验证数据展示
经过测试的应用
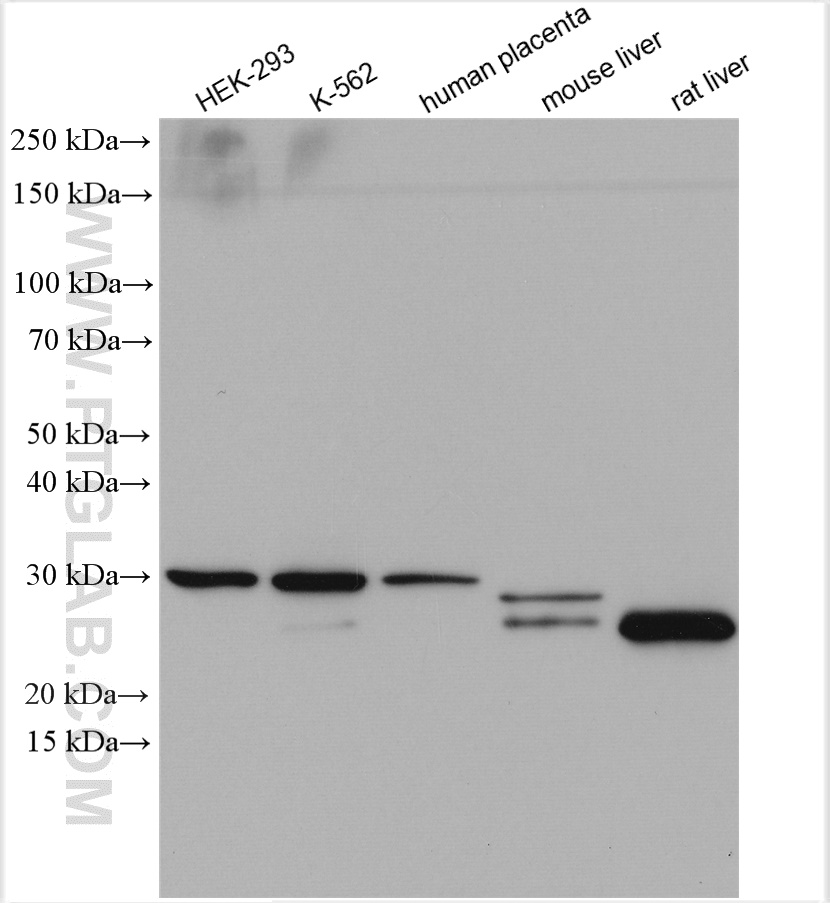
| Positive WB detected in | HEK-293 cells, HepG2 cells, K-562 cells, human placenta, mouse liver, rat liver |
| Positive IP detected in | K-562 cells |
| Positive IHC detected in | human liver tissue, human placenta tissue, mouse lung tissue Note: suggested antigen retrieval with TE buffer pH 9.0; (*) Alternatively, antigen retrieval may be performed with citrate buffer pH 6.0 |
| Positive IF-P detected in | mouse cerebellum tissue |
| Positive IF/ICC detected in | HepG2 cells |
| Positive FC (Intra) detected in | PC-3 cells |
推荐稀释比
| 应用 | 推荐稀释比 |
|---|---|
| Western Blot (WB) | WB : 1:1000-1:4000 |
| Immunoprecipitation (IP) | IP : 0.5-4.0 ug for 1.0-3.0 mg of total protein lysate |
| Immunohistochemistry (IHC) | IHC : 1:100-1:800 |
| Immunofluorescence (IF)-P | IF-P : 1:50-1:500 |
| Immunofluorescence (IF)/ICC | IF/ICC : 1:50-1:500 |
| Flow Cytometry (FC) (INTRA) | FC (INTRA) : 0.80 ug per 10^6 cells in a 100 µl suspension |
| It is recommended that this reagent should be titrated in each testing system to obtain optimal results. | |
| Sample-dependent, Check data in validation data gallery. | |
产品信息
14754-1-AP targets COMT in WB, IHC, IF/ICC, IF-P, FC (Intra), IP, ELISA applications and shows reactivity with human, mouse, rat samples.
| 经测试应用 | WB, IHC, IF/ICC, IF-P, FC (Intra), IP, ELISA Application Description |
| 文献引用应用 | WB, IHC, IF |
| 经测试反应性 | human, mouse, rat |
| 文献引用反应性 | human, mouse, rat, monkey |
| 免疫原 |
CatNo: Ag6502 Product name: Recombinant human COMT protein Source: e coli.-derived, PGEX-4T Tag: GST Domain: 1-182 aa of BC000419 Sequence: MNVGDKKGKIVDAVIQEHQPSVLLELGAYCGYSAVRMARLLSPGARLITIEINPDCAAITQRMVDFAGMKDKVTLVVGASQDIIPQLKKKYDVDTLDMVFLDHWKDRYLPDTLLLEECGLLRKGTVLLADNVICPGAPDFLAHVRGSSCFECTHYQSFLEYREVVDGLEKAIYKGPGSEAGP 种属同源性预测 |
| 宿主/亚型 | Rabbit / IgG |
| 抗体类别 | Polyclonal |
| 产品类型 | Antibody |
| 全称 | catechol-O-methyltransferase |
| 别名 | catechol O methyltransferase, Catechol O-methyltransferase, EC:2.1.1.6 |
| 计算分子量 | 30 kDa |
| 观测分子量 | 28-30 kDa |
| GenBank蛋白编号 | BC000419 |
| 基因名称 | COMT |
| Gene ID (NCBI) | 1312 |
| RRID | AB_2083706 |
| 偶联类型 | Unconjugated |
| 形式 | Liquid |
| 纯化方式 | Antigen affinity purification |
| UNIPROT ID | P21964 |
| 储存缓冲液 | PBS with 0.02% sodium azide and 50% glycerol, pH 7.3. |
| 储存条件 | Store at -20°C. Stable for one year after shipment. Aliquoting is unnecessary for -20oC storage. |
背景介绍
Catechol O-methyltransferase (COMT) is an important enzyme that catalyzes O-methylation and inactivation of metabolically active catechol-containing bioactive molecules and drugs. The mammalian COMT enzyme exists in soluble form (24-26 kDa) and membrane-bound form (28-30 kDa), which are encoded by a single gene utilizing different promoters.
实验方案
| Product Specific Protocols | |
|---|---|
| FC protocol for COMT antibody 14754-1-AP | Download protocol |
| IF protocol for COMT antibody 14754-1-AP | Download protocol |
| IHC protocol for COMT antibody 14754-1-AP | Download protocol |
| IP protocol for COMT antibody 14754-1-AP | Download protocol |
| WB protocol for COMT antibody 14754-1-AP | Download protocol |
| Standard Protocols | |
|---|---|
| Click here to view our Standard Protocols |
发表文章
| Species | Application | Title |
|---|---|---|
Adv Sci (Weinh) Meisoindigo Acts as a Molecular Glue to Target PKMYT1 for Degradation in Chronic Myeloid Leukemia Therapy | ||
Aging (Albany NY) A five-m6A regulatory gene signature is a prognostic biomarker in lung adenocarcinoma patients. | ||
Aging (Albany NY) Maternal high sugar and fat diet benefits offspring brain function via targeting on the gut-brain axis. | ||
Transl Psychiatry A diet high in sugar and fat influences neurotransmitter metabolism and then affects brain function by altering the gut microbiota. | ||
Endocrinology Norepinephrine, active norepinephrine transporter, and norepinephrine-metabolism are involved in the generation of reactive oxygen species in human ovarian granulosa cells. |











