验证数据展示
经过测试的应用
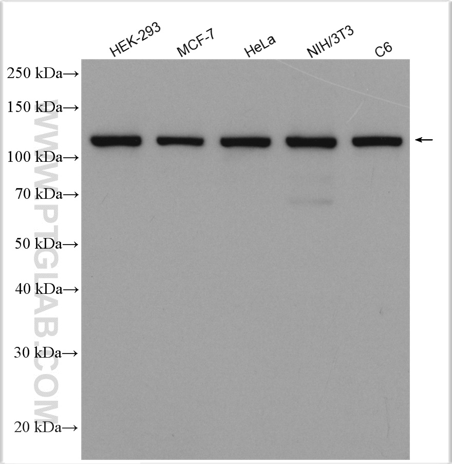
| Positive WB detected in | HEK-293 cells, C6 cells, HeLa cells, MCF-7 cells, NIH/3T3 cells, K-562 cells, HT-1080 cells |
| Positive IHC detected in | human colon cancer tissue Note: suggested antigen retrieval with TE buffer pH 9.0; (*) Alternatively, antigen retrieval may be performed with citrate buffer pH 6.0 |
| Positive IF/ICC detected in | HeLa cells |
推荐稀释比
| 应用 | 推荐稀释比 |
|---|---|
| Western Blot (WB) | WB : 1:2000-1:10000 |
| Immunohistochemistry (IHC) | IHC : 1:50-1:500 |
| Immunofluorescence (IF)/ICC | IF/ICC : 1:200-1:800 |
| It is recommended that this reagent should be titrated in each testing system to obtain optimal results. | |
| Sample-dependent, Check data in validation data gallery. | |
产品信息
27917-1-AP targets CRM1 in WB, IHC, IF/ICC, CoIP, ELISA applications and shows reactivity with human, mouse, rat samples.
| 经测试应用 | WB, IHC, IF/ICC, ELISA Application Description |
| 文献引用应用 | WB, IHC, IF, CoIP |
| 经测试反应性 | human, mouse, rat |
| 文献引用反应性 | human, mouse, chicken |
| 免疫原 |
CatNo: Ag27207 Product name: Recombinant human XPO1 protein Source: e coli.-derived, PGEX-4T Tag: GST Domain: 301-540 aa of BC032847 Sequence: NTNIRLAYSNGKDDEQNFIQNLSLFLCTFLKEHDQLIEKRLNLRETLMEALHYMLLVSEVEETEIFKICLEYWNHLAAELYRESPFSTSASPLLSGSQHFDVPPRRQLYLPMLFKVRLLMVSRMAKPEEVLVVENDQGEVVREFMKDTDSINLYKNMRETLVYLTHLDYVDTERIMTEKLHNQVNGTEWSWKNLNTLCWAIGSISGAMHEEDEKRFLVTVIKDLLGLCEQKRGKDNKAII 种属同源性预测 |
| 宿主/亚型 | Rabbit / IgG |
| 抗体类别 | Polyclonal |
| 产品类型 | Antibody |
| 全称 | exportin 1 (CRM1 homolog, yeast) |
| 别名 | XPO1, Exp1, Exportin 1, Exportin-1 |
| 计算分子量 | 1071 aa, 123 kDa |
| 观测分子量 | 123 kDa |
| GenBank蛋白编号 | BC032847 |
| 基因名称 | CRM1 |
| Gene ID (NCBI) | 7514 |
| RRID | AB_2881009 |
| 偶联类型 | Unconjugated |
| 形式 | Liquid |
| 纯化方式 | Antigen affinity purification |
| UNIPROT ID | O14980 |
| 储存缓冲液 | PBS with 0.02% sodium azide and 50% glycerol, pH 7.3. |
| 储存条件 | Store at -20°C. Stable for one year after shipment. Aliquoting is unnecessary for -20oC storage. |
背景介绍
CRM1 (chromosome region maintenance 1, also known as exportin-1 or XPO1), a member of the karyopherin β family of transport receptors, is an important nuclear export receptor recognizing proteins bearing a leucine-rich nuclear export signal (PMID: 9323133). CRM1 is the major receptor for the export of proteins out of the nucleus and is also required for transport of many RNAs (PMID: 17317185). In addition to nuclear export, CRM1 also plays a role in centrosome duplication and spindle assembly (PMID: 22773955). Elevated CRM1 expression has been reported in several cancers, which implicates CRM1 as a potential anti-cancer drug target (PMID: 22677130; 21683812 ).
实验方案
| Product Specific Protocols | |
|---|---|
| IF protocol for CRM1 antibody 27917-1-AP | Download protocol |
| IHC protocol for CRM1 antibody 27917-1-AP | Download protocol |
| WB protocol for CRM1 antibody 27917-1-AP | Download protocol |
| Standard Protocols | |
|---|---|
| Click here to view our Standard Protocols |
发表文章
| Species | Application | Title |
|---|---|---|
J Biol Chem Regulation of TAR DNA binding protein 43 (TDP-43) homeostasis by cytosolic DNA accumulation | ||
J Immunol YTHDC1/CRM1 Facilitates m6A-Modified circRNA388 Nuclear Export to Induce Coelomocyte Autophagy via the miR-2008/ULK Axis in Apostichopus japonicus | ||
J Cell Commun Signal CD47 interactions with exportin-1 limit the targeting of m 7 G-modified RNAs to extracellular vesicles | ||
J Cancer Res Clin Oncol Selinexor demonstrates anti-tumor efficacy in paired patient-derived xenograft models and hydrogel-embedded histoculture drug sensitivity test of penile cancer | ||
Mol Cell EGFR promotes ALKBH5 nuclear retention to attenuate N6-methyladenosine and protect against ferroptosis in glioblastoma | ||
Mol Cell A GAPDH serotonylation system couples CD8+ T cell glycolytic metabolism to antitumor immunity |





