Caprylic acid/ammonium sulfate precipitation |
| UNIPROT ID | P61073 |
| 储存缓冲液 | PBS with 50% glycerol, 0.05% Proclin300, 0.5% BSA, pH 7.3. |
| 储存条件 | Store at -20°C. Avoid exposure to light. Stable for one year after shipment. Aliquoting is unnecessary for -20oC storage. |
背景介绍
C-X-C chemokine receptor type 4 (CXCR4) is a widely expressed G protein-coupled seven-transmembrane receptor. CXCL12/SDF-1 is the biological ligand for CXCR4. The binding of CXCL12 to CXCR4 induces intracellular signaling through several divergent pathways initiating signals related to chemotaxis, cell survival and/or proliferation, increase in intracellular calcium, and gene transcription (PMID: 20484021). CXCR4 also functions as a coreceptor for HIV-1 entry (PMID: 9427609). CXCR4 has a calculated molecular weight of 40 kDa. In addition to the predicted species of 45-47 kDa for glycosylated CXCR4 monomers, due to ubiquitination, dimeration, and different degrees of glycosylation, additional species can also exist and have been reported in some researches, including 67 kDa (PMID: 23917520), 55, 67, 87 kDa (PMID: 20028517), 80 kDa (PMID: 10506573), 47, 50, 62, and 98 kDa (PMID: 16204649).
实验方案
| Product Specific Protocols | |
|---|---|
| IHC protocol for Biotin CXCR4 antibody Biotin-60042 | Download protocol |
| Standard Protocols | |
|---|---|
| Click here to view our Standard Protocols |





