验证数据展示
经过测试的应用
| Positive WB detected in | A549 cells, rat brain tissue, human brain tissue, HeLa cells, HepG2 cells, mouse liver tissue |
| Positive IP detected in | mouse brain tissue, HeLa cells |
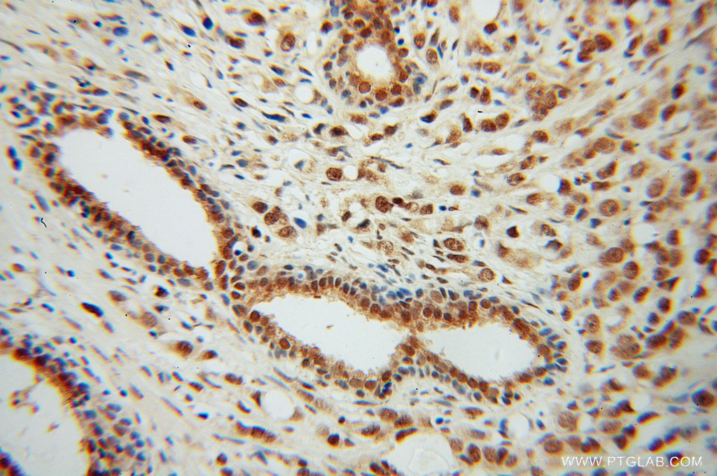
| Positive IHC detected in | human prostate cancer tissue Note: suggested antigen retrieval with TE buffer pH 9.0; (*) Alternatively, antigen retrieval may be performed with citrate buffer pH 6.0 |
| Positive IF/ICC detected in | HepG2 cells |
推荐稀释比
| 应用 | 推荐稀释比 |
|---|---|
| Western Blot (WB) | WB : 1:2000-1:10000 |
| Immunoprecipitation (IP) | IP : 0.5-4.0 ug for 1.0-3.0 mg of total protein lysate |
| Immunohistochemistry (IHC) | IHC : 1:20-1:200 |
| Immunofluorescence (IF)/ICC | IF/ICC : 1:50-1:500 |
| It is recommended that this reagent should be titrated in each testing system to obtain optimal results. | |
| Sample-dependent, Check data in validation data gallery. | |
产品信息
14206-1-AP targets CSTF2T in WB, IHC, IF/ICC, IP, ELISA applications and shows reactivity with human, mouse, rat samples.
| 经测试应用 | WB, IHC, IF/ICC, IP, ELISA Application Description |
| 经测试反应性 | human, mouse, rat |
| 免疫原 |
CatNo: Ag5411 Product name: Recombinant human CSTF2T protein Source: e coli.-derived, PET28a Tag: 6*His Domain: 277-616 aa of BC028239 Sequence: PGSLTPGGAMQPQLGMPGVGPVPLERGQVQMSDPRAPIPRGPVTPGGLPPRGLLGDAPNDPRGGTLLSVTGEVEPRGYLGPPHQGPPMHHASGHDTRGPSSHEMRGGPLGDPRLLIGEPRGPMIDQRGLPMDGRGGRDSRAMETRAMETEVLETRVMERRGMETCAMETRGMEARGMDARGLEMRGPVPSSRGPMTGGIQGPGPINIGAGGPPQGPRQVPGISGVGNPGAGMQGTGIQGTGMQGAGIQGGGMQGAGIQGVSIQGGGIQGGGIQGASRQGGSQPSSFSPGQSQVTPQDQEKAALIMQVLQLTADQIAMLPPEQRQSILILKEQIQKSTGAS 种属同源性预测 |
| 宿主/亚型 | Rabbit / IgG |
| 抗体类别 | Polyclonal |
| 产品类型 | Antibody |
| 全称 | cleavage stimulation factor, 3' pre-RNA, subunit 2, 64kDa, tau variant |
| 别名 | CF-1 64 kDa subunit tau variant, Cleavage stimulation factor 64 kDa subunit tau variant, CstF 64T, KIAA0689, TauCstF 64 |
| 计算分子量 | 64 kDa |
| 观测分子量 | 65-70 kDa |
| GenBank蛋白编号 | BC028239 |
| 基因名称 | CSTF2T |
| Gene ID (NCBI) | 23283 |
| RRID | AB_2086478 |
| 偶联类型 | Unconjugated |
| 形式 | Liquid |
| 纯化方式 | Antigen affinity purification |
| UNIPROT ID | Q9H0L4 |
| 储存缓冲液 | PBS with 0.02% sodium azide and 50% glycerol, pH 7.3. |
| 储存条件 | Store at -20°C. Stable for one year after shipment. Aliquoting is unnecessary for -20oC storage. |
实验方案
| Product Specific Protocols | |
|---|---|
| IF protocol for CSTF2T antibody 14206-1-AP | Download protocol |
| IHC protocol for CSTF2T antibody 14206-1-AP | Download protocol |
| IP protocol for CSTF2T antibody 14206-1-AP | Download protocol |
| WB protocol for CSTF2T antibody 14206-1-AP | Download protocol |
| Standard Protocols | |
|---|---|
| Click here to view our Standard Protocols |








