验证数据展示
经过测试的应用
| Positive WB detected in | HEK-293T cells, HepG2 cells, human brain tissue, PC-3 cells, human testis tissue |
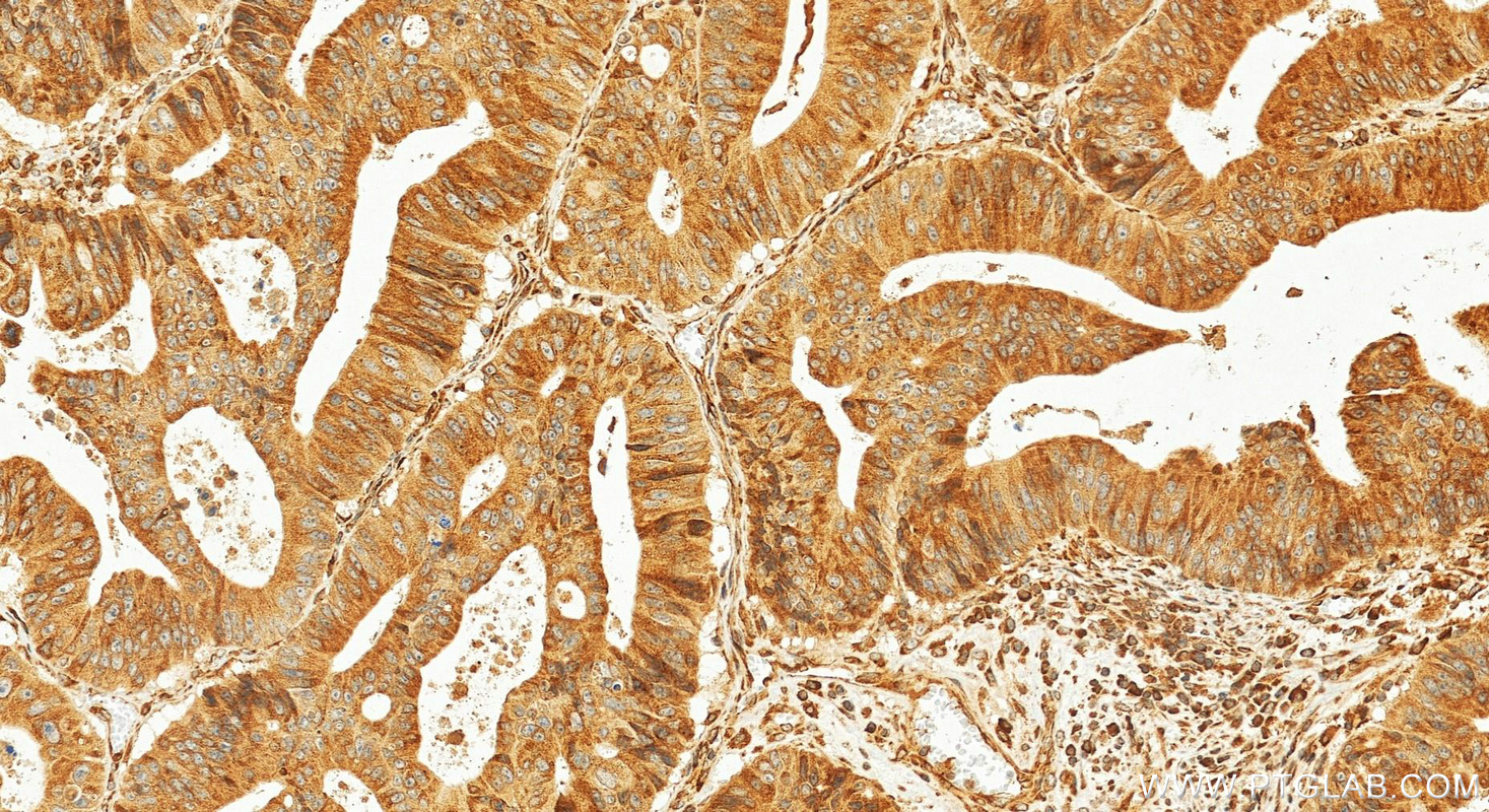
| Positive IHC detected in | human prostate cancer tissue, human colon cancer tissue Note: suggested antigen retrieval with TE buffer pH 9.0; (*) Alternatively, antigen retrieval may be performed with citrate buffer pH 6.0 |
推荐稀释比
| 应用 | 推荐稀释比 |
|---|---|
| Western Blot (WB) | WB : 1:1000-1:5000 |
| Immunohistochemistry (IHC) | IHC : 1:50-1:500 |
| It is recommended that this reagent should be titrated in each testing system to obtain optimal results. | |
| Sample-dependent, Check data in validation data gallery. | |
产品信息
55279-1-AP targets CTAGE5 in WB, IHC, ELISA applications and shows reactivity with human samples.
| 经测试应用 | WB, IHC, ELISA Application Description |
| 经测试反应性 | human |
| 免疫原 |
Peptide 种属同源性预测 |
| 宿主/亚型 | Rabbit / IgG |
| 抗体类别 | Polyclonal |
| 产品类型 | Antibody |
| 全称 | CTAGE family, member 5 |
| 别名 | cTAGE family member 5, CTAGE family member 5 ER export factor, CTAGE family, member 5, Cutaneous T-cell lymphoma-associated antigen 5, MEA11 |
| 计算分子量 | 92 kDa |
| 观测分子量 | 100-110 kDa |
| GenBank蛋白编号 | NM_005930 |
| 基因名称 | CTAGE5 |
| Gene ID (NCBI) | 4253 |
| RRID | AB_11183044 |
| 偶联类型 | Unconjugated |
| 形式 | Liquid |
| 纯化方式 | Antigen affinity purification |
| UNIPROT ID | Q96PC5 |
| 储存缓冲液 | PBS with 0.02% sodium azide and 50% glycerol, pH 7.3. |
| 储存条件 | Store at -20°C. Stable for one year after shipment. Aliquoting is unnecessary for -20oC storage. |
背景介绍
Cutaneous T cell lymphoma-associated antigen 5 (CTAGE5) is a member of the cTAGE family. CTAGE5 is a tumor-associated antigen and is overexpressed in various cancer cell lines. CTAGE5 consists of a signal anchor motif, a single transmembrane domain, two coiled-coil motifs, and a proline-rich domain (PRD) from the N-terminus. CTAGE5 interacts with TANGO1 through its second coil region to form a cargo receptor complex (PMID: 21525241). This antibody is specific to CTAGE5. It can recognize all the isoforms except isoform 5B.
实验方案
| Product Specific Protocols | |
|---|---|
| IHC protocol for CTAGE5 antibody 55279-1-AP | Download protocol |
| WB protocol for CTAGE5 antibody 55279-1-AP | Download protocol |
| Standard Protocols | |
|---|---|
| Click here to view our Standard Protocols |





