验证数据展示
经过测试的应用
| Positive WB detected in | Human brain, human brain tissue |
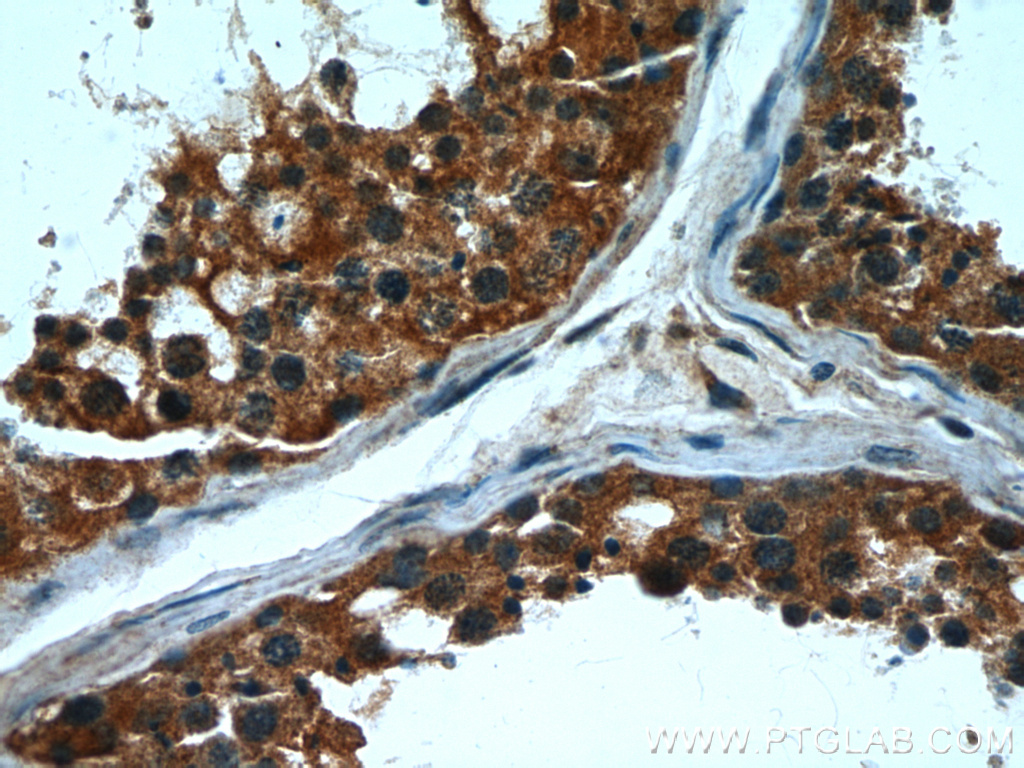
| Positive IHC detected in | human testis tissue Note: suggested antigen retrieval with TE buffer pH 9.0; (*) Alternatively, antigen retrieval may be performed with citrate buffer pH 6.0 |
推荐稀释比
| 应用 | 推荐稀释比 |
|---|---|
| Western Blot (WB) | WB : 1:500-1:1000 |
| Immunohistochemistry (IHC) | IHC : 1:20-1:200 |
| It is recommended that this reagent should be titrated in each testing system to obtain optimal results. | |
| Sample-dependent, Check data in validation data gallery. | |
产品信息
66072-1-Ig targets CPT1C in WB, IHC, IF, IP, ELISA applications and shows reactivity with human, pig samples.
| 经测试应用 | WB, IHC, ELISA Application Description |
| 文献引用应用 | WB, IHC, IF, IP |
| 经测试反应性 | human, pig |
| 文献引用反应性 | human, mouse, rat, pig |
| 免疫原 |
CatNo: Ag17963 Product name: Recombinant human CPT1C protein Source: e coli.-derived, PET28a Tag: 6*His Domain: 442-793 aa of BC029104 Sequence: SFTLIVFSNGKLGLSVEHSWADCPISGHMWEFTLATECFQLGYSTDGHCKGHPDPTLPQPQRLQWDLPDQIHSSISLALRGAKILSENVDCHVVPFSLFGKSFIRRCHLSSDSFIQIALQLAHFRDRGQFCLTYESAMTRLFLEGRTETVRSCTREACNFVRAMEDKEKTDPQCLALFRVAVDKHQALLKAAMSGQGVDRHLFALYIVSRFLHLQSPFLTQVHSEQWQLSTSQIPVQQMHLFDVHNYPDYVSSGGGFGPADDHGYGVSYIFMGDGMITFHISSKKSSTKTDSHRLGQHIEDALLDVASLFQAGQHFKRRFRGSGKENSRHRCGFLSRQTGASKASMTSTDF 种属同源性预测 |
| 宿主/亚型 | Mouse / IgG2b |
| 抗体类别 | Monoclonal |
| 产品类型 | Antibody |
| 全称 | carnitine palmitoyltransferase 1C |
| 别名 | CATL1, CPT IC, CPT1 B, CPT1C, CPT1P, CPTI B, CPTIC |
| 计算分子量 | 792 aa, 90 kDa |
| 观测分子量 | 82 kDa |
| GenBank蛋白编号 | BC029104 |
| 基因名称 | CPT1C |
| Gene ID (NCBI) | 126129 |
| RRID | AB_11042325 |
| 偶联类型 | Unconjugated |
| 形式 | Liquid |
| 纯化方式 | Protein A purification |
| UNIPROT ID | Q8TCG5 |
| 储存缓冲液 | PBS with 0.02% sodium azide and 50% glycerol, pH 7.3. |
| 储存条件 | Store at -20°C. Stable for one year after shipment. Aliquoting is unnecessary for -20oC storage. |
背景介绍
CPT1C, also named as CATL1, CPTI-B and B-CPTI, belongs to the carnitine/choline acetyltransferase family. Carnitine palmitoyltransferase (CPT) deficiencies are common disorders of mitochondrial fatty acid oxidation. The CPT system is made up of two separate proteins located in the outer (CPT1) and inner (CPT2) mitochondrial membranes. CPT1C is an active forms of related brain-type carnitine palmitoyltransferase I. CPT1C may be a regulated target of malonyl-CoA that relays the "malonyl-CoA signal" in hypothalamic neurons that express the orexigenic and anorexigenic neuropeptides that regulate food intake and peripheral energy expenditure. (PMID: 17018521 ) This antibody can bind the close sequences genes.
实验方案
| Product Specific Protocols | |
|---|---|
| IHC protocol for CPT1C antibody 66072-1-Ig | Download protocol |
| WB protocol for CPT1C antibody 66072-1-Ig | Download protocol |
| Standard Protocols | |
|---|---|
| Click here to view our Standard Protocols |
发表文章
| Species | Application | Title |
|---|---|---|
Hepatology Discovery of a CPS1-deficient HCC subtype with therapeutic potential via integrative genomic and experimental analysis.
| ||
Cancer Metab MicroRNA-377-3p inhibits hepatocellular carcinoma growth and metastasis through negative regulation of CPT1C-mediated fatty acid oxidation. | ||
Epigenetics Differential regulatory roles of microRNAs during intramuscular adipogenesis in Chinese Guizhou Congjiang Xiang pigs. | ||
J Biochem Mol Toxicol Polyphyllin I improves myocardial damage in coronary artery disease via modulating lipid metabolism and myocardial apoptosis | ||
J Gastrointest Oncol Enhanced fatty acid oxidation mediated by CPT1C promotes gastric cancer progression.
| ||
Int J Mol Sci Cpt1c Downregulation Causes Plasma Membrane Remodelling and Anthracycline Resistance in Breast Cancer
|


