验证数据展示
产品信息
87574-1-PBS targets CNTN2 as part of a matched antibody pair:
MP03102-1: 87574-2-PBS capture and 87574-1-PBS detection (validated in Cytometric bead array)
Unconjugated rabbit recombinant monoclonal antibody in PBS only (BSA and azide free) storage buffer at a concentration of 1 mg/mL, ready for conjugation. Created using Proteintech’s proprietary in-house recombinant technology. Recombinant production enables unrivalled batch-to-batch consistency, easy scale-up, and future security of supply.
This conjugation ready format makes antibodies ideal for use in many applications including: ELISAs, multiplex assays requiring matched pairs, mass cytometry, and multiplex imaging applications.Antibody use should be optimized by the end user for each application and assay.
| 经测试应用 | WB, Cytometric bead array, Indirect ELISA Application Description |
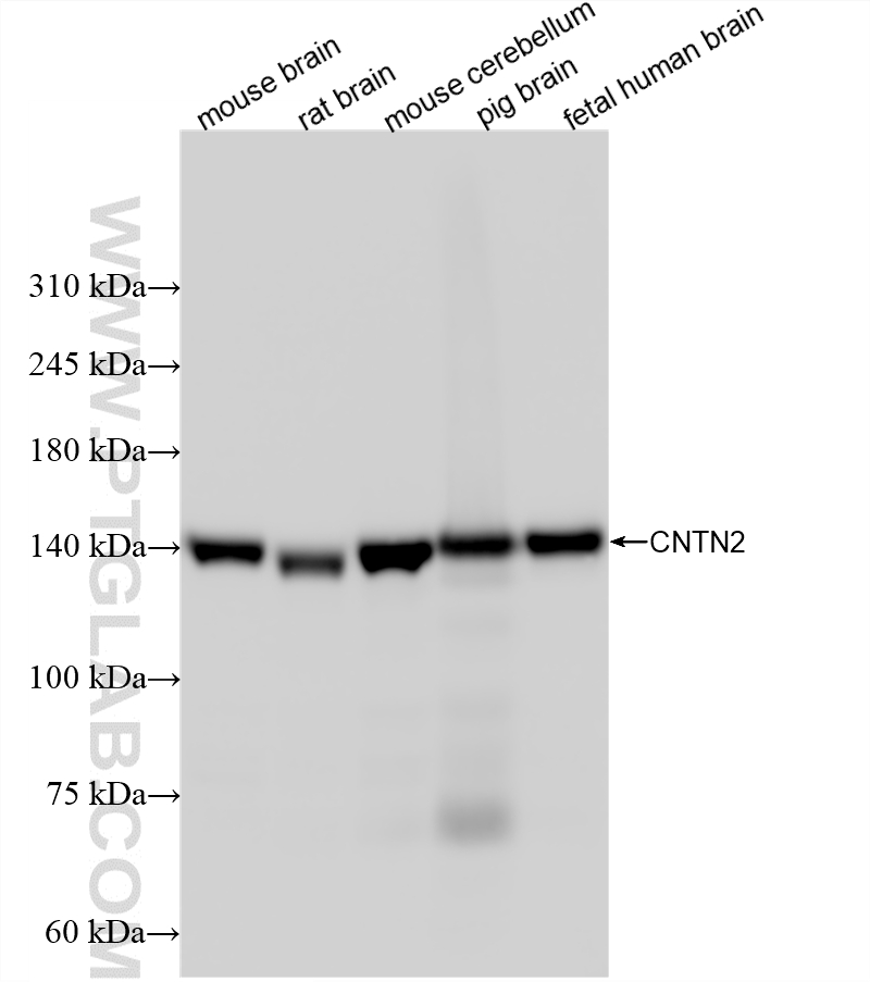
| 经测试反应性 | human, mouse, rat, pig |
| 免疫原 |
CatNo: Eg5489 Product name: Recombinant human CNTN2 protein Source: mammalian cells-derived, V37 Tag: C-rFc Domain: 31-1012 aa of NM_001346083.2 Sequence: SQTTFGPVFEDQPLSVLFPEESTEEQVLLACRARASPPATYRWKMNGTEMKLEPGSRHQLVGGNLVIMNPTKAQDAGVYQCLASNPVGTVVSREAILRFGFLQEFSKEERDPVKAHEGWGVMLPCNPPAHYPGLSYRWLLNEFPNFIPTDGRHFVSQTTGNLYIARTNASDLGNYSCLATSHMDFSTKSVFSKFAQLNLAAEDTRLFAPSIKARFPAETYALVGQQVTLECFAFGNPVPRIKWRKVDGSLSPQWTTAEPTLQIPSVSFEDEGTYECEAENSKGRDTVQGRIIVQAQPEWLKVISDTEADIGSNLRWGCAAAGKPRPTVRWLRNGEPLASQNRVEVLAGDLRFSKLSLEDSGMYQCVAENKHGTIYASAELAVQALAPDFRLNPVRRLIPAARGGEILIPCQPRAAPKAVVLWSKGTEILVNSSRVTVTPDGTLIIRNISRSDEGKYTCFAENFMGKANSTGILSVRDATKITLAPSSADINLGDNLTLQCHASHDPTMDLTFTWTLDDFPIDFDKPGGHYRRTNVKETIGDLTILNAQLRHGGKYTCMAQTVVDSASKEATVLVRGPPGPPGGVVVRDIGDTTIQLSWSRGFDNHSPIAKYTLQARTPPAGKWKQVRTNPANIEGNAETAQVLGLTPWMDYEFRVIASNILGTGEPSGPSSKIRTREAAPSVAPSGLSGGGGAPGELIVNWTPMSREYQNGDGFGYLLSFRRQGSTHWQTARVPGADAQYFVYSNESVRPYTPFEVKIRSYNRRGDGPESLTALVYSAEEEPRVAPTKVWAKGVSSSEMNVTWEPVQQDMNGILLGYEIRYWKAGDKEAAADRVRTAGLDTSARVSGLHPNTKYHVTVRAYNRAGTGPASPSANATTMKPPPRRPPGNISWTFSSSSLSIKWDPVVPFRNESAVTGYKMLYQNDLHLTPTLHLTGKNWIEIPVPEDIGHALVQIRTTGPGGDGIPAEVHIVRNGGTSMMVEN 种属同源性预测 |
| 宿主/亚型 | Rabbit / IgG |
| 抗体类别 | Recombinant |
| 产品类型 | Antibody |
| 全称 | contactin 2 (axonal) |
| 别名 | Axonin 1, AXT, Contactin2, Contactin-2, TAG1 |
| 计算分子量 | 113 kDa |
| 观测分子量 | 135~150 kDa |
| GenBank蛋白编号 | NM_001346083.2 |
| 基因名称 | CNTN2 |
| Gene ID (NCBI) | 6900 |
| 偶联类型 | Unconjugated |
| 形式 | Liquid |
| 纯化方式 | Protein A purification |
| UNIPROT ID | Q02246 |
| 储存缓冲液 | PBS only, pH 7.3. |
| 储存条件 | Store at -80°C. The product is shipped with ice packs. Upon receipt, store it immediately at -80°C |
背景介绍
Contactin-2 (CNTN2), also known as CNTN2 or axonal glycoprotein TAG-1, is a cell adhesion molecule anchored within the cell membrane that is a member of the immunoglobulin family. It is reported to be transiently expressed in specific neurons during the fetal period (PMID: 27621318, 29777776). CNTN2 consists of six Ig domains followed by four fibronectin domains, and it is tethered to the cell surface by a glycosylphosphatidylinositol anchor. CNTN2 levels may reflect impairment of brain development and indirectly brain iron stores, which are likely deficient in infants of maternal IDA or chronic hypoxic states like IDMs (PMID: 26718491).



