验证数据展示
经过测试的应用
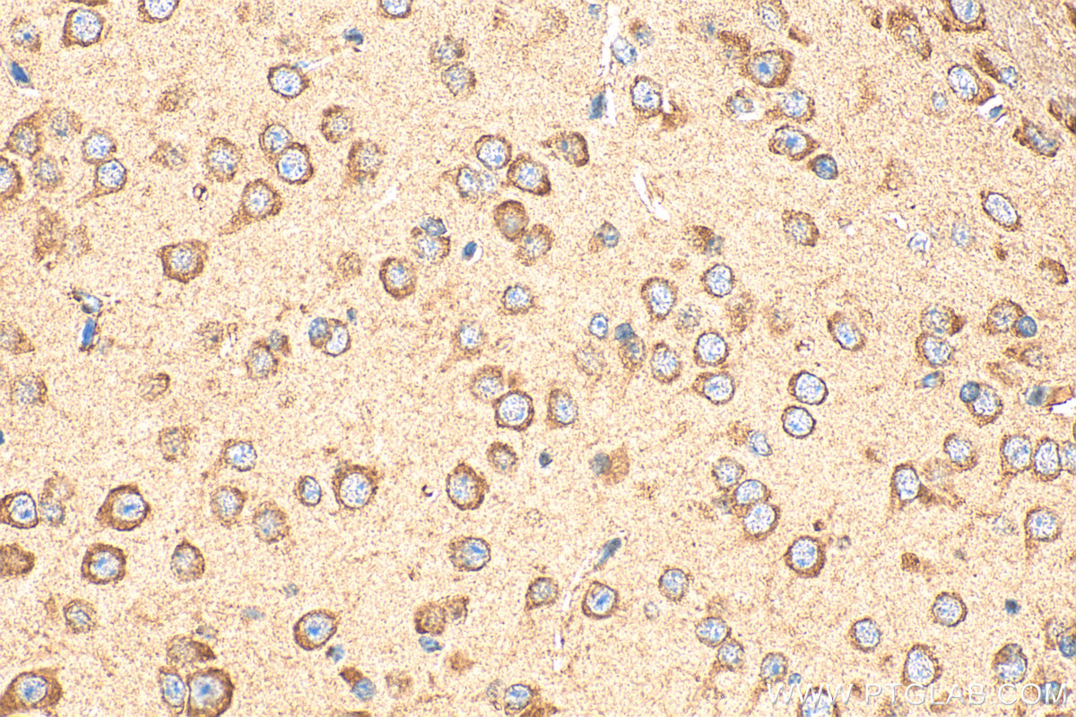
| Positive IHC detected in | mouse brain tissue Note: suggested antigen retrieval with TE buffer pH 9.0; (*) Alternatively, antigen retrieval may be performed with citrate buffer pH 6.0 |
| Positive IF/ICC detected in | NIH/3T3 cells |
推荐稀释比
| 应用 | 推荐稀释比 |
|---|---|
| Immunohistochemistry (IHC) | IHC : 1:50-1:500 |
| Immunofluorescence (IF)/ICC | IF/ICC : 1:200-1:800 |
| It is recommended that this reagent should be titrated in each testing system to obtain optimal results. | |
| Sample-dependent, Check data in validation data gallery. | |
产品信息
28236-1-AP targets CREG2 in IHC, IF/ICC, ELISA applications and shows reactivity with human, mouse samples.
| 经测试应用 | IHC, IF/ICC, ELISA Application Description |
| 经测试反应性 | human, mouse |
| 免疫原 |
CatNo: Ag28242 Product name: Recombinant human CREG2 protein Source: e coli.-derived, PET28a Tag: 6*His Domain: 42-215 aa of BC032949 Sequence: VTNEVDEELDSASTEEAMPALLEDSGSIWQQSFPASAHKEDAHLRPRAGAARARQPPAPPGMFSYRREGGQTASAPPGPRLRAATARSLAHASVWGCLATVSTHKKIQGLPFGNCLPVSDGPFNNSTGIPFFYMTAKDPVVADLMKNPMASLMLPESEGEFCRKNIVDPEDPRC 种属同源性预测 |
| 宿主/亚型 | Rabbit / IgG |
| 抗体类别 | Polyclonal |
| 产品类型 | Antibody |
| 全称 | cellular repressor of E1A-stimulated genes 2 |
| 别名 | Protein CREG2 |
| 计算分子量 | 32 kDa |
| GenBank蛋白编号 | BC032949 |
| 基因名称 | CREG2 |
| Gene ID (NCBI) | 200407 |
| 偶联类型 | Unconjugated |
| 形式 | Liquid |
| 纯化方式 | Antigen affinity purification |
| UNIPROT ID | Q8IUH2 |
| 储存缓冲液 | PBS with 0.02% sodium azide and 50% glycerol, pH 7.3. |
| 储存条件 | Store at -20°C. Stable for one year after shipment. Aliquoting is unnecessary for -20oC storage. |
背景介绍
The cellular repressor of E1A-stimulated genes (CREG) is a secreted glycoprotein that promotes the differentiation of pluripotent stem cells. CREG2 is a promising biological indicator because it plays an important role in increasing the migratory and proliferative capacity of lung adenocarcinoma (LUAD) cells (PMID: 40676398).
实验方案
| Product Specific Protocols | |
|---|---|
| IF protocol for CREG2 antibody 28236-1-AP | Download protocol |
| IHC protocol for CREG2 antibody 28236-1-AP | Download protocol |
| Standard Protocols | |
|---|---|
| Click here to view our Standard Protocols |


