验证数据展示
经过测试的应用
| Positive WB detected in | HeLa cells, A549 cells, HepG2 cells, MCF-7 cells, mouse liver tissue, rat liver tissue, mouse spleen tissue |
| Positive IP detected in | HepG2 cells |
| Positive IHC detected in | human liver cancer tissue Note: suggested antigen retrieval with TE buffer pH 9.0; (*) Alternatively, antigen retrieval may be performed with citrate buffer pH 6.0 |
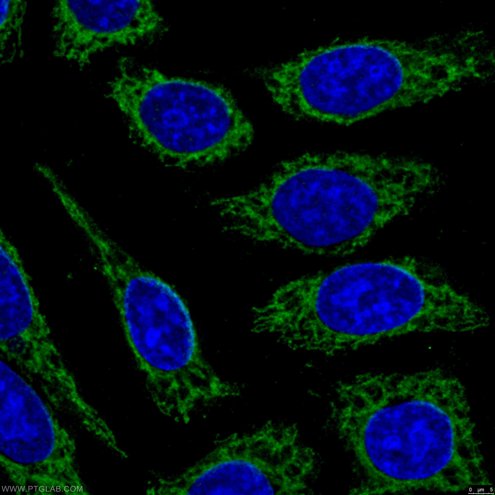
| Positive IF/ICC detected in | HeLa cells, HepG2 cells |
| Positive FC (Intra) detected in | HeLa cells |
推荐稀释比
| 应用 | 推荐稀释比 |
|---|---|
| Western Blot (WB) | WB : 1:5000-1:50000 |
| Immunoprecipitation (IP) | IP : 0.5-4.0 ug for 1.0-3.0 mg of total protein lysate |
| Immunohistochemistry (IHC) | IHC : 1:500-1:2000 |
| Immunofluorescence (IF)/ICC | IF/ICC : 1:300-1:1200 |
| Flow Cytometry (FC) (INTRA) | FC (INTRA) : 0.40 ug per 10^6 cells in a 100 µl suspension |
| It is recommended that this reagent should be titrated in each testing system to obtain optimal results. | |
| Sample-dependent, Check data in validation data gallery. | |
产品信息
15184-1-AP targets CPT1A in WB, IHC, IF/ICC, FC (Intra), IP, CoIP, ChIP, ELISA applications and shows reactivity with human, mouse, rat samples.
| 经测试应用 | WB, IHC, IF/ICC, FC (Intra), IP, ELISA Application Description |
| 文献引用应用 | WB, IHC, IF, IP, CoIP, ChIP, ELISA |
| 经测试反应性 | human, mouse, rat |
| 文献引用反应性 | human, mouse, rat, pig, chicken, zebrafish, goat, yellow croaker, duck |
| 免疫原 |
CatNo: Ag7202 Product name: Recombinant human CPT1A protein Source: e coli.-derived, PGEX-4T Tag: GST Domain: 406-756 aa of BC000185 Sequence: QSLDAVEKAAFFVTLDETEEGYRSEDPDTSMDSYAKSLLHGRCYDRWFDKSFTFVVFKNGKMGLNAEHSWADAPIVAHLWEYVMSIDSLQLGYAEDGHCKGDINPNIPYPTRLQWDIPGECQEVIETSLNTANLLANDVDFHSFPFVAFGKGIIKKCRTSPDAFVQLALQLAHYKDMGKFCLTYEASMTRLFREGRTETVRSCTTESCDFVRAMVDPAQTVEQRLKLFKLASEKHQHMYRLAMTGSGIDRHLFCLYVVSKYLAVESPFLKEVLSEPWRLSTSQTPQQQVELFDLENNPEYVSSGGGFGPVADDGYGVSYILVGENLINFHISSKFSCPETGIISQGPSSDT 种属同源性预测 |
| 宿主/亚型 | Rabbit / IgG |
| 抗体类别 | Polyclonal |
| 产品类型 | Antibody |
| 全称 | carnitine palmitoyltransferase 1A (liver) |
| 别名 | Carnitine O-palmitoyltransferase 1, liver isoform, Carnitine O-palmitoyltransferase I, liver isoform, CPT I, CPT1, CPT-1A |
| 计算分子量 | 88 kDa |
| 观测分子量 | 86 kDa |
| GenBank蛋白编号 | BC000185 |
| 基因名称 | CPT1A |
| Gene ID (NCBI) | 1374 |
| RRID | AB_2084676 |
| 偶联类型 | Unconjugated |
| 形式 | Liquid |
| 纯化方式 | Antigen affinity purification |
| UNIPROT ID | P50416 |
| 储存缓冲液 | PBS with 0.02% sodium azide and 50% glycerol, pH 7.3. |
| 储存条件 | Store at -20°C. Stable for one year after shipment. Aliquoting is unnecessary for -20oC storage. |
背景介绍
CPT1A, also named CPT1, CPT1-L and L-CPTI, belongs to the carnitine/choline acetyltransferase family. CPT1A gene is localized Chromosome 11q13.1-2. Carnitine palmitoyltransferase (CPT) deficiencies are common disorders of mitochondrial fatty acid oxidation. The CPT system is made up of two separate proteins located in the outer (CPT1) and inner (CPT2) mitochondrial membranes. CPT1A is an active form of related liver-type carnitine palmitoyltransferase I (PMID: 11001805). CPT1A deficiency presents as recurrent attacks of fasting hypoketotic hypoglycemia. (PMID: 15363638). This antibody can bind the close sequences genes.
实验方案
| Product Specific Protocols | |
|---|---|
| FC protocol for CPT1A antibody 15184-1-AP | Download protocol |
| IF protocol for CPT1A antibody 15184-1-AP | Download protocol |
| IHC protocol for CPT1A antibody 15184-1-AP | Download protocol |
| IP protocol for CPT1A antibody 15184-1-AP | Download protocol |
| WB protocol for CPT1A antibody 15184-1-AP | Download protocol |
| Standard Protocols | |
|---|---|
| Click here to view our Standard Protocols |
发表文章
| Species | Application | Title |
|---|---|---|
Cell Res Hypoxia induces mitochondrial protein lactylation to limit oxidative phosphorylation | ||
Cell Metab Quiescent Endothelial Cells Upregulate Fatty Acid β-Oxidation for Vasculoprotection via Redox Homeostasis. | ||
Cell Metab Targeting Erbin-mitochondria axis in platelets/megakaryocytes promotes B cell-mediated antitumor immunity | ||
Cell Metab SGLT2 Inhibition Mediates Protection from Diabetic Kidney Disease by Promoting Ketone Body-Induced mTORC1 Inhibition. |










