验证数据展示
产品信息
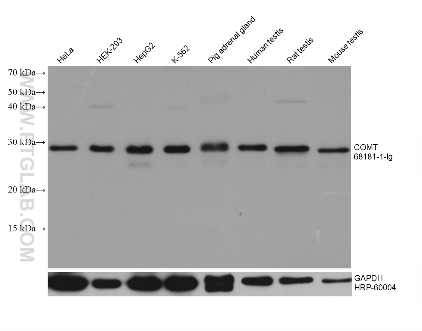
68181-1-PBS targets COMT in WB, IF-P, Indirect ELISA applications and shows reactivity with human, mouse, rat, pig samples.
| 经测试应用 | WB, IF-P, Indirect ELISA Application Description |
| 经测试反应性 | human, mouse, rat, pig |
| 免疫原 |
CatNo: Ag6502 Product name: Recombinant human COMT protein Source: e coli.-derived, PGEX-4T Tag: GST Domain: 1-182 aa of BC000419 Sequence: MNVGDKKGKIVDAVIQEHQPSVLLELGAYCGYSAVRMARLLSPGARLITIEINPDCAAITQRMVDFAGMKDKVTLVVGASQDIIPQLKKKYDVDTLDMVFLDHWKDRYLPDTLLLEECGLLRKGTVLLADNVICPGAPDFLAHVRGSSCFECTHYQSFLEYREVVDGLEKAIYKGPGSEAGP 种属同源性预测 |
| 宿主/亚型 | Mouse / IgG1 |
| 抗体类别 | Monoclonal |
| 产品类型 | Antibody |
| 全称 | catechol-O-methyltransferase |
| 别名 | 1A1A4, catechol O methyltransferase, Catechol O-methyltransferase, EC:2.1.1.6 |
| 计算分子量 | 30 kDa |
| 观测分子量 | 28-30 kDa |
| GenBank蛋白编号 | BC000419 |
| 基因名称 | COMT |
| Gene ID (NCBI) | 1312 |
| RRID | AB_2935272 |
| 偶联类型 | Unconjugated |
| 形式 | Liquid |
| 纯化方式 | Protein G purification |
| UNIPROT ID | P21964 |
| 储存缓冲液 | PBS only, pH 7.3. |
| 储存条件 | Store at -80°C. The product is shipped with ice packs. Upon receipt, store it immediately at -80°C |
背景介绍
Catechol O-methyltransferase (COMT) is an important enzyme that catalyzes O-methylation and inactivation of metabolically active catechol-containing bioactive molecules and drugs. The mammalian COMT enzyme exists in soluble form (24-26 kDa) and membrane-bound form (28-30 kDa), which are encoded by a single gene utilizing different promoters.


